欢迎访问博士德生物官网! 服务热线:027-67845390 |
您当前的位置: 首页 > 产品中心 > 一抗 > 重组兔单抗

Anti-MFN2 Antibody (Clone#AOCA-13)

Rabbit monoclonal antibody

说明书 一键复制产品信息

筛选器: All WB IHC ICC/IF

BM4906

  • 50μl ¥1280 100μl ¥2180 150μl ¥2800
  • 货期: 现货
  • Western blot analysis of anti-MFN2 antibody (BM4906). The sample well of each lane was loaded with 30 ug of sample under reducing conditions.
    Lane 1: human HepG2 whole cell lysates,
    Lane 2: rat brain tissue lysates,
    Lane 3: rat kidney tissue lysates,
    Lane 4: mouse brain tissue lysates,
    Lane 5: mouse kidney tissue lysates.
    After electrophoresis, proteins were transferred to a membrane. Then the membrane was incubated with rabbit anti-MFN2 antigen affinity purified monoclonal antibody (BM4906) at a dilution of 1:1000 and probed with a goat anti-rabbit IgG-HRP secondary antibody (Catalog # BA1054). The signal is developed using ECL Plus Western Blotting Substrate (Catalog # AR1197). A specific band was detected for MFN2 at approximately 86 kDa. The expected band size for MFN2 is at 86 kDa.

    all(3)
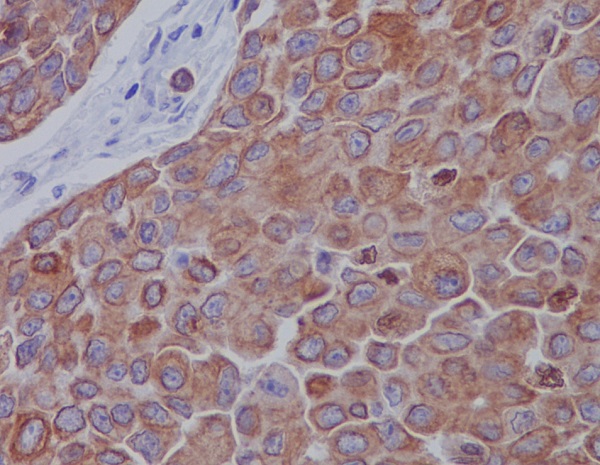
  • Immunohistochemical analysis of paraffin-embedded human breast carcinoma, using Mitofusin 2 Antibody.

    all(3)
  • Immunofluorescent analysis of Hela cells, using Mitofusin 2 Antibody.

    all(3)

产品简介 实验方案 引用文献 相关产品

产品简介>

产品名称
Anti-MFN2 Antibody (Clone#AOCA-13)
规格/价格
50μl|1280 100μl|2180 150μl|2800
指标别称
CMT2A; CMT2A2; CPRP1; HSG; KIAA0214; MARF; MFN2; Mitofusin 2; Transmembrane GTPase MFN2
产品类型
Monoclonal
检验物种
human, mouse, rat
应用范围
WB, IHC, ICC/IF
基因名称
MFN2
克隆号
AOCA-13
宿主
Rabbit
抗体亚型
IgG
免疫原
A synthesized peptide derived from human Mitofusin 2
计算分子量
86 kDa
实际分子量
86 kDa
成分
500 ug/ml; Rabbit IgG in phosphate buffered saline, pH 7.4, 150mM NaCl, 0.02% sodium azide, 0.4-0.5 mg/ml BSA and 50% glycerol.
纯化方式
Affinity-chromatography
浓度
500 ug/ml
产品形态
Liquid
保存条件
12 months from date of receipt,-20℃ as supplied.
背景资料
Mitofusin 2(MFN2) is a mitochondrial transmembrane GTPase regulating mitochondrial fusion and that the nucleotide-dependent activation of MFN2 concomitantly protects the organelle from permeability transition. It is mapped to chromosome 1 and encodes a 757-amino acid protein that contains an ATP/GTP-binding site motif. It is expressed in many tissues and cell lines such as brain and KG-1 with the highest expression in heart and skeletal muscle. This protein contains an N-terminal GTPase domain and a transmembrane domain near the C terminus. It shares 60% identity with MFN1. When stably expressed in COS-7 cells, MFN2 colocalizes with mitochondrial markers. Axonal CMT type 2A and autosomal dominant HMSN VI are caused by MFN2 and mutations in MFN2, which emphasizes its important role of mitochondrial function for both optic atrophies and peripheral neuropathies.
Uniprot ID
O95140  
文献引用格式
MFN2 Antibody (Clone#AOCA-13) (Boster Biological Technology, Wuhan, China. Catalog#BM4906)
应用释义
WB-蛋白质免疫印迹法; IHC- 免疫组织化学法; ICC/IF-免疫细胞荧光和免疫细胞化学; FCM-流式细胞术; ELISA-酶联免疫吸附测定; IP-免疫沉淀法; IF-免疫组织荧光法; ChIP-染色质免疫沉淀法;
基因名全称
Mitofusin-2
推荐稀释比
Western blot (WB):1:500-2000
Immunohistochemistry (IHC):1:50-200
Immunocytochemistry/Immunofluorescence (ICC/IF):1:50-200

实验方案>

实验步骤

引用文献(0)>

    相关产品>

    成功添加到购物车

    查看购物车 继续购物

    Anti-MFN2 Antibody (Clone#AOCA-13)

    筛选器: All WB IHC ICC/IF

    亮暗模式切换
    X
    亮暗模式切换
    X

    在线
    客服

    在线客服
    服务时间:08:30 - 17:30

    点击下列客服在线咨询:

    服务热线

    服务
    热线

    客服服务热线

    027-67845390
    客服服务热线

    扫码

    扫码
    咨询

    微信二维码 微信扫一扫立即咨询
    返回顶部 顶部