| Western blot (WB): | 1:500-2000 |
| Immunohistochemistry (IHC): | 1:50-400 |
| Immunocytochemistry/Immunofluorescence (ICC/IF): | 1:50-400 |
| (Boiling the paraffin sections in 10mM citrate buffer,pH6.0,or PH8.0 EDTA repair liquid for 20 mins is required for the staining of formalin/paraffin sections.) Optimal working dilutions must be determined by end user. | |

Western blot analysis of ABCD3 using anti-ABCD3 antibody (BA3339). The sample well of each lane was loaded with 30 ug of sample under reducing conditions.
Lane 1: human 293T whole cell lysates,
Lane 2: human HepG2 whole cell lysates,
Lane 3: rat liver tissue lysates,
Lane 4: mouse liver tissue lysates.
After electrophoresis, proteins were transferred to a membrane. Then the membrane was incubated with rabbit anti-ABCD3 antigA03957-Aen affinity purified polyclonal antibody (BA3339) at a dilution of 1:1000 and probed with a goat anti-rabbit IgG-HRP secondary antibody (Catalog # BA1054). The signal is developed using ECL Plus Western Blotting Substrate (Catalog # AR1197). A specific band was detected for ABCD3 at approximately 70 kDa. The expected band size for ABCD3 is at 75 kDa.

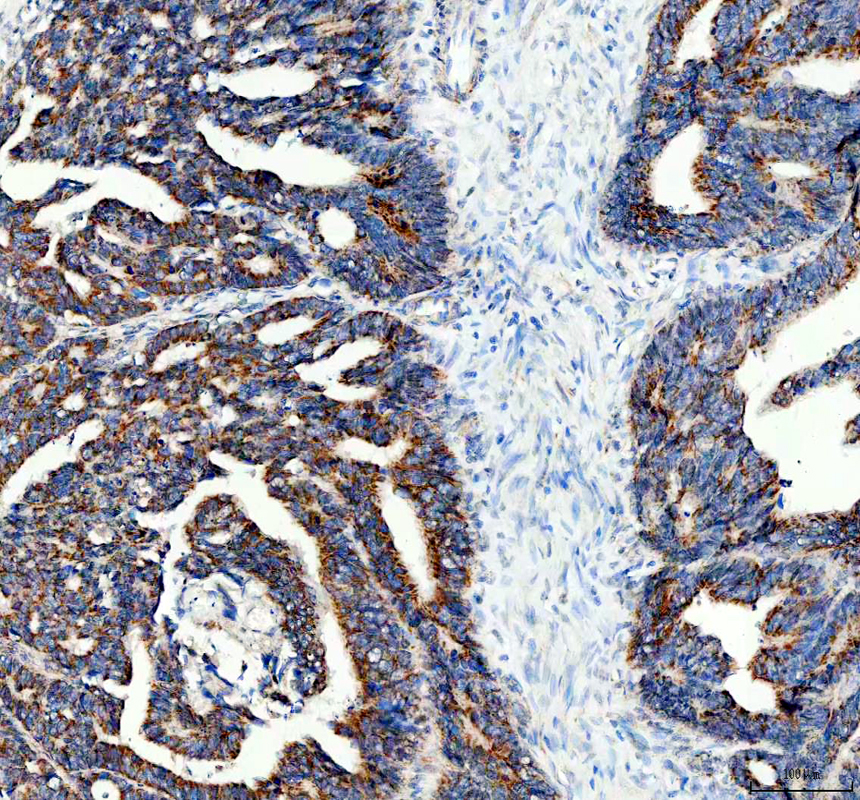
IHC analysis of ABCD3 using anti-ABCD3 antibody (BA3339).
ABCD3 was detected in a paraffin-embedded section of human colon cancer tissue. The tissue section was incubated with rabbit anti-ABCD3 Antibody (BA3339) at a dilution of 1:200 and developed using HRP Conjugated Rabbit IgG Super Vision Assay Kit (Catalog # SV0002) with DAB (Catalog # AR1027) as the chromogen.

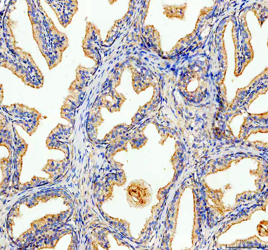
IHC analysis of ABCD3 using anti-ABCD3 antibody (BA3339).
ABCD3 was detected in a paraffin-embedded section of human prostate cancer tissue. The tissue section was incubated with rabbit anti-ABCD3 Antibody (BA3339) at a dilution of 1:200 and developed using HRP Conjugated Rabbit IgG Super Vision Assay Kit (Catalog # SV0002) with DAB (Catalog # AR1027) as the chromogen.

ICC/IF analysis of ABCD3 using anti-ABCD3 antibody (BA3339).
ABCD3 was detected in an immunocytochemical section of A549 cells. The section was incubated with rabbit anti-ABCD3 Antibody (BA3339) at a dilution of 1:100. Fluoro488 Conjugated Goat Anti-Rabbit IgG (Green) (Catalog # BA1127) was used as secondary antibody. The section was counterstained with DAPI (Catalog # AR1176) (Blue).

Western blot analysis of ABCD3 using anti-ABCD3 antibody (BA3339). The sample well of each lane was loaded with 30 ug of sample under reducing conditions.
Lane 1: human 293T whole cell lysates,
Lane 2: human HepG2 whole cell lysates,
Lane 3: rat liver tissue lysates,
Lane 4: mouse liver tissue lysates.
After electrophoresis, proteins were transferred to a membrane. Then the membrane was incubated with rabbit anti-ABCD3 antigA03957-Aen affinity purified polyclonal antibody (BA3339) at a dilution of 1:1000 and probed with a goat anti-rabbit IgG-HRP secondary antibody (Catalog # BA1054). The signal is developed using ECL Plus Western Blotting Substrate (Catalog # AR1197). A specific band was detected for ABCD3 at approximately 70 kDa. The expected band size for ABCD3 is at 75 kDa.

IHC analysis of ABCD3 using anti-ABCD3 antibody (BA3339).
ABCD3 was detected in a paraffin-embedded section of human colon cancer tissue. The tissue section was incubated with rabbit anti-ABCD3 Antibody (BA3339) at a dilution of 1:200 and developed using HRP Conjugated Rabbit IgG Super Vision Assay Kit (Catalog # SV0002) with DAB (Catalog # AR1027) as the chromogen.

IHC analysis of ABCD3 using anti-ABCD3 antibody (BA3339).
ABCD3 was detected in a paraffin-embedded section of human prostate cancer tissue. The tissue section was incubated with rabbit anti-ABCD3 Antibody (BA3339) at a dilution of 1:200 and developed using HRP Conjugated Rabbit IgG Super Vision Assay Kit (Catalog # SV0002) with DAB (Catalog # AR1027) as the chromogen.

ICC/IF analysis of ABCD3 using anti-ABCD3 antibody (BA3339).
ABCD3 was detected in an immunocytochemical section of A549 cells. The section was incubated with rabbit anti-ABCD3 Antibody (BA3339) at a dilution of 1:100. Fluoro488 Conjugated Goat Anti-Rabbit IgG (Green) (Catalog # BA1127) was used as secondary antibody. The section was counterstained with DAPI (Catalog # AR1176) (Blue).



