| Western blot (WB): | 1:500-2000 |
| Immunohistochemistry (IHC): | 1:50-400 |
| Flow Cytometry (Fixed): | 1:50-200 |
| Enzyme linked immunosorbent assay (ELISA): | 1:100-1000 |
| (Boiling the paraffin sections in 10mM citrate buffer,pH6.0,or PH8.0 EDTA repair liquid for 20 mins is required for the staining of formalin/paraffin sections.) Optimal working dilutions must be determined by end user. | |

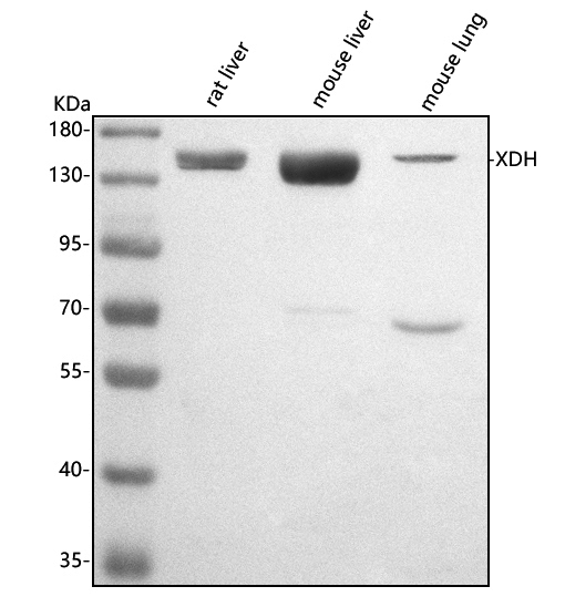
Western blot analysis of anti-XDH antibody (A01884-2). The sample well of each lane was loaded with 30 ug of sample under reducing conditions.
Lane 1: rat liver tissue lysates,
Lane 2: mouse liver tissue lysates,
Lane 3: mouse lung tissue lysates.
After electrophoresis, proteins were transferred to a membrane. Then the membrane was incubated with rabbit anti-XDH antigen affinity purified polyclonal antibody (A01884-2) and probed with a goat anti-rabbit IgG-HRP secondary antibody (Catalog # BA1054). The signal is developed using ECL Plus Western Blotting Substrate (Catalog # AR1197). A specific band was detected for XDH at approximately 150 kDa. The expected band size for XDH is at 146, 147-150 kDa.

IHC analysis of XDH using anti-XDH antibody (A01884-2).
XDH was detected in a paraffin-embedded section of human colon adenocarcinoma tissue. The tissue section was developed using HRP Conjugated Rabbit IgG Super Vision Assay Kit (Catalog # SV0002) with DAB (Catalog # AR1027) as the chromogen.

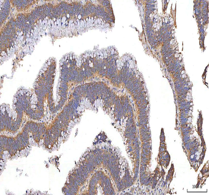
IHC analysis of XDH using anti-XDH antibody (A01884-2).
XDH was detected in a paraffin-embedded section of human colon tissue. The tissue section was developed using HRP Conjugated Rabbit IgG Super Vision Assay Kit (Catalog # SV0002) with DAB (Catalog # AR1027) as the chromogen.

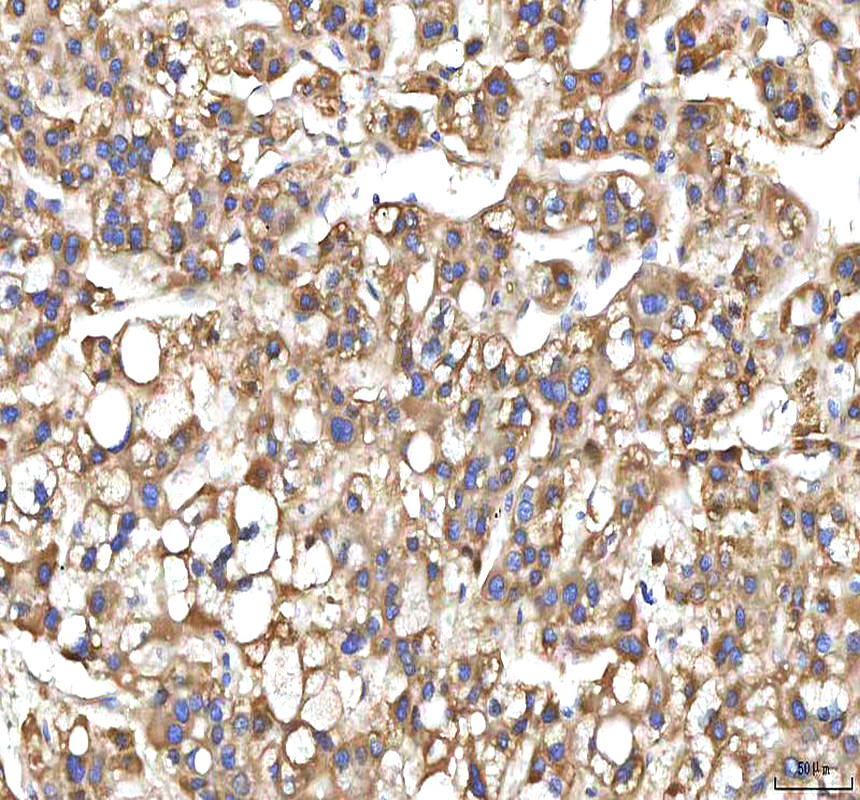
IHC analysis of XDH using anti-XDH antibody (A01884-2).
XDH was detected in a paraffin-embedded section of human liver cancer tissue. The tissue section was developed using HRP Conjugated Rabbit IgG Super Vision Assay Kit (Catalog # SV0002) with DAB (Catalog # AR1027) as the chromogen.

IHC analysis of XDH using anti-XDH antibody (A01884-2).
XDH was detected in a paraffin-embedded section of human thyroid papillary carcinoma tissue. The tissue section was developed using HRP Conjugated Rabbit IgG Super Vision Assay Kit (Catalog # SV0002) with DAB (Catalog # AR1027) as the chromogen.

Flow Cytometry analysis of RT4 cells using anti-XDH antibody (A01884-2).
Overlay histogram showing RT4 cells stained with A01884-2 (Blue line). To facilitate intracellular staining, cells were fixed with 4% paraformaldehyde and permeabilized with permeabilization buffer. The cells were blocked with 10% normal goat serum. And then incubated with rabbit anti-XDH Antibody (A01884-2, 1:100). Fluoro488 conjugated goat anti-rabbit IgG (BA1127, 1:100) was used as secondary antibody. Isotype control antibody (Green line) was rabbit IgG (Catalog # BA1045) (1:100) used under the same conditions. Unlabelled sample (Red line) was also used as a control.

Western blot analysis of anti-XDH antibody (A01884-2). The sample well of each lane was loaded with 30 ug of sample under reducing conditions.
Lane 1: rat liver tissue lysates,
Lane 2: mouse liver tissue lysates,
Lane 3: mouse lung tissue lysates.
After electrophoresis, proteins were transferred to a membrane. Then the membrane was incubated with rabbit anti-XDH antigen affinity purified polyclonal antibody (A01884-2) and probed with a goat anti-rabbit IgG-HRP secondary antibody (Catalog # BA1054). The signal is developed using ECL Plus Western Blotting Substrate (Catalog # AR1197). A specific band was detected for XDH at approximately 150 kDa. The expected band size for XDH is at 146, 147-150 kDa.

IHC analysis of XDH using anti-XDH antibody (A01884-2).
XDH was detected in a paraffin-embedded section of human colon adenocarcinoma tissue. The tissue section was developed using HRP Conjugated Rabbit IgG Super Vision Assay Kit (Catalog # SV0002) with DAB (Catalog # AR1027) as the chromogen.

IHC analysis of XDH using anti-XDH antibody (A01884-2).
XDH was detected in a paraffin-embedded section of human colon tissue. The tissue section was developed using HRP Conjugated Rabbit IgG Super Vision Assay Kit (Catalog # SV0002) with DAB (Catalog # AR1027) as the chromogen.

IHC analysis of XDH using anti-XDH antibody (A01884-2).
XDH was detected in a paraffin-embedded section of human liver cancer tissue. The tissue section was developed using HRP Conjugated Rabbit IgG Super Vision Assay Kit (Catalog # SV0002) with DAB (Catalog # AR1027) as the chromogen.

IHC analysis of XDH using anti-XDH antibody (A01884-2).
XDH was detected in a paraffin-embedded section of human thyroid papillary carcinoma tissue. The tissue section was developed using HRP Conjugated Rabbit IgG Super Vision Assay Kit (Catalog # SV0002) with DAB (Catalog # AR1027) as the chromogen.

Flow Cytometry analysis of RT4 cells using anti-XDH antibody (A01884-2).
Overlay histogram showing RT4 cells stained with A01884-2 (Blue line). To facilitate intracellular staining, cells were fixed with 4% paraformaldehyde and permeabilized with permeabilization buffer. The cells were blocked with 10% normal goat serum. And then incubated with rabbit anti-XDH Antibody (A01884-2, 1:100). Fluoro488 conjugated goat anti-rabbit IgG (BA1127, 1:100) was used as secondary antibody. Isotype control antibody (Green line) was rabbit IgG (Catalog # BA1045) (1:100) used under the same conditions. Unlabelled sample (Red line) was also used as a control.







