| Western blot (WB): | 1:500-2000 |
| Immunohistochemistry (IHC): | 1:50-400 |
| Immunocytochemistry/Immunofluorescence (ICC/IF): | 1:50-400 |
| ImmunoPrecipitation (IP): | 1:50 |
| Flow Cytometry (Fixed): | 1:50-200 |
| (Boiling the paraffin sections in 10mM citrate buffer,pH6.0,or PH8.0 EDTA repair liquid for 20 mins is required for the staining of formalin/paraffin sections.) Optimal working dilutions must be determined by end user. | |

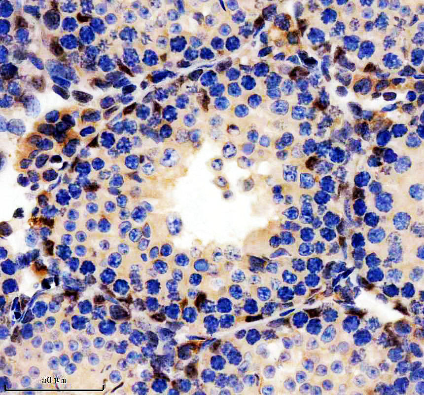
IHC analysis of WT1 using anti-WT1 antibody (A00199-2).
WT1 was detected in a paraffin-embedded section of mouse testis tissue. The tissue section was incubated with rabbit anti-WT1 Antibody (A00199-2) at a dilution of 1:200 and developed using HRP Conjugated Rabbit IgG Super Vision Assay Kit (Catalog # SV0002) with DAB (Catalog # AR1027) as the chromogen.


IHC analysis of WT1 using anti-WT1 antibody (A00199-2).
WT1 was detected in a paraffin-embedded section of mouse testis tissue. The tissue section was incubated with rabbit anti-WT1 Antibody (A00199-2) at a dilution of 1:200 and developed using HRP Conjugated Rabbit IgG Super Vision Assay Kit (Catalog # SV0002) with DAB (Catalog # AR1027) as the chromogen.







