| Western blot (WB): | 1:500-2000 |
| Immunohistochemistry (IHC): | 1:50-200 |
| Immunocytochemistry/Immunofluorescence (ICC/IF): | 1:50-200 |
| ImmunoPrecipitation (IP): | 1:20 |
| Flow Cytometry (FCM): | 1:20 |

Western blot analysis of SUMO1 expression in (1) HeLa cell lysate; (2) NIH/3T3 cell lysate.

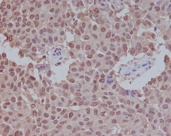
Immunohistochemical analysis of paraffin-embedded human breast carcinoma, using Sumo 1 Antibody .

Immunofluorescent analysis using the Antibody.

Immunofluorescent analysis using the Antibody.

Immunofluorescent analysis using the Antibody.

Immunofluorescent analysis using the Antibody.

Immunofluorescent analysis using the Antibody.

Immunofluorescent analysis using the Antibody.

All lanes use the Antibody for 1 hour at room temperature.

All lanes use the Antibody for 1 hour at room temperature.

All lanes use the Antibody for 1 hour at room temperature.

Western blot analysis of SUMO1 expression in (1) HeLa cell lysate; (2) NIH/3T3 cell lysate.

Immunohistochemical analysis of paraffin-embedded human breast carcinoma, using Sumo 1 Antibody .

Immunofluorescent analysis using the Antibody.

Immunofluorescent analysis using the Antibody.

Immunofluorescent analysis using the Antibody.

Immunofluorescent analysis using the Antibody.

Immunofluorescent analysis using the Antibody.

Immunofluorescent analysis using the Antibody.

All lanes use the Antibody for 1 hour at room temperature.

All lanes use the Antibody for 1 hour at room temperature.

All lanes use the Antibody for 1 hour at room temperature.














