| Western blot (WB): | 1:500-2000 |
| Immunohistochemistry (IHC): | 1:50-400 |
| Flow Cytometry (Fixed): | 1:50-200 |
| (Boiling the paraffin sections in 10mM citrate buffer,pH6.0,or PH8.0 EDTA repair liquid for 20 mins is required for the staining of formalin/paraffin sections.) Optimal working dilutions must be determined by end user. | |

Western blot analysis of Vinculin/VCL using anti-Vinculin/VCL antibody (BA2934). The sample well of each lane was loaded with 30 ug of sample under reducing conditions.
Lane 1: human Hela whole cell lysates,
Lane 2: human HepG2 whole cell lysates,
Lane 3: human HEK293 whole cell lysates,
Lane 4: human Jurkat whole cell lysates,
Lane 5: rat PC-12 whole cell lysates,
Lane 6: mouse NIH/3T3 whole cell lysates.
After electrophoresis, proteins were transferred to a membrane. Then the membrane was incubated with rabbit anti-Vinculin/VCL antigen affinity purified polyclonal antibody (BA2934) at a dilution of 1:1000 and probed with a goat anti-rabbit IgG-HRP secondary antibody (Catalog # BA1054). The signal is developed using ECL Plus Western Blotting Substrate (Catalog # AR1197). A specific band was detected for Vinculin/VCL at approximately 124 kDa. The expected band size for Vinculin/VCL is at 124 kDa.

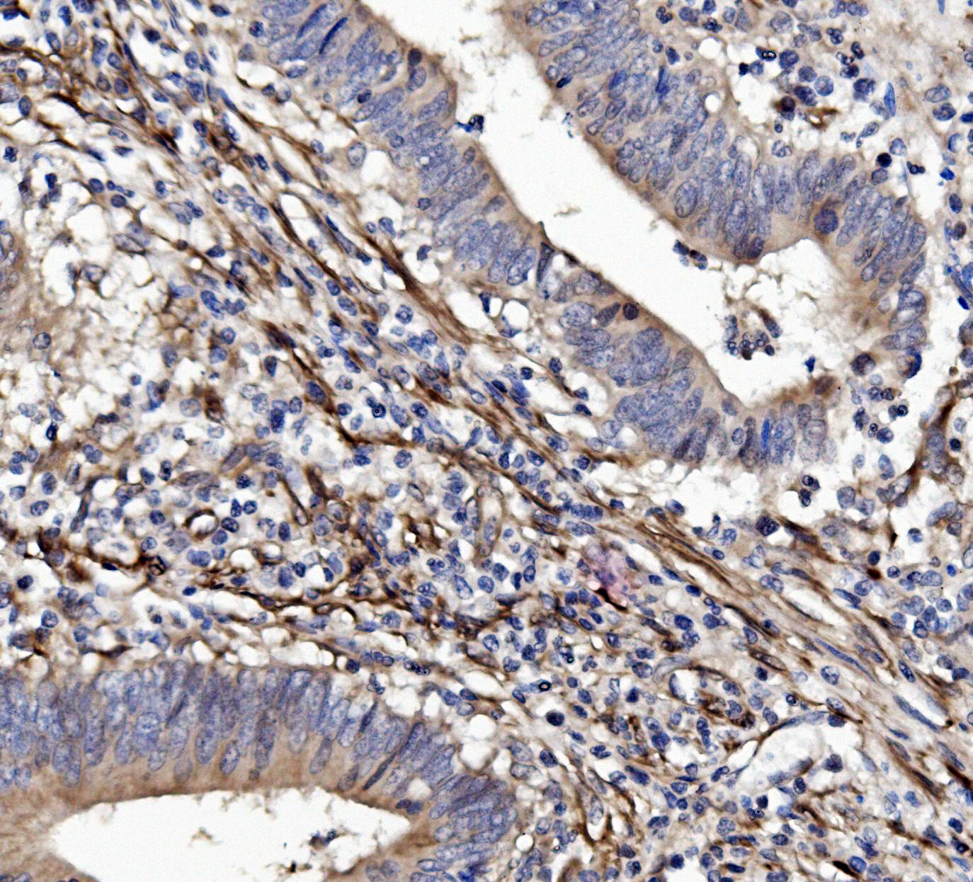
IHC analysis of Vinculin/VCL using anti-Vinculin/VCL antibody (BA2934).
Vinculin/VCL was detected in a paraffin-embedded section of human rectal cancer tissue. Biotinylated goat anti-rabbit IgG was used as secondary antibody. The tissue section was incubated with rabbit anti-Vinculin/VCL Antibody (BA2934) at a dilution of 1:200 and developed using Strepavidin-Biotin-Complex (SABC) (Catalog # SA1022) with DAB (Catalog # AR1027) as the chromogen.

Flow cytometry analysis of HEPG2 cell (1:100) Fluoro 488 conjugated goat anti- rabbit IgG(blue) was used as secondary antibody. Isotype control antibody (Green line) was rabbit IgG Fluoro 488. Unlabelled sample (Red line).

Western blot analysis of Vinculin/VCL using anti-Vinculin/VCL antibody (BA2934). The sample well of each lane was loaded with 30 ug of sample under reducing conditions.
Lane 1: human Hela whole cell lysates,
Lane 2: human HepG2 whole cell lysates,
Lane 3: human HEK293 whole cell lysates,
Lane 4: human Jurkat whole cell lysates,
Lane 5: rat PC-12 whole cell lysates,
Lane 6: mouse NIH/3T3 whole cell lysates.
After electrophoresis, proteins were transferred to a membrane. Then the membrane was incubated with rabbit anti-Vinculin/VCL antigen affinity purified polyclonal antibody (BA2934) at a dilution of 1:1000 and probed with a goat anti-rabbit IgG-HRP secondary antibody (Catalog # BA1054). The signal is developed using ECL Plus Western Blotting Substrate (Catalog # AR1197). A specific band was detected for Vinculin/VCL at approximately 124 kDa. The expected band size for Vinculin/VCL is at 124 kDa.

IHC analysis of Vinculin/VCL using anti-Vinculin/VCL antibody (BA2934).
Vinculin/VCL was detected in a paraffin-embedded section of human rectal cancer tissue. Biotinylated goat anti-rabbit IgG was used as secondary antibody. The tissue section was incubated with rabbit anti-Vinculin/VCL Antibody (BA2934) at a dilution of 1:200 and developed using Strepavidin-Biotin-Complex (SABC) (Catalog # SA1022) with DAB (Catalog # AR1027) as the chromogen.

Flow cytometry analysis of HEPG2 cell (1:100) Fluoro 488 conjugated goat anti- rabbit IgG(blue) was used as secondary antibody. Isotype control antibody (Green line) was rabbit IgG Fluoro 488. Unlabelled sample (Red line).


