| Western blot (WB): | 1:500-2000 |
| Immunohistochemistry (IHC): | 1:50-400 |
| (Boiling the paraffin sections in 10mM citrate buffer,pH6.0,or PH8.0 EDTA repair liquid for 20 mins is required for the staining of formalin/paraffin sections.) Optimal working dilutions must be determined by end user. | |

Western blot analysis of GSTP1 using anti-GSTP1 antibody (BA0491). The sample well of each lane was loaded with 30 ug of sample under reducing conditions.
Lane 1: Hela whole cell lysates,
Lane 2: 293T whole cell lysates,
Lane 3: Jurkat whole cell lysates,
Lane 4: rat lung tissue lysates,
Lane 5: mouse lung tissue lysates,
Lane 6: mouse liver tissue lysates.
After electrophoresis, proteins were transferred to a membrane. Then the membrane was incubated with rabbit anti-GSTP1 antigen affinity purified polyclonal antibody (BA0491) at a dilution of 1:1000 and probed with a goat anti-rabbit IgG-HRP secondary antibody (Catalog # BA1054). The signal is developed using ECL Plus Western Blotting Substrate (Catalog # AR1197). A specific band was detected for GSTP1 at approximately 23 kDa. The expected band size for GSTP1 is at 23 kDa.

IHC analysis of GSTP1 using anti-GSTP1 antibody (BA0491).
GSTP1 was detected in a paraffin-embedded section of human highly differentiated adenocarcinoma of the colon tissue. Biotinylated goat anti-rabbit IgG was used as secondary antibody. The tissue section was incubated with rabbit anti-GSTP1 Antibody (BA0491) at a dilution of 1:200 and developed using Strepavidin-Biotin-Complex (SABC) (Catalog # SA1022) with DAB (Catalog # AR1027) as the chromogen.

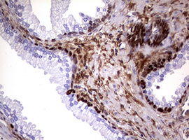
IHC analysis of GSTP1 using anti-GSTP1 antibody (BA0491).
GSTP1 was detected in a paraffin-embedded section of human Moderately differentiated adenocarcinoma of the cervical canal tissue. Biotinylated goat anti-rabbit IgG was used as secondary antibody. The tissue section was incubated with rabbit anti-GSTP1 Antibody (BA0491) at a dilution of 1:200 and developed using Strepavidin-Biotin-Complex (SABC) (Catalog # SA1022) with DAB (Catalog # AR1027) as the chromogen.

IHC analysis of GSTP1 using anti-GSTP1 antibody (BA0491).
GSTP1 was detected in a paraffin-embedded section of human ovarian cancer tissue. Biotinylated goat anti-rabbit IgG was used as secondary antibody. The tissue section was incubated with rabbit anti-GSTP1 Antibody (BA0491) at a dilution of 1:200 and developed using Strepavidin-Biotin-Complex (SABC) (Catalog # SA1022) with DAB (Catalog # AR1027) as the chromogen.

Western blot analysis of GSTP1 using anti-GSTP1 antibody (BA0491). The sample well of each lane was loaded with 30 ug of sample under reducing conditions.
Lane 1: Hela whole cell lysates,
Lane 2: 293T whole cell lysates,
Lane 3: Jurkat whole cell lysates,
Lane 4: rat lung tissue lysates,
Lane 5: mouse lung tissue lysates,
Lane 6: mouse liver tissue lysates.
After electrophoresis, proteins were transferred to a membrane. Then the membrane was incubated with rabbit anti-GSTP1 antigen affinity purified polyclonal antibody (BA0491) at a dilution of 1:1000 and probed with a goat anti-rabbit IgG-HRP secondary antibody (Catalog # BA1054). The signal is developed using ECL Plus Western Blotting Substrate (Catalog # AR1197). A specific band was detected for GSTP1 at approximately 23 kDa. The expected band size for GSTP1 is at 23 kDa.

IHC analysis of GSTP1 using anti-GSTP1 antibody (BA0491).
GSTP1 was detected in a paraffin-embedded section of human highly differentiated adenocarcinoma of the colon tissue. Biotinylated goat anti-rabbit IgG was used as secondary antibody. The tissue section was incubated with rabbit anti-GSTP1 Antibody (BA0491) at a dilution of 1:200 and developed using Strepavidin-Biotin-Complex (SABC) (Catalog # SA1022) with DAB (Catalog # AR1027) as the chromogen.

IHC analysis of GSTP1 using anti-GSTP1 antibody (BA0491).
GSTP1 was detected in a paraffin-embedded section of human Moderately differentiated adenocarcinoma of the cervical canal tissue. Biotinylated goat anti-rabbit IgG was used as secondary antibody. The tissue section was incubated with rabbit anti-GSTP1 Antibody (BA0491) at a dilution of 1:200 and developed using Strepavidin-Biotin-Complex (SABC) (Catalog # SA1022) with DAB (Catalog # AR1027) as the chromogen.

IHC analysis of GSTP1 using anti-GSTP1 antibody (BA0491).
GSTP1 was detected in a paraffin-embedded section of human ovarian cancer tissue. Biotinylated goat anti-rabbit IgG was used as secondary antibody. The tissue section was incubated with rabbit anti-GSTP1 Antibody (BA0491) at a dilution of 1:200 and developed using Strepavidin-Biotin-Complex (SABC) (Catalog # SA1022) with DAB (Catalog # AR1027) as the chromogen.



