欢迎访问博士德生物官网! 服务热线:027-67845390 |
您当前的位置: 首页 > 产品中心 > 一抗 > 多克隆抗体

Anti-Apolipoprotein AI/APOA1 Antibody

Rabbit polyclonal antibody

说明书 一键复制产品信息

筛选器: All WB IHC

BA3113

  • 50μl ¥1280 100μl ¥2180 150μl ¥2800
  • 货期: 现货
  • Western blot analysis of Apolipoprotein AI/APOA1 using anti-Apolipoprotein AI/APOA1 antibody (BA3113). The sample well of each lane was loaded with 30 ug of sample under reducing conditions.
    Lane 1: rat testis tissue lysates,
    Lane 2: human Hela whole cell lysates.
    After electrophoresis, proteins were transferred to a membrane. Then the membrane was incubated with rabbit anti-Apolipoprotein AI/APOA1 antigen affinity purified polyclonal antibody (BA3113) at a dilution of 1:1000 and probed with a goat anti-rabbit IgG-HRP secondary antibody (Catalog # BA1054). The signal is developed using ECL Plus Western Blotting Substrate (Catalog # AR1197). A specific band was detected for Apolipoprotein AI/APOA1 at approximately 31 kDa. The expected band size for Apolipoprotein AI/APOA1 is at 31 kDa.

    all(3)
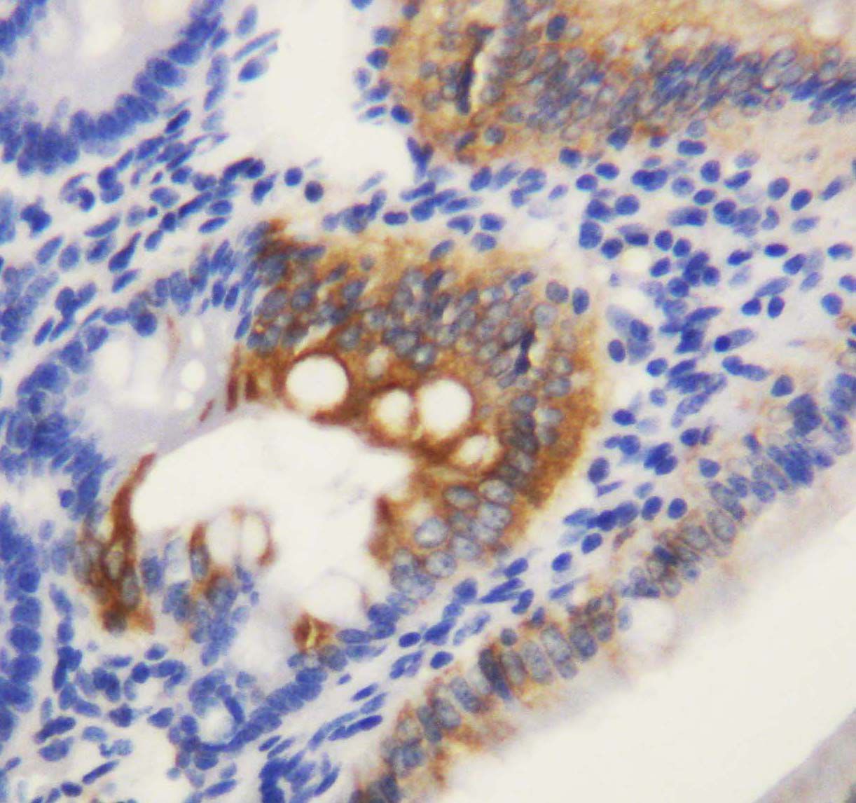
  • IHC analysis of Apolipoprotein AI/APOA1 using anti-Apolipoprotein AI/APOA1 antibody (BA3113).
    Apolipoprotein AI/APOA1 was detected in a paraffin-embedded section of rat intestine tissue. Biotinylated goat anti-rabbit IgG was used as secondary antibody. The tissue section was incubated with rabbit anti-Apolipoprotein AI/APOA1 Antibody (BA3113) at a dilution of 1:200 and developed using Strepavidin-Biotin-Complex (SABC) (Catalog # SA1022) with DAB (Catalog # AR1027) as the chromogen.

    all(3)
  • IHC analysis of Apolipoprotein AI/APOA1 using anti-Apolipoprotein AI/APOA1 antibody (BA3113).
    Apolipoprotein AI/APOA1 was detected in a paraffin-embedded section of human liver tissue. The tissue section was incubated with rabbit anti-Apolipoprotein AI/APOA1 Antibody (BA3113) at a dilution of 1:200 and developed using HRP Conjugated Rabbit IgG Super Vision Assay Kit (Catalog # SV0002) with DAB (Catalog # AR1027) as the chromogen.

    all(3)

产品简介 实验方案 引用文献 相关产品

产品简介>

产品名称
Anti-Apolipoprotein AI/APOA1 Antibody
规格/价格
50μl|1280 100μl|2180 150μl|2800
指标别称
Apo AI; ApoA I; APOA1; apolipoprotein A I; Apolipoprotein A1
产品类型
Polyclonal
检验物种
human, mouse, rat
应用范围
WB, IHC
基因名称
APOA1
宿主
Rabbit
抗体亚型
IgG
免疫原
Polypeptide
计算分子量
31 kDa
实际分子量
31 kDa
成分
500 ug/ml antibody with PBS, 0.02% NaN3, 1 mg/ml BSA and 50% glycerol.
纯化方式
Immunogen affinity purified.
浓度
500 ug/ml
产品形态
Liquid
保存条件
12 months from date of receipt,-20℃ as supplied.
背景资料
Apolipoprotein A-1, also known as APOA1, is a human protein with a specific role in lipid metabolism. It binds to lipopolysaccharide or endotoxin, and has a major role in the anti-endotoxin function of HDL. The gene is mapped to 11q23. And it is a single polypeptide chain with 243 amino acid residues of known primary amino acid sequence. The ApoA-I protein promotes cholesterol efflux from tissues to the liver for excretion. It is a cofactor for lecithin cholesterolacyltransferase (LCAT) which is responsible for the formation of most plasma cholesteryl esters. ApoA-I is also isolated as a prostacyclin (PGI2) stabilizing factor, and thus may have an anticlotting effect. Defects in the gene encoding it are associated with HDL deficiencies, including Tangier disease, and with systemic non-neuropathic amyloidosis. Additionally, ApoA-I overexpression promotes macrophage-specific reverse cholesterol transport.
Uniprot ID
P02647  
文献引用格式
Apolipoprotein AI/APOA1 Antibody (Boster Biological Technology, Wuhan, China. Catalog#BA3113)
应用释义
WB-蛋白质免疫印迹法; IHC- 免疫组织化学法; ICC/IF-免疫细胞荧光和免疫细胞化学; FCM-流式细胞术; ELISA-酶联免疫吸附测定; IP-免疫沉淀法; IF-免疫组织荧光法; ChIP-染色质免疫沉淀法;
推荐配套的二抗和检测试剂
Boster recommends Enhanced Chemiluminescent Kit with anti-Rabbit IgG (EK1002) for Western blot, and HRP Conjugated anti-Rabbit IgG Super Vision Assay Kit (SV0002-1) for IHC(P). *Blocking peptide 可以联系我们购买。
基因名全称
apolipoprotein A-I
蛋白名全称
Apolipoprotein A-I
推荐稀释比
Western blot (WB):1:500-2000
Immunohistochemistry (IHC):1:50-400
(Boiling the paraffin sections in 10mM citrate buffer,pH6.0,or PH8.0 EDTA repair liquid for 20 mins is required for the staining of formalin/paraffin sections.) Optimal working dilutions must be determined by end user.

实验方案>

实验步骤

引用文献(0)>

    相关产品>

    成功添加到购物车

    查看购物车 继续购物

    Anti-Apolipoprotein AI/APOA1 Antibody

    筛选器: All WB IHC

    亮暗模式切换
    X
    亮暗模式切换
    X

    在线
    客服

    在线客服
    服务时间:08:30 - 17:30

    点击下列客服在线咨询:

    服务热线

    服务
    热线

    客服服务热线

    027-67845390
    客服服务热线

    扫码

    扫码
    咨询

    微信二维码 微信扫一扫立即咨询
    返回顶部 顶部