| Western blot (WB): | 1:500-2000 | 
| Immunohistochemistry (IHC): | 1:50-200 | 
| Immunocytochemistry/Immunofluorescence (ICC/IF): | 1:50-200 | 

Western blot analysis of anti-TIMELESS antibody (M00831). The sample well of each lane was loaded with 30 ug of sample under reducing conditions. 
Lane 1: human Hela whole cell lysates,
Lane 2: human A549 whole cell lysates,
Lane 3: human MCF-7 whole cell lysates,
Lane 4: human K562 whole cell lysates,
Lane 5: human SIHA whole cell lysates,
Lane 6: human RT4 whole cell lysates,
Lane 7: human Jurkat whole cell lysates,
Lane 8: human HEL whole cell lysates.
After electrophoresis, proteins were transferred to a membrane. Then the membrane was incubated with rabbit anti-TIMELESS antigen affinity purified monoclonal antibody (M00831) at a dilution of 1:1000 and probed with a goat anti-rabbit IgG-HRP secondary antibody (Catalog # BA1054). The signal is developed using ECL Plus Western Blotting Substrate (Catalog # AR1197). A specific band was detected for TIMELESS at approximately 150 kDa. The expected band size for TIMELESS is at 138 kDa.

IHC analysis of TIMELESS using anti-TIMELESS antibody (M00831) . 
TIMELESS was detected in a paraffin-embedded section of human breast cancer tissue. The tissue section was incubated with rabbit anti-TIMELESS Antibody (M00831) at a dilution of 1:200 and developed using HRP Conjugated Rabbit IgG Super Vision Assay Kit (Catalog # SV0002) with DAB (Catalog # AR1027) as the chromogen.

Western blot analysis of anti-TIMELESS antibody (M00831). The sample well of each lane was loaded with 30 ug of sample under reducing conditions. 
Lane 1: human Hela whole cell lysates,
Lane 2: human A549 whole cell lysates,
Lane 3: human MCF-7 whole cell lysates,
Lane 4: human K562 whole cell lysates,
Lane 5: human SIHA whole cell lysates,
Lane 6: human RT4 whole cell lysates,
Lane 7: human Jurkat whole cell lysates,
Lane 8: human HEL whole cell lysates.
After electrophoresis, proteins were transferred to a membrane. Then the membrane was incubated with rabbit anti-TIMELESS antigen affinity purified monoclonal antibody (M00831) at a dilution of 1:1000 and probed with a goat anti-rabbit IgG-HRP secondary antibody (Catalog # BA1054). The signal is developed using ECL Plus Western Blotting Substrate (Catalog # AR1197). A specific band was detected for TIMELESS at approximately 150 kDa. The expected band size for TIMELESS is at 138 kDa.

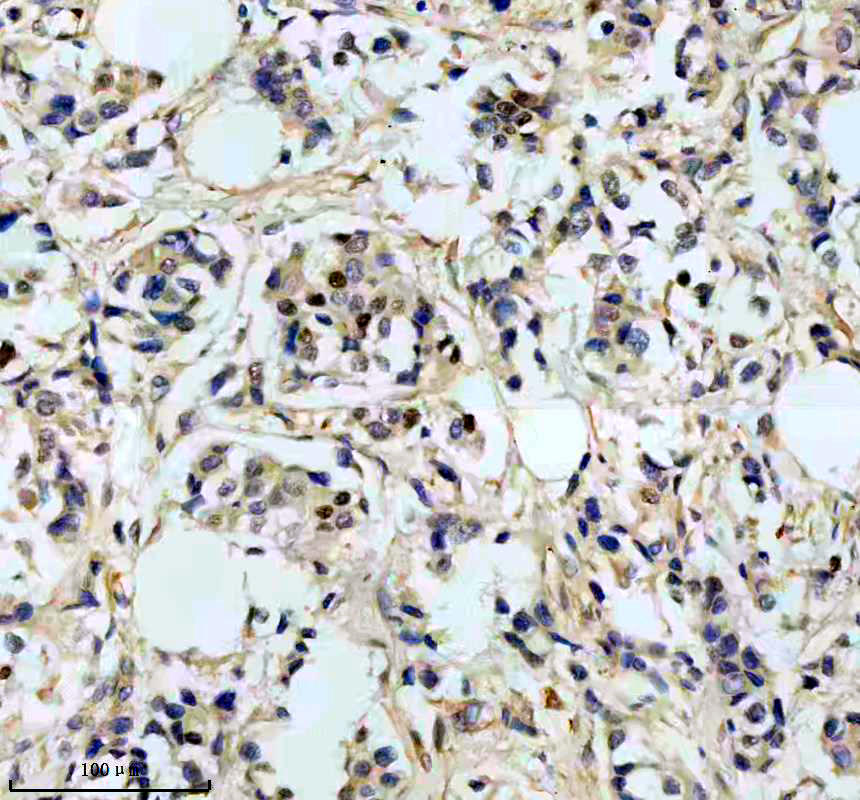
IHC analysis of TIMELESS using anti-TIMELESS antibody (M00831) . 
TIMELESS was detected in a paraffin-embedded section of human breast cancer tissue. The tissue section was incubated with rabbit anti-TIMELESS Antibody (M00831) at a dilution of 1:200 and developed using HRP Conjugated Rabbit IgG Super Vision Assay Kit (Catalog # SV0002) with DAB (Catalog # AR1027) as the chromogen.



