| Immunohistochemistry (IHC): | 1:250 |

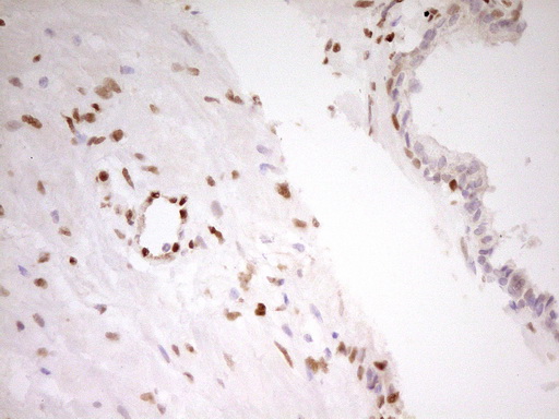
Immunohistochemical staining of paraffin-embedded Carcinoma of Human bladder tissue using anti-FOS mouse monoclonal antibody. (Heat-induced epitope retrieval by 1mM EDTA in 10mM Tris, pH8.5, 120°C for 3min, M00297-6)

Immunohistochemical staining of paraffin-embedded Human bladder tissue within the normal limits using anti-FOS mouse monoclonal antibody. (Heat-induced epitope retrieval by 1mM EDTA in 10mM Tris, pH8.5, 120°C for 3min, M00297-6)

Immunohistochemical staining of paraffin-embedded Carcinoma of Human prostate tissue using anti-FOS mouse monoclonal antibody. (Heat-induced epitope retrieval by 1mM EDTA in 10mM Tris, pH8.5, 120°C for 3min, M00297-6)

Immunohistochemical staining of paraffin-embedded Human prostate tissue within the normal limits using anti-FOS mouse monoclonal antibody. (Heat-induced epitope retrieval by 1mM EDTA in 10mM Tris, pH8.5, 120°C for 3min, M00297-6)

Immunohistochemical staining of paraffin-embedded Carcinoma of Human bladder tissue using anti-FOS mouse monoclonal antibody. (Heat-induced epitope retrieval by 1mM EDTA in 10mM Tris, pH8.5, 120°C for 3min, M00297-6)

Immunohistochemical staining of paraffin-embedded Human bladder tissue within the normal limits using anti-FOS mouse monoclonal antibody. (Heat-induced epitope retrieval by 1mM EDTA in 10mM Tris, pH8.5, 120°C for 3min, M00297-6)

Immunohistochemical staining of paraffin-embedded Carcinoma of Human prostate tissue using anti-FOS mouse monoclonal antibody. (Heat-induced epitope retrieval by 1mM EDTA in 10mM Tris, pH8.5, 120°C for 3min, M00297-6)

Immunohistochemical staining of paraffin-embedded Human prostate tissue within the normal limits using anti-FOS mouse monoclonal antibody. (Heat-induced epitope retrieval by 1mM EDTA in 10mM Tris, pH8.5, 120°C for 3min, M00297-6)



