| Western blot (WB): | 1:500-2000 |
| Immunohistochemistry (IHC): | 1:50-400 |
| Immunocytochemistry/Immunofluorescence (ICC/IF): | 1:50-400 |
| Immunofluorescence (IF): | 1:50-400 |
| (Boiling the paraffin sections in 10mM citrate buffer,pH6.0,or PH8.0 EDTA repair liquid for 20 mins is required for the staining of formalin/paraffin sections.) Optimal working dilutions must be determined by end user. | |

Western blot analysis of TFAM using anti-TFAM antibody (BA2827). The sample well of each lane was loaded with 30 ug of sample under reducing conditions.
Lane 1: human 293T whole cell lysates,
Lane 2: human K562 whole cell lysates,
Lane 3: human Caco-2 whole cell lysates,
Lane 4: human Raji whole cell lysates.
After electrophoresis, proteins were transferred to a membrane. Then the membrane was incubated with rabbit anti-TFAM antigen affinity purified polyclonal antibody (BA2827) at a dilution of 1:1000 and probed with a goat anti-rabbit IgG-HRP secondary antibody (Catalog # BA1054). The signal is developed using ECL Plus Western Blotting Substrate (Catalog # AR1197). A specific band was detected for TFAM at approximately 24 kDa. The expected band size for TFAM is at 29 kDa.

IHC analysis of TFAM using anti-TFAM antibody (BA2827) .
TFAM was detected in a paraffin-embedded section of human breast cancer tissue. The tissue section was incubated with rabbit anti-TFAM Antibody (BA2827) at a dilution of 1:200 and developed using HRP Conjugated Rabbit IgG Super Vision Assay Kit (Catalog # SV0002) with DAB (Catalog # AR1027) as the chromogen.

IHC analysis of TFAM using anti-TFAM antibody (BA2827) .
TFAM was detected in a paraffin-embedded section of human intestinal diffuse large B-cell lymphoma tissue. The tissue section was incubated with rabbit anti-TFAM Antibody (BA2827) at a dilution of 1:200 and developed using HRP Conjugated Rabbit IgG Super Vision Assay Kit (Catalog # SV0002) with DAB (Catalog # AR1027) as the chromogen.

IHC analysis of TFAM using anti-TFAM antibody (BA2827) .
TFAM was detected in a paraffin-embedded section of human ovarian serous adenocarcinoma tissue. The tissue section was incubated with rabbit anti-TFAM Antibody (BA2827) at a dilution of 1:200 and developed using HRP Conjugated Rabbit IgG Super Vision Assay Kit (Catalog # SV0002) with DAB (Catalog # AR1027) as the chromogen.

IHC analysis of TFAM using anti-TFAM antibody (BA2827) .
TFAM was detected in a paraffin-embedded section of human tonsil tissue. The tissue section was incubated with rabbit anti-TFAM Antibody (BA2827) at a dilution of 1:200 and developed using HRP Conjugated Rabbit IgG Super Vision Assay Kit (Catalog # SV0002) with DAB (Catalog # AR1027) as the chromogen.

IHC analysis of TFAM using anti-TFAM antibody (BA2827) .
TFAM was detected in a paraffin-embedded section of human intestinal diffuse large B-cell lymphoma tissue. The tissue section was incubated with rabbit anti-TFAM Antibody (BA2827) at a dilution of 1:200 and developed using HRP Conjugated Rabbit IgG Super Vision Assay Kit (Catalog # SV0002) with DAB (Catalog # AR1027) as the chromogen.

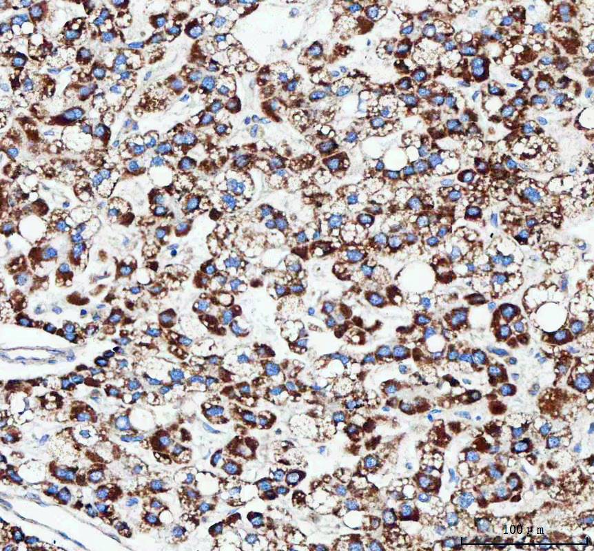
IHC analysis of TFAM using anti-TFAM antibody (BA2827) .
TFAM was detected in a paraffin-embedded section of human liver cancer tissue. The tissue section was incubated with rabbit anti-TFAM Antibody (BA2827) at a dilution of 1:200 and developed using HRP Conjugated Rabbit IgG Super Vision Assay Kit (Catalog # SV0002) with DAB (Catalog # AR1027) as the chromogen.

IHC analysis of TFAM using anti-TFAM antibody (BA2827) .
TFAM was detected in a paraffin-embedded section of human lung adenocarcinoma tissue. The tissue section was incubated with rabbit anti-TFAM Antibody (BA2827) at a dilution of 1:200 and developed using HRP Conjugated Rabbit IgG Super Vision Assay Kit (Catalog # SV0002) with DAB (Catalog # AR1027) as the chromogen.

IHC analysis of TFAM using anti-TFAM antibody (BA2827) .
TFAM was detected in a paraffin-embedded section of human Colorectal adenocarcinoma tissue. The tissue section was incubated with rabbit anti-TFAM Antibody (BA2827) at a dilution of 1:200 and developed using HRP Conjugated Rabbit IgG Super Vision Assay Kit (Catalog # SV0002) with DAB (Catalog # AR1027) as the chromogen.

ICC/IF analysis of TFAM using anti-TFAM antibody (BA2827).
TFAM was detected in an immunocytochemical section of U2OS cells. The section was incubated with rabbit anti-TFAM Antibody (BA2827) at a dilution of 1:100. Fluoro488 Conjugated Goat Anti-Rabbit IgG (Green) (Catalog # BA1127) was used as secondary antibody. The section was counterstained with DAPI (Catalog # AR1176) (Blue).

IF analysis of TFAM using anti-TFAM antibody (BA2827).
TFAM was detected in a paraffin-embedded section of human intestinal cancer tissue. The tissue section was incubated with rabbit anti-TFAM Antibody (BA2827) at a dilution of 1:100. Cy3-conjugated Anti-rabbit IgG Secondary Antibody (red)(Catalog#BA1032) was used as secondary antibody. The section was counterstained with DAPI (Catalog # AR1176) (Blue).

IF analysis of TFAM using anti-TFAM antibody (BA2827).
TFAM was detected in a paraffin-embedded section of human breast cancer tissue. The tissue section was incubated with rabbit anti-TFAM Antibody (BA2827) at a dilution of 1:100. Cy3-conjugated Anti-rabbit IgG Secondary Antibody (red)(Catalog#BA1032) was used as secondary antibody. The section was counterstained with DAPI (Catalog # AR1176) (Blue).

Western blot analysis of TFAM using anti-TFAM antibody (BA2827). The sample well of each lane was loaded with 30 ug of sample under reducing conditions.
Lane 1: human 293T whole cell lysates,
Lane 2: human K562 whole cell lysates,
Lane 3: human Caco-2 whole cell lysates,
Lane 4: human Raji whole cell lysates.
After electrophoresis, proteins were transferred to a membrane. Then the membrane was incubated with rabbit anti-TFAM antigen affinity purified polyclonal antibody (BA2827) at a dilution of 1:1000 and probed with a goat anti-rabbit IgG-HRP secondary antibody (Catalog # BA1054). The signal is developed using ECL Plus Western Blotting Substrate (Catalog # AR1197). A specific band was detected for TFAM at approximately 24 kDa. The expected band size for TFAM is at 29 kDa.

IHC analysis of TFAM using anti-TFAM antibody (BA2827) .
TFAM was detected in a paraffin-embedded section of human breast cancer tissue. The tissue section was incubated with rabbit anti-TFAM Antibody (BA2827) at a dilution of 1:200 and developed using HRP Conjugated Rabbit IgG Super Vision Assay Kit (Catalog # SV0002) with DAB (Catalog # AR1027) as the chromogen.

IHC analysis of TFAM using anti-TFAM antibody (BA2827) .
TFAM was detected in a paraffin-embedded section of human intestinal diffuse large B-cell lymphoma tissue. The tissue section was incubated with rabbit anti-TFAM Antibody (BA2827) at a dilution of 1:200 and developed using HRP Conjugated Rabbit IgG Super Vision Assay Kit (Catalog # SV0002) with DAB (Catalog # AR1027) as the chromogen.

IHC analysis of TFAM using anti-TFAM antibody (BA2827) .
TFAM was detected in a paraffin-embedded section of human ovarian serous adenocarcinoma tissue. The tissue section was incubated with rabbit anti-TFAM Antibody (BA2827) at a dilution of 1:200 and developed using HRP Conjugated Rabbit IgG Super Vision Assay Kit (Catalog # SV0002) with DAB (Catalog # AR1027) as the chromogen.

IHC analysis of TFAM using anti-TFAM antibody (BA2827) .
TFAM was detected in a paraffin-embedded section of human tonsil tissue. The tissue section was incubated with rabbit anti-TFAM Antibody (BA2827) at a dilution of 1:200 and developed using HRP Conjugated Rabbit IgG Super Vision Assay Kit (Catalog # SV0002) with DAB (Catalog # AR1027) as the chromogen.

IHC analysis of TFAM using anti-TFAM antibody (BA2827) .
TFAM was detected in a paraffin-embedded section of human intestinal diffuse large B-cell lymphoma tissue. The tissue section was incubated with rabbit anti-TFAM Antibody (BA2827) at a dilution of 1:200 and developed using HRP Conjugated Rabbit IgG Super Vision Assay Kit (Catalog # SV0002) with DAB (Catalog # AR1027) as the chromogen.

IHC analysis of TFAM using anti-TFAM antibody (BA2827) .
TFAM was detected in a paraffin-embedded section of human liver cancer tissue. The tissue section was incubated with rabbit anti-TFAM Antibody (BA2827) at a dilution of 1:200 and developed using HRP Conjugated Rabbit IgG Super Vision Assay Kit (Catalog # SV0002) with DAB (Catalog # AR1027) as the chromogen.

IHC analysis of TFAM using anti-TFAM antibody (BA2827) .
TFAM was detected in a paraffin-embedded section of human lung adenocarcinoma tissue. The tissue section was incubated with rabbit anti-TFAM Antibody (BA2827) at a dilution of 1:200 and developed using HRP Conjugated Rabbit IgG Super Vision Assay Kit (Catalog # SV0002) with DAB (Catalog # AR1027) as the chromogen.

IHC analysis of TFAM using anti-TFAM antibody (BA2827) .
TFAM was detected in a paraffin-embedded section of human Colorectal adenocarcinoma tissue. The tissue section was incubated with rabbit anti-TFAM Antibody (BA2827) at a dilution of 1:200 and developed using HRP Conjugated Rabbit IgG Super Vision Assay Kit (Catalog # SV0002) with DAB (Catalog # AR1027) as the chromogen.

ICC/IF analysis of TFAM using anti-TFAM antibody (BA2827).
TFAM was detected in an immunocytochemical section of U2OS cells. The section was incubated with rabbit anti-TFAM Antibody (BA2827) at a dilution of 1:100. Fluoro488 Conjugated Goat Anti-Rabbit IgG (Green) (Catalog # BA1127) was used as secondary antibody. The section was counterstained with DAPI (Catalog # AR1176) (Blue).

IF analysis of TFAM using anti-TFAM antibody (BA2827).
TFAM was detected in a paraffin-embedded section of human intestinal cancer tissue. The tissue section was incubated with rabbit anti-TFAM Antibody (BA2827) at a dilution of 1:100. Cy3-conjugated Anti-rabbit IgG Secondary Antibody (red)(Catalog#BA1032) was used as secondary antibody. The section was counterstained with DAPI (Catalog # AR1176) (Blue).

IF analysis of TFAM using anti-TFAM antibody (BA2827).
TFAM was detected in a paraffin-embedded section of human breast cancer tissue. The tissue section was incubated with rabbit anti-TFAM Antibody (BA2827) at a dilution of 1:100. Cy3-conjugated Anti-rabbit IgG Secondary Antibody (red)(Catalog#BA1032) was used as secondary antibody. The section was counterstained with DAPI (Catalog # AR1176) (Blue).











