| Western blot (WB): | 1:500-2000 | 
| Immunohistochemistry (IHC): | 1:50-400 | 
| Immunofluorescence (IF): | 1:50-400 | 
| Immunocytochemistry/Immunofluorescence (ICC/IF): | 1:50-400 | 
| ImmunoPrecipitation (IP): | 1:250-300 | 
| (Boiling the paraffin sections in 10mM citrate buffer,pH6.0,or PH8.0 EDTA repair liquid for 20 mins is required for the staining of formalin/paraffin sections.) Optimal working dilutions must be determined by end user. | |

Western blot analysis of Lamin B1/LMNB1 using anti-Lamin B1/LMNB1 antibody (BA1228). The sample well of each lane was loaded with 30 ug of sample under reducing conditions. 
Lane 1: human Hela whole cell lysates, 
Lane 2: human K562 whole cell lysates, 
Lane 3: human SH-SY5Y whole cell lysates, 
Lane 4: rat spleen tissue lysates, 
Lane 5: rat PC-12 whole cell lysates, 
Lane 6: mouse RAW264.7 whole cell lysates. 
After electrophoresis, proteins were transferred to a membrane. Then the membrane was incubated with rabbit anti-Lamin B1/LMNB1 antigA03957-Aen affinity purified polyclonal antibody (BA1228) at a dilution of 1:1000 and probed with a goat anti-rabbit IgG-HRP secondary antibody (Catalog # BA1054). The signal is developed using ECL Plus Western Blotting Substrate (Catalog # AR1197). A specific band was detected for Lamin B1/LMNB1 at approximately 70-72 kDa. The expected band size for Lamin B1/LMNB1 is at 66 kDa.

IHC analysis of Lamin B1/LMNB1 using anti-Lamin B1/LMNB1 antibody (BA1228). 
 Lamin B1/LMNB1 was detected in a paraffin-embedded section of human breast cancer tissue. The tissue section was incubated with rabbit anti-Lamin B1/LMNB1 Antibody (BA1228) at a dilution of 1:200 and developed using HRP Conjugated Rabbit IgG Super Vision Assay Kit (Catalog # SV0002) with DAB (Catalog # AR1027) as the chromogen.

IHC analysis of Lamin B1/LMNB1 using anti-Lamin B1/LMNB1 antibody (BA1228). 
 Lamin B1/LMNB1 was detected in a paraffin-embedded section of human colon cancer tissue. The tissue section was incubated with rabbit anti-Lamin B1/LMNB1 Antibody (BA1228) at a dilution of 1:200 and developed using HRP Conjugated Rabbit IgG Super Vision Assay Kit (Catalog # SV0002) with DAB (Catalog # AR1027) as the chromogen.

IHC analysis of Lamin B1/LMNB1 using anti-Lamin B1/LMNB1 antibody (BA1228). 
 Lamin B1/LMNB1 was detected in a paraffin-embedded section of human lung cancer tissue. The tissue section was incubated with rabbit anti-Lamin B1/LMNB1 Antibody (BA1228) at a dilution of 1:200 and developed using HRP Conjugated Rabbit IgG Super Vision Assay Kit (Catalog # SV0002) with DAB (Catalog # AR1027) as the chromogen.

IHC analysis of Lamin B1/LMNB1 using anti-Lamin B1/LMNB1 antibody (BA1228). 
 Lamin B1/LMNB1 was detected in a paraffin-embedded section of mouse brain tissue. The tissue section was incubated with rabbit anti-Lamin B1/LMNB1 Antibody (BA1228) at a dilution of 1:200 and developed using HRP Conjugated Rabbit IgG Super Vision Assay Kit (Catalog # SV0002) with DAB (Catalog # AR1027) as the chromogen.

IHC analysis of Lamin B1/LMNB1 using anti-Lamin B1/LMNB1 antibody (BA1228). 
 Lamin B1/LMNB1 was detected in a paraffin-embedded section of rat brain tissue. The tissue section was incubated with rabbit anti-Lamin B1/LMNB1 Antibody (BA1228) at a dilution of 1:200 and developed using HRP Conjugated Rabbit IgG Super Vision Assay Kit (Catalog # SV0002) with DAB (Catalog # AR1027) as the chromogen.

IF analysis of Lamin B1/LMNB1 using anti-Lamin B1/LMNB1 antibody (BA1228).
Lamin B1/LMNB1 was detected in a paraffin-embedded section of human lung cancer tissue. The tissue section was incubated with rabbit anti-Lamin B1/LMNB1 Antibody (BA1228) at a dilution of 1:100. Cy3-conjugated Anti-rabbit IgG Secondary Antibody (red) (Catalog # BA1032) was used as secondary antibody. The section was counterstained with DAPI (Catalog # AR1176) (Blue).

IF analysis of Lamin B1/LMNB1 using anti-Lamin B1/LMNB1 antibody (BA1228).
 Lamin B1/LMNB1 was detected in an immunocytochemical section of U2OS cells. The section was incubated with rabbit anti-Lamin B1/LMNB1 Antibody (BA1228) at a dilution of 1:100. DyLight®488 Conjugated Goat Anti-Rabbit IgG (Green) (Catalog # BA1127) was used as secondary antibody. The section was counterstained with DAPI (Catalog # AR1176) (Blue).

IP analysis of Lamin B1/LMNB1 using anti-Lamin B1/LMNB1 antibody (BA1228) in Hela whole cell lysate. 
Western blot analysis of Lamin B1/LMNB1 using anti- Lamin B1/LMNB1 antibody (BA1228). 
Lane 1: Hela whole cell lysates(30ug), 
Lane 2: Rabbit control IgG instead of anti- Lamin B1/LMNB1 antibody in Hela whole cell lysate, 
Lane 3: anti- Lamin B1/LMNB1 antibody (2μg) + Hela whole cell lysate (500μg). 
After electrophoresis, proteins were transferred to a membrane. Then the membrane was incubated with rabbit anti- Lamin B1/LMNB1 antigen affinity purified polyclonal antibody (BA1228) at a dilution of 1:1000 and probed with a goat anti-rabbit IgG-HRP secondary antibody (Catalog # BA1054). The signal is developed using ECL Plus Western Blotting Substrate (Catalog # AR1197). A specific band was detected for Lamin B1/LMNB1 at approximately 70 kDa. The expected band size for Lamin B1/LMNB1 is at 66 kDa.

Western blot analysis of Lamin B1/LMNB1 using anti-Lamin B1/LMNB1 antibody (BA1228). The sample well of each lane was loaded with 30 ug of sample under reducing conditions. 
Lane 1: human Hela whole cell lysates, 
Lane 2: human K562 whole cell lysates, 
Lane 3: human SH-SY5Y whole cell lysates, 
Lane 4: rat spleen tissue lysates, 
Lane 5: rat PC-12 whole cell lysates, 
Lane 6: mouse RAW264.7 whole cell lysates. 
After electrophoresis, proteins were transferred to a membrane. Then the membrane was incubated with rabbit anti-Lamin B1/LMNB1 antigA03957-Aen affinity purified polyclonal antibody (BA1228) at a dilution of 1:1000 and probed with a goat anti-rabbit IgG-HRP secondary antibody (Catalog # BA1054). The signal is developed using ECL Plus Western Blotting Substrate (Catalog # AR1197). A specific band was detected for Lamin B1/LMNB1 at approximately 70-72 kDa. The expected band size for Lamin B1/LMNB1 is at 66 kDa.

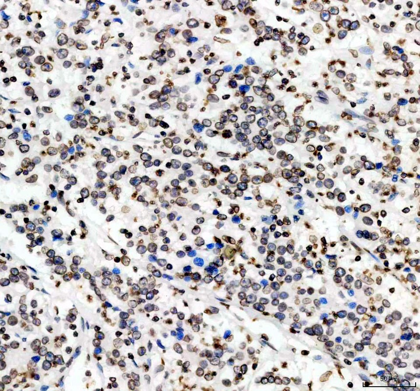
IHC analysis of Lamin B1/LMNB1 using anti-Lamin B1/LMNB1 antibody (BA1228). 
 Lamin B1/LMNB1 was detected in a paraffin-embedded section of human breast cancer tissue. The tissue section was incubated with rabbit anti-Lamin B1/LMNB1 Antibody (BA1228) at a dilution of 1:200 and developed using HRP Conjugated Rabbit IgG Super Vision Assay Kit (Catalog # SV0002) with DAB (Catalog # AR1027) as the chromogen.

IHC analysis of Lamin B1/LMNB1 using anti-Lamin B1/LMNB1 antibody (BA1228). 
 Lamin B1/LMNB1 was detected in a paraffin-embedded section of human colon cancer tissue. The tissue section was incubated with rabbit anti-Lamin B1/LMNB1 Antibody (BA1228) at a dilution of 1:200 and developed using HRP Conjugated Rabbit IgG Super Vision Assay Kit (Catalog # SV0002) with DAB (Catalog # AR1027) as the chromogen.

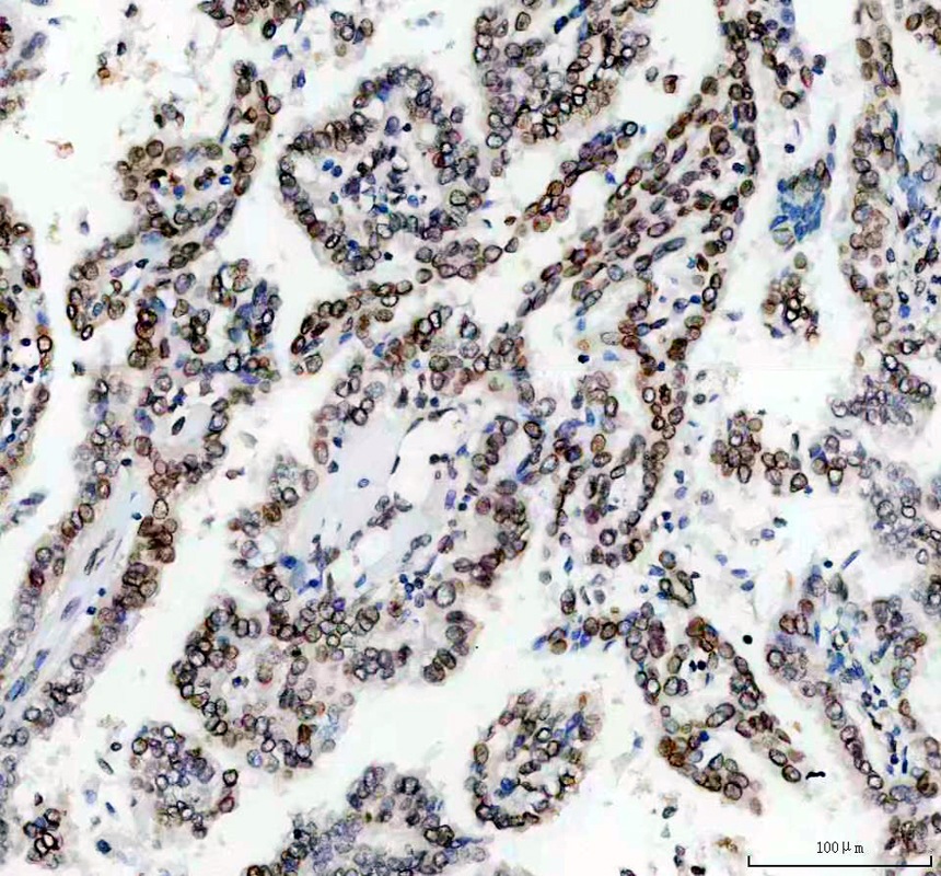
IHC analysis of Lamin B1/LMNB1 using anti-Lamin B1/LMNB1 antibody (BA1228). 
 Lamin B1/LMNB1 was detected in a paraffin-embedded section of human lung cancer tissue. The tissue section was incubated with rabbit anti-Lamin B1/LMNB1 Antibody (BA1228) at a dilution of 1:200 and developed using HRP Conjugated Rabbit IgG Super Vision Assay Kit (Catalog # SV0002) with DAB (Catalog # AR1027) as the chromogen.

IHC analysis of Lamin B1/LMNB1 using anti-Lamin B1/LMNB1 antibody (BA1228). 
 Lamin B1/LMNB1 was detected in a paraffin-embedded section of mouse brain tissue. The tissue section was incubated with rabbit anti-Lamin B1/LMNB1 Antibody (BA1228) at a dilution of 1:200 and developed using HRP Conjugated Rabbit IgG Super Vision Assay Kit (Catalog # SV0002) with DAB (Catalog # AR1027) as the chromogen.

IHC analysis of Lamin B1/LMNB1 using anti-Lamin B1/LMNB1 antibody (BA1228). 
 Lamin B1/LMNB1 was detected in a paraffin-embedded section of rat brain tissue. The tissue section was incubated with rabbit anti-Lamin B1/LMNB1 Antibody (BA1228) at a dilution of 1:200 and developed using HRP Conjugated Rabbit IgG Super Vision Assay Kit (Catalog # SV0002) with DAB (Catalog # AR1027) as the chromogen.

IF analysis of Lamin B1/LMNB1 using anti-Lamin B1/LMNB1 antibody (BA1228).
Lamin B1/LMNB1 was detected in a paraffin-embedded section of human lung cancer tissue. The tissue section was incubated with rabbit anti-Lamin B1/LMNB1 Antibody (BA1228) at a dilution of 1:100. Cy3-conjugated Anti-rabbit IgG Secondary Antibody (red) (Catalog # BA1032) was used as secondary antibody. The section was counterstained with DAPI (Catalog # AR1176) (Blue).

IF analysis of Lamin B1/LMNB1 using anti-Lamin B1/LMNB1 antibody (BA1228).
 Lamin B1/LMNB1 was detected in an immunocytochemical section of U2OS cells. The section was incubated with rabbit anti-Lamin B1/LMNB1 Antibody (BA1228) at a dilution of 1:100. DyLight®488 Conjugated Goat Anti-Rabbit IgG (Green) (Catalog # BA1127) was used as secondary antibody. The section was counterstained with DAPI (Catalog # AR1176) (Blue).

IP analysis of Lamin B1/LMNB1 using anti-Lamin B1/LMNB1 antibody (BA1228) in Hela whole cell lysate. 
Western blot analysis of Lamin B1/LMNB1 using anti- Lamin B1/LMNB1 antibody (BA1228). 
Lane 1: Hela whole cell lysates(30ug), 
Lane 2: Rabbit control IgG instead of anti- Lamin B1/LMNB1 antibody in Hela whole cell lysate, 
Lane 3: anti- Lamin B1/LMNB1 antibody (2μg) + Hela whole cell lysate (500μg). 
After electrophoresis, proteins were transferred to a membrane. Then the membrane was incubated with rabbit anti- Lamin B1/LMNB1 antigen affinity purified polyclonal antibody (BA1228) at a dilution of 1:1000 and probed with a goat anti-rabbit IgG-HRP secondary antibody (Catalog # BA1054). The signal is developed using ECL Plus Western Blotting Substrate (Catalog # AR1197). A specific band was detected for Lamin B1/LMNB1 at approximately 70 kDa. The expected band size for Lamin B1/LMNB1 is at 66 kDa.








