| Western blot (WB): | 1:500-2000 |
| Immunohistochemistry (IHC): | 1:50-400 |
| Immunofluorescence (IF): | 1:50-400 |
| (Boiling the paraffin sections in 10mM citrate buffer,pH6.0,or PH8.0 EDTA repair liquid for 20 mins is required for the staining of formalin/paraffin sections.) Optimal working dilutions must be determined by end user. | |

Western blot analysis of anti- Vinculin antibody (BM1611). The sample well of each lane was loaded with 50ug of sample under reducing conditions.
Lane 1: Hela whole cell lysates,
Lane 2: HepG2 whole cell lysates,
Lane 3: monkey COS-7 whole cell lysates,
Lane 4: U-87MG whole cell lysates,
Lane 5: rat heart tissue lysates,
Lane 6: rat PC-12 whole cell lysates,
Lane 7: mouse heart tissue lysates,
Lane 8: mouse NIH/3T3 whole cell lysates.
Use mouse anti- Vinculin 1:1000, probed with a goat anti-mouse IgG-HRP secondary antibody. The signal is developed using an Enhanced Chemiluminescent detection (ECL) kit (Catalog # EK1001). A specific band was detected for Vinculin at approximately 124KD. The expected band size for Vinculin is at 124KD.

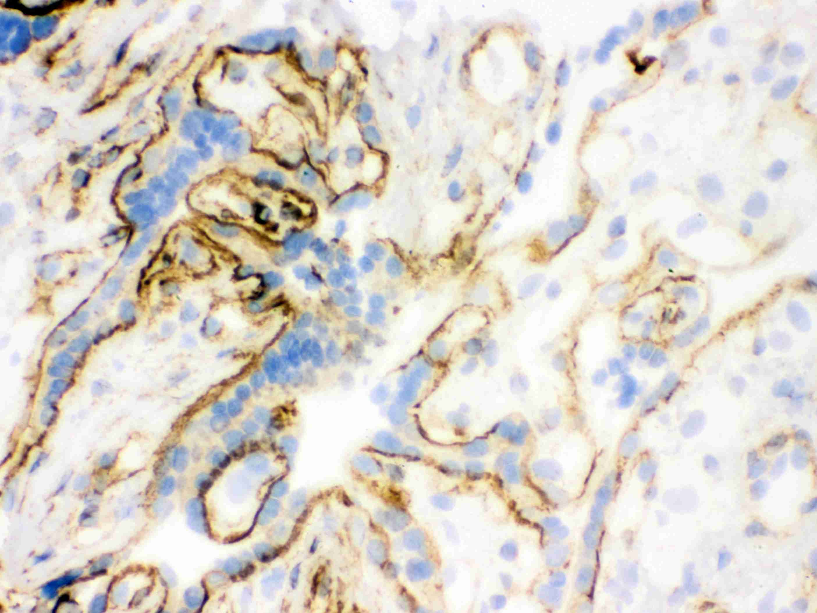
IHC analysis of Vinculin using anti-Vinculin antibody (BM1611).
Vinculin was detected in frozen section of human placenta tissues. The tissue section was blocked with 10% goat serum. The tissue section was then incubated with 1μg/ml rabbit anti-Vinculin Antibody (BM1611) overnight at 4°C. Biotinylated goat anti- mouse IgG was used as secondary antibody and incubated for 30 minutes at 37°C. The tissue section was developed using Strepavidin-Biotin-Complex (SABC)(Catalog # SA1021) with DAB as the chromogen.

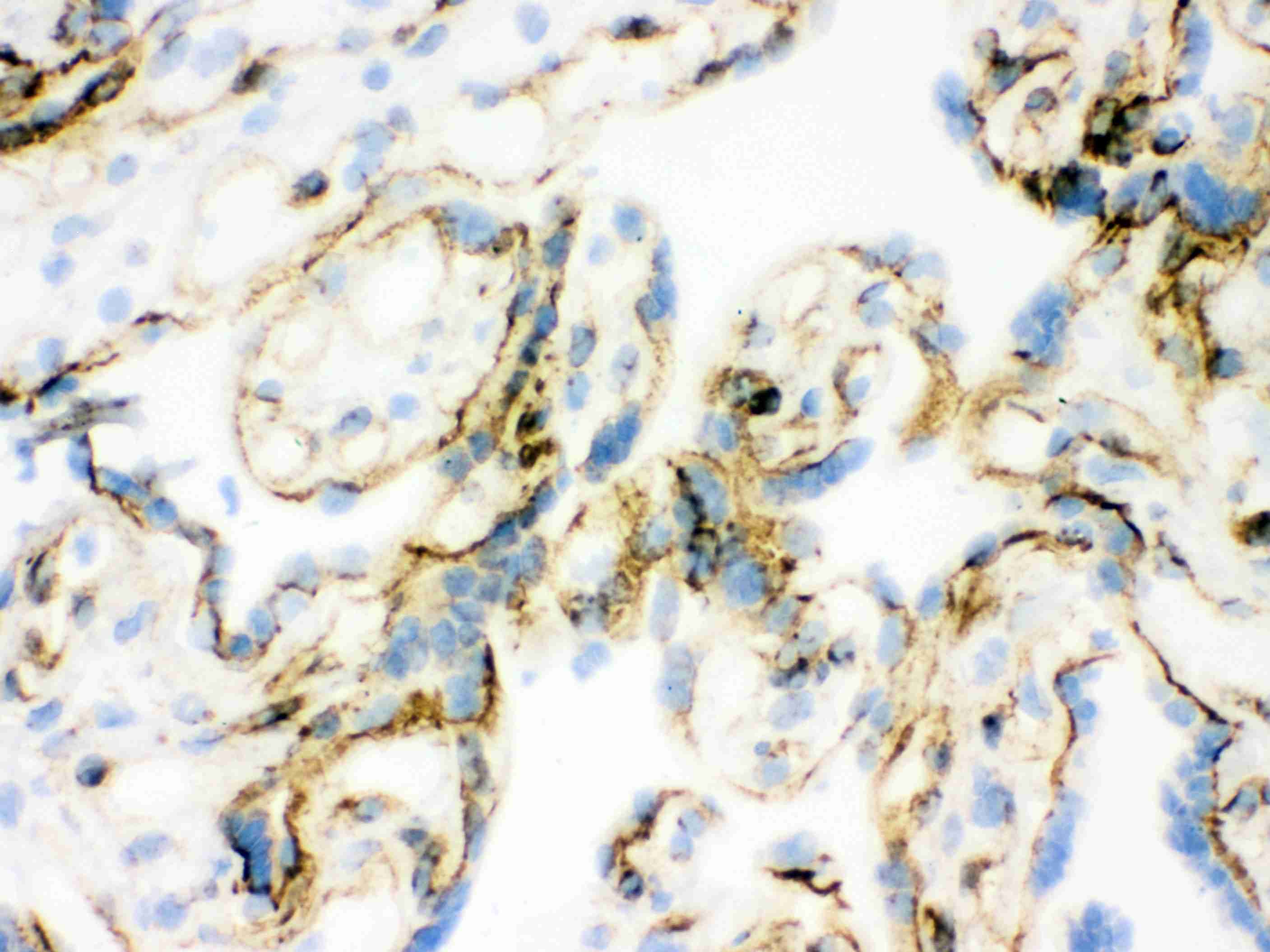
IHC analysis of Vinculin using anti-Vinculin antibody (BM1611).
Vinculin was detected in frozen section of human placenta tissues. The tissue section was blocked with 10% goat serum. The tissue section was then incubated with 1μg/ml rabbit anti-Vinculin Antibody (BM1611) overnight at 4°C. Biotinylated goat anti- mouse IgG was used as secondary antibody and incubated for 30 minutes at 37°C. The tissue section was developed using Strepavidin-Biotin-Complex (SABC)(Catalog # SA1021) with DAB as the chromogen.

IF analysis of Vinculin using anti- Vinculin antibody (BM1611).
Vinculin was detected in immunocytochemical section of human mammary cancer cell. Enzyme antigen retrieval was performed using IHC enzyme antigen retrieval reagent (AR0022) for 15 mins. The cells were blocked with 10% goat serum. And then incubated with 2μg/mL mouse anti- Vinculin Antibody (BM1611) overnight at 4°C. Fluoro488 Conjugated Goat Anti-Mouse IgG (BA1126) was used as secondary antibody at 1:100 dilution and incubated for 30 minutes at 37°C. The section was counterstained with DAPI. Visualize using a fluorescence microscope and filter sets appropriate for the label used.

Western blot analysis of anti- Vinculin antibody (BM1611). The sample well of each lane was loaded with 50ug of sample under reducing conditions.
Lane 1: Hela whole cell lysates,
Lane 2: HepG2 whole cell lysates,
Lane 3: monkey COS-7 whole cell lysates,
Lane 4: U-87MG whole cell lysates,
Lane 5: rat heart tissue lysates,
Lane 6: rat PC-12 whole cell lysates,
Lane 7: mouse heart tissue lysates,
Lane 8: mouse NIH/3T3 whole cell lysates.
Use mouse anti- Vinculin 1:1000, probed with a goat anti-mouse IgG-HRP secondary antibody. The signal is developed using an Enhanced Chemiluminescent detection (ECL) kit (Catalog # EK1001). A specific band was detected for Vinculin at approximately 124KD. The expected band size for Vinculin is at 124KD.

IHC analysis of Vinculin using anti-Vinculin antibody (BM1611).
Vinculin was detected in frozen section of human placenta tissues. The tissue section was blocked with 10% goat serum. The tissue section was then incubated with 1μg/ml rabbit anti-Vinculin Antibody (BM1611) overnight at 4°C. Biotinylated goat anti- mouse IgG was used as secondary antibody and incubated for 30 minutes at 37°C. The tissue section was developed using Strepavidin-Biotin-Complex (SABC)(Catalog # SA1021) with DAB as the chromogen.

IHC analysis of Vinculin using anti-Vinculin antibody (BM1611).
Vinculin was detected in frozen section of human placenta tissues. The tissue section was blocked with 10% goat serum. The tissue section was then incubated with 1μg/ml rabbit anti-Vinculin Antibody (BM1611) overnight at 4°C. Biotinylated goat anti- mouse IgG was used as secondary antibody and incubated for 30 minutes at 37°C. The tissue section was developed using Strepavidin-Biotin-Complex (SABC)(Catalog # SA1021) with DAB as the chromogen.

IF analysis of Vinculin using anti- Vinculin antibody (BM1611).
Vinculin was detected in immunocytochemical section of human mammary cancer cell. Enzyme antigen retrieval was performed using IHC enzyme antigen retrieval reagent (AR0022) for 15 mins. The cells were blocked with 10% goat serum. And then incubated with 2μg/mL mouse anti- Vinculin Antibody (BM1611) overnight at 4°C. Fluoro488 Conjugated Goat Anti-Mouse IgG (BA1126) was used as secondary antibody at 1:100 dilution and incubated for 30 minutes at 37°C. The section was counterstained with DAPI. Visualize using a fluorescence microscope and filter sets appropriate for the label used.



