| Western blot (WB): | 1:500-2000 |
| Flow Cytometry (Fixed): | 1:50-200 |

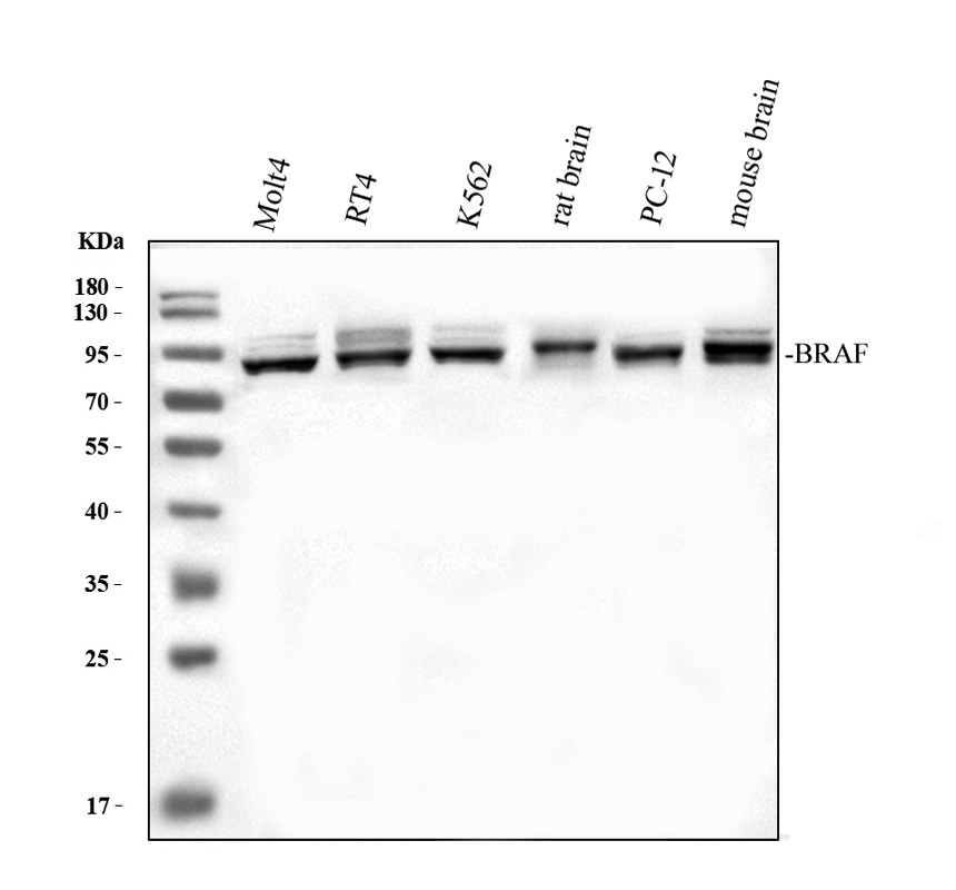
Western blot analysis of BRAF using anti-BRAF antibody (BA2958-2). The sample well of each lane was loaded with 30 ug of sample under reducing conditions.
Lane 1: human MOLT4 whole cell lysates,
Lane 2: human RT4 whole cell lysates,
Lane 3: human K562 whole cell lysates,
Lane 4: rat brain tissue lysates.
Lane 5: rat PC-12 whole cell lysates,
Lane 6: mouse brain tissue lysates.
After electrophoresis, proteins were transferred to a membrane. Then the membrane was incubated with rabbit anti-BRAF antigA03957-Aen affinity purified polyclonal antibody (BA2958-2) at a dilution of 1:1000 and probed with a goat anti-rabbit IgG-HRP secondary antibody (Catalog # BA1054). The signal is developed using ECL Plus Western Blotting Substrate (Catalog # AR1197). A specific band was detected for BRAF at approximately 84 kDa. The expected band size for BRAF is at 84 kDa.

Flow Cytometry analysis of U937 cells using anti-BRAF antibody (BA2958-2).
Overlay histogram showing U937 cells stained with BA2958-2 (Blue line). To facilitate intrMyelin basic protein/MBPllular staining, cells were fixed with 4% paraformaldehyde and permeabilized with permeabilization buffer. The cells were blocked with 10% normal goat serum. And then incubated with rabbit anti-BRAF Antibody (BA2958-2) at 1:100 dilution for 30 min at 20°C. DyLight®488 conjugated goat anti-rabbit IgG (BA1127) was used as secondary antibody at 1:100 dilution for 30 minutes at 20°C. Isotype control antibody (Green line) was rabbit IgG at 1:100 dilution used under the same conditions. Unlabelled sample without incubation with primary antibody and secondary antibody (Red line) was used as a blank control.

Western blot analysis of BRAF using anti-BRAF antibody (BA2958-2). The sample well of each lane was loaded with 30 ug of sample under reducing conditions.
Lane 1: human MOLT4 whole cell lysates,
Lane 2: human RT4 whole cell lysates,
Lane 3: human K562 whole cell lysates,
Lane 4: rat brain tissue lysates.
Lane 5: rat PC-12 whole cell lysates,
Lane 6: mouse brain tissue lysates.
After electrophoresis, proteins were transferred to a membrane. Then the membrane was incubated with rabbit anti-BRAF antigA03957-Aen affinity purified polyclonal antibody (BA2958-2) at a dilution of 1:1000 and probed with a goat anti-rabbit IgG-HRP secondary antibody (Catalog # BA1054). The signal is developed using ECL Plus Western Blotting Substrate (Catalog # AR1197). A specific band was detected for BRAF at approximately 84 kDa. The expected band size for BRAF is at 84 kDa.

Flow Cytometry analysis of U937 cells using anti-BRAF antibody (BA2958-2).
Overlay histogram showing U937 cells stained with BA2958-2 (Blue line). To facilitate intrMyelin basic protein/MBPllular staining, cells were fixed with 4% paraformaldehyde and permeabilized with permeabilization buffer. The cells were blocked with 10% normal goat serum. And then incubated with rabbit anti-BRAF Antibody (BA2958-2) at 1:100 dilution for 30 min at 20°C. DyLight®488 conjugated goat anti-rabbit IgG (BA1127) was used as secondary antibody at 1:100 dilution for 30 minutes at 20°C. Isotype control antibody (Green line) was rabbit IgG at 1:100 dilution used under the same conditions. Unlabelled sample without incubation with primary antibody and secondary antibody (Red line) was used as a blank control.

