| Western blot (WB): | 1:500-2000 |
| Immunohistochemistry (IHC): | 1:50-400 |
| (Boiling the paraffin sections in 10mM citrate buffer,pH6.0,or PH8.0 EDTA repair liquid for 20 mins is required for the staining of formalin/paraffin sections.) Optimal working dilutions must be determined by end user. | |

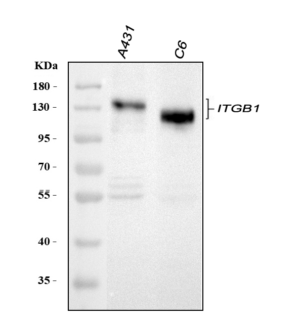
Western blot analysis of anti- ITGB1 antibody (PB9086). The sample well of each lane was loaded with 30ug of sample under reducing conditions.
Lane 1: human A431 whole cell lysates,
Lane 2: rat C6 whole cell lysates.
Use rabbit anti- ITGB1 1:1000, probed with a goat anti-rabbit IgG-HRP secondary antibody. The signal is developed using an Enhanced Chemiluminescent detection (ECL) kit (Catalog#EK1002). A specific band was detected for ITGB1 at approximately 120-130KD. The expected band size for ITGB1 is at 88KD.

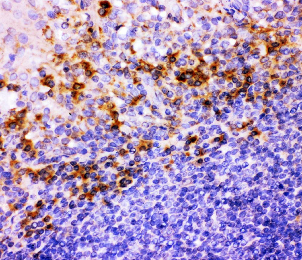
IHC analysis of Integrin Beta 1/ITGB1 using anti-Integrin Beta 1/ITGB1 antibody (PB9086).
Integrin Beta 1/ITGB1 was detected in a paraffin-embedded section of human tonsil tissue. Biotinylated goat anti-rabbit IgG was used as secondary antibody. The tissue section was incubated with rabbit anti-Integrin Beta 1/ITGB1 Antibody (PB9086) at a dilution of 1:200 and developed using Strepavidin-Biotin-Complex (SABC) (Catalog # SA1022) with DAB (Catalog # AR1027) as the chromogen.

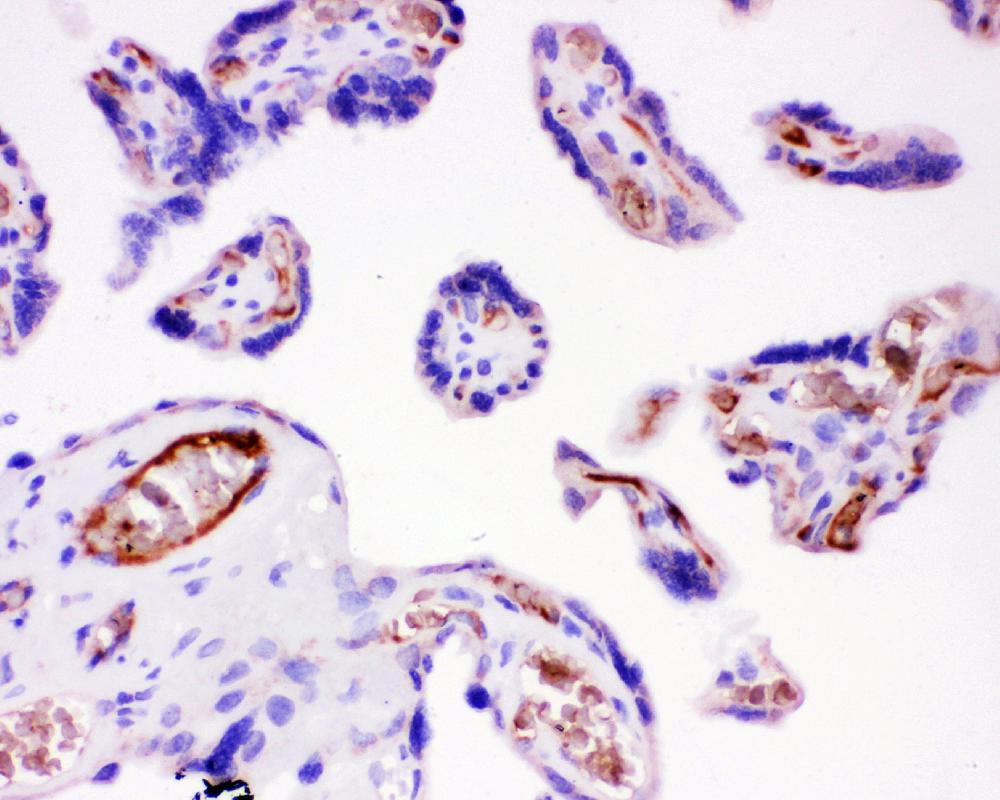
IHC analysis of Integrin Beta 1/ITGB1 using anti-Integrin Beta 1/ITGB1 antibody (PB9086).
Integrin Beta 1/ITGB1 was detected in a paraffin-embedded section of human placenta tissue. Biotinylated goat anti-rabbit IgG was used as secondary antibody. The tissue section was incubated with rabbit anti-Integrin Beta 1/ITGB1 Antibody (PB9086) at a dilution of 1:200 and developed using Strepavidin-Biotin-Complex (SABC) (Catalog # SA1022) with DAB (Catalog # AR1027) as the chromogen.

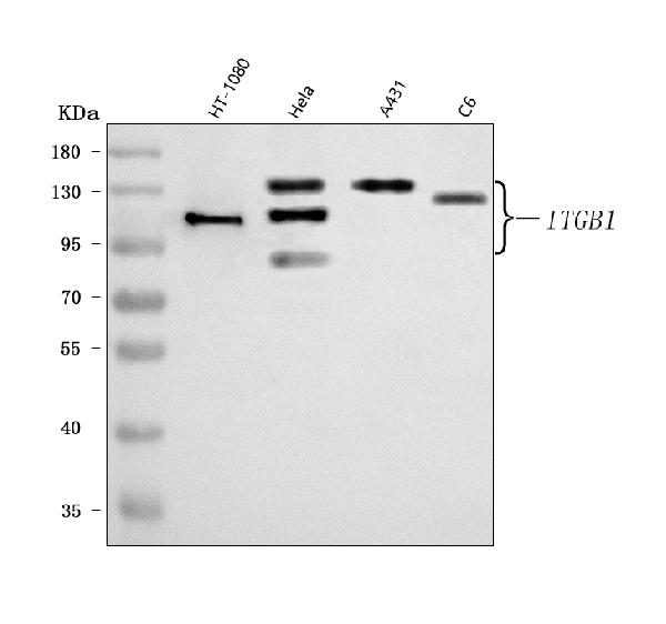
Western blot analysis of anti- ITGB1 antibody (PB9086). The sample well of each lane was loaded with 30ug of sample under reducing conditions.
Lane 1: human A431 whole cell lysates,
Lane 2: rat C6 whole cell lysates.
Use rabbit anti- ITGB1 1:1000, probed with a goat anti-rabbit IgG-HRP secondary antibody. The signal is developed using an Enhanced Chemiluminescent detection (ECL) kit (Catalog#EK1002). A specific band was detected for ITGB1 at approximately 120-130KD. The expected band size for ITGB1 is at 88KD.

IHC analysis of Integrin Beta 1/ITGB1 using anti-Integrin Beta 1/ITGB1 antibody (PB9086).
Integrin Beta 1/ITGB1 was detected in a paraffin-embedded section of human tonsil tissue. Biotinylated goat anti-rabbit IgG was used as secondary antibody. The tissue section was incubated with rabbit anti-Integrin Beta 1/ITGB1 Antibody (PB9086) at a dilution of 1:200 and developed using Strepavidin-Biotin-Complex (SABC) (Catalog # SA1022) with DAB (Catalog # AR1027) as the chromogen.

IHC analysis of Integrin Beta 1/ITGB1 using anti-Integrin Beta 1/ITGB1 antibody (PB9086).
Integrin Beta 1/ITGB1 was detected in a paraffin-embedded section of human placenta tissue. Biotinylated goat anti-rabbit IgG was used as secondary antibody. The tissue section was incubated with rabbit anti-Integrin Beta 1/ITGB1 Antibody (PB9086) at a dilution of 1:200 and developed using Strepavidin-Biotin-Complex (SABC) (Catalog # SA1022) with DAB (Catalog # AR1027) as the chromogen.


