| Western blot (WB): | 1:500-2000 |
| Immunohistochemistry (IHC): | 1:50-400 |
| Immunocytochemistry/Immunofluorescence(ICC/IF): | 1:50-400 |
| Flow Cytometry (Fixed): | 1:50-200 |
| (Boiling the paraffin sections in 10mM citrate buffer,pH6.0,or PH8.0 EDTA repair liquid for 20 mins is required for the staining of formalin/paraffin sections.) Optimal working dilutions must be determined by end user. | |

Western blot analysis of ACLY using anti-ACLY antibody (PB10024). The sample well of each lane was loaded with 30 ug of sample under reducing conditions.
Lane 1: A549 whole cell lysates,
Lane 2: MOLT4 whole cell lysates,
Lane 3: U87 whole cell lysates,
Lane 4: U251 whole cell lysates,
Lane 5: 293T whole cell lysates,
Lane 6: HELA whole cell lysates,
Lane 7: T47D whole cell lysates,
Lane 8: HEPG2 whole cell lysates,
Lane 9: rat pancreas tissue lysates,
Lane 10: NIH/3T3 whole cell lysates.
After electrophoresis, proteins were transferred to a membrane. Then the membrane was incubated with rabbit anti-ACLY antigen affinity purified polyclonal antibody (PB10024) at a dilution of 1:1000 and probed with a goat anti-rabbit IgG-HRP secondary antibody (Catalog # BA1054). The signal is developed using ECL Plus Western Blotting Substrate (Catalog # AR1197). A specific band was detected for ACLY at approximately 121 kDa. The expected band size for ACLY is at 121 kDa.

IHC analysis of ACLY using anti-ACLY antibody (PB10024).
ACLY was detected in a paraffin-embedded section of mouse testis tissue. Biotinylated goat anti-rabbit IgG was used as secondary antibody. The tissue section was incubated with rabbit anti-ACLY Antibody (PB10024) at a dilution of 1:200 and developed using Strepavidin-Biotin-Complex (SABC) (Catalog # SA1022) with DAB (Catalog # AR1027) as the chromogen.

IHC analysis of ACLY using anti-ACLY antibody (PB10024).
ACLY was detected in a paraffin-embedded section of rat testis tissue. Biotinylated goat anti-rabbit IgG was used as secondary antibody. The tissue section was incubated with rabbit anti-ACLY Antibody (PB10024) at a dilution of 1:200 and developed using Strepavidin-Biotin-Complex (SABC) (Catalog # SA1022) with DAB (Catalog # AR1027) as the chromogen.

IHC analysis of ACLY using anti-ACLY antibody (PB10024).
ACLY was detected in a paraffin-embedded section of human colonic adenocarcinoma tissue. Biotinylated goat anti-rabbit IgG was used as secondary antibody. The tissue section was incubated with rabbit anti-ACLY Antibody (PB10024) at a dilution of 1:200 and developed using Strepavidin-Biotin-Complex (SABC) (Catalog # SA1022) with DAB (Catalog # AR1027) as the chromogen.

IHC analysis of ACLY using anti-ACLY antibody (PB10024).
ACLY was detected in a paraffin-embedded section of human hepatocellular carcinoma tissue. Biotinylated goat anti-rabbit IgG was used as secondary antibody. The tissue section was incubated with rabbit anti-ACLY Antibody (PB10024) at a dilution of 1:200 and developed using Strepavidin-Biotin-Complex (SABC) (Catalog # SA1022) with DAB (Catalog # AR1027) as the chromogen.

IHC analysis of ACLY using anti-ACLY antibody (PB10024).
ACLY was detected in a paraffin-embedded section of human Laryngeal squamous cell carcinoma tissue. Biotinylated goat anti-rabbit IgG was used as secondary antibody. The tissue section was incubated with rabbit anti-ACLY Antibody (PB10024) at a dilution of 1:200 and developed using Strepavidin-Biotin-Complex (SABC) (Catalog # SA1022) with DAB (Catalog # AR1027) as the chromogen.

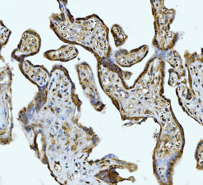
IHC analysis of ACLY using anti-ACLY antibody (PB10024).
ACLY was detected in a paraffin-embedded section of human placenta tissue. Biotinylated goat anti-rabbit IgG was used as secondary antibody. The tissue section was incubated with rabbit anti-ACLY Antibody (PB10024) at a dilution of 1:200 and developed using Strepavidin-Biotin-Complex (SABC) (Catalog # SA1022) with DAB (Catalog # AR1027) as the chromogen.

IHC analysis of ACLY using anti-ACLY antibody (PB10024).
ACLY was detected in a paraffin-embedded section of human colon cancer tissue. Biotinylated goat anti-rabbit IgG was used as secondary antibody. The tissue section was incubated with rabbit anti-ACLY Antibody (PB10024) at a dilution of 1:200 and developed using Strepavidin-Biotin-Complex (SABC) (Catalog # SA1022) with DAB (Catalog # AR1027) as the chromogen.

IF analysis of ACLY using anti-ACLY antibody (PB10024).
ACLY was detected in an immunocytochemical section of A549 cells. The section was incubated with rabbit anti-ACLY Antibody (PB10024) at a dilution of 1:100. DyLight®488 Conjugated Goat Anti-Rabbit IgG (Green) (Catalog # BA1127) was used as secondary antibody. The section was counterstained with DAPI (Catalog # AR1176) (Blue).

Flow Cytometry analysis of HepG2 cells using anti-ACLY antibody (PB10024).
Overlay histogram showing HepG2 cells stained with PB10024 (Blue line). To facilitate intracellular staining, cells were fixed with 4% paraformaldehyde and permeabilized with permeabilization buffer. The cells were blocked with 10% normal goat serum. And then incubated with rabbit anti-ACLY Antibody (PB10024) at 1:100 dilution for 30 min at 20°C. DyLight®488 conjugated goat anti-rabbit IgG (BA1127) was used as secondary antibody at 1:100 dilution for 30 minutes at 20°C. Isotype control antibody (Green line) was rabbit IgG at 1:100 dilution used under the same conditions. Unlabelled sample without incubation with primary antibody and secondary antibody (Red line) was used as a blank control.

Western blot analysis of ACLY using anti-ACLY antibody (PB10024). The sample well of each lane was loaded with 30 ug of sample under reducing conditions.
Lane 1: A549 whole cell lysates,
Lane 2: MOLT4 whole cell lysates,
Lane 3: U87 whole cell lysates,
Lane 4: U251 whole cell lysates,
Lane 5: 293T whole cell lysates,
Lane 6: HELA whole cell lysates,
Lane 7: T47D whole cell lysates,
Lane 8: HEPG2 whole cell lysates,
Lane 9: rat pancreas tissue lysates,
Lane 10: NIH/3T3 whole cell lysates.
After electrophoresis, proteins were transferred to a membrane. Then the membrane was incubated with rabbit anti-ACLY antigen affinity purified polyclonal antibody (PB10024) at a dilution of 1:1000 and probed with a goat anti-rabbit IgG-HRP secondary antibody (Catalog # BA1054). The signal is developed using ECL Plus Western Blotting Substrate (Catalog # AR1197). A specific band was detected for ACLY at approximately 121 kDa. The expected band size for ACLY is at 121 kDa.

IHC analysis of ACLY using anti-ACLY antibody (PB10024).
ACLY was detected in a paraffin-embedded section of mouse testis tissue. Biotinylated goat anti-rabbit IgG was used as secondary antibody. The tissue section was incubated with rabbit anti-ACLY Antibody (PB10024) at a dilution of 1:200 and developed using Strepavidin-Biotin-Complex (SABC) (Catalog # SA1022) with DAB (Catalog # AR1027) as the chromogen.

IHC analysis of ACLY using anti-ACLY antibody (PB10024).
ACLY was detected in a paraffin-embedded section of rat testis tissue. Biotinylated goat anti-rabbit IgG was used as secondary antibody. The tissue section was incubated with rabbit anti-ACLY Antibody (PB10024) at a dilution of 1:200 and developed using Strepavidin-Biotin-Complex (SABC) (Catalog # SA1022) with DAB (Catalog # AR1027) as the chromogen.

IHC analysis of ACLY using anti-ACLY antibody (PB10024).
ACLY was detected in a paraffin-embedded section of human colonic adenocarcinoma tissue. Biotinylated goat anti-rabbit IgG was used as secondary antibody. The tissue section was incubated with rabbit anti-ACLY Antibody (PB10024) at a dilution of 1:200 and developed using Strepavidin-Biotin-Complex (SABC) (Catalog # SA1022) with DAB (Catalog # AR1027) as the chromogen.

IHC analysis of ACLY using anti-ACLY antibody (PB10024).
ACLY was detected in a paraffin-embedded section of human hepatocellular carcinoma tissue. Biotinylated goat anti-rabbit IgG was used as secondary antibody. The tissue section was incubated with rabbit anti-ACLY Antibody (PB10024) at a dilution of 1:200 and developed using Strepavidin-Biotin-Complex (SABC) (Catalog # SA1022) with DAB (Catalog # AR1027) as the chromogen.

IHC analysis of ACLY using anti-ACLY antibody (PB10024).
ACLY was detected in a paraffin-embedded section of human Laryngeal squamous cell carcinoma tissue. Biotinylated goat anti-rabbit IgG was used as secondary antibody. The tissue section was incubated with rabbit anti-ACLY Antibody (PB10024) at a dilution of 1:200 and developed using Strepavidin-Biotin-Complex (SABC) (Catalog # SA1022) with DAB (Catalog # AR1027) as the chromogen.

IHC analysis of ACLY using anti-ACLY antibody (PB10024).
ACLY was detected in a paraffin-embedded section of human placenta tissue. Biotinylated goat anti-rabbit IgG was used as secondary antibody. The tissue section was incubated with rabbit anti-ACLY Antibody (PB10024) at a dilution of 1:200 and developed using Strepavidin-Biotin-Complex (SABC) (Catalog # SA1022) with DAB (Catalog # AR1027) as the chromogen.

IHC analysis of ACLY using anti-ACLY antibody (PB10024).
ACLY was detected in a paraffin-embedded section of human colon cancer tissue. Biotinylated goat anti-rabbit IgG was used as secondary antibody. The tissue section was incubated with rabbit anti-ACLY Antibody (PB10024) at a dilution of 1:200 and developed using Strepavidin-Biotin-Complex (SABC) (Catalog # SA1022) with DAB (Catalog # AR1027) as the chromogen.

IF analysis of ACLY using anti-ACLY antibody (PB10024).
ACLY was detected in an immunocytochemical section of A549 cells. The section was incubated with rabbit anti-ACLY Antibody (PB10024) at a dilution of 1:100. DyLight®488 Conjugated Goat Anti-Rabbit IgG (Green) (Catalog # BA1127) was used as secondary antibody. The section was counterstained with DAPI (Catalog # AR1176) (Blue).

Flow Cytometry analysis of HepG2 cells using anti-ACLY antibody (PB10024).
Overlay histogram showing HepG2 cells stained with PB10024 (Blue line). To facilitate intracellular staining, cells were fixed with 4% paraformaldehyde and permeabilized with permeabilization buffer. The cells were blocked with 10% normal goat serum. And then incubated with rabbit anti-ACLY Antibody (PB10024) at 1:100 dilution for 30 min at 20°C. DyLight®488 conjugated goat anti-rabbit IgG (BA1127) was used as secondary antibody at 1:100 dilution for 30 minutes at 20°C. Isotype control antibody (Green line) was rabbit IgG at 1:100 dilution used under the same conditions. Unlabelled sample without incubation with primary antibody and secondary antibody (Red line) was used as a blank control.









