欢迎访问博士德生物官网! 服务热线:027-67845390 |
您当前的位置: 首页 > 产品中心 > 一抗 > 重组兔单抗

Anti-Histone H4 (acetyl K5) Antibody (Clone#CCA-8)

Rabbit monoclonal antibody

说明书 一键复制产品信息

筛选器: All WB IHC ICC/IF IP

BM4189

  • 50μl ¥1280 100μl ¥2180 150μl ¥2800
  • 货期: 5-7天
  • Western blot analysis of Histone H4 (acetyl K5) expression in (1) Untreated HeLa HeLa cell lysate; (2) TSA treated HeLa cell lysate.

    all(4)
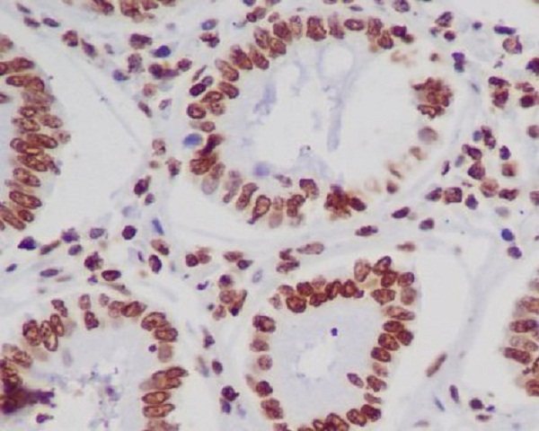
  • Immunohistochemical analysis of paraffin-embedded human colon, using Histone H4 (acetyl K5) Antibody.

    all(4)

产品简介 实验方案 引用文献 相关产品

产品简介>

产品名称
Anti-Histone H4 (acetyl K5) Antibody (Clone#CCA-8)
规格/价格
50μl|1280 100μl|2180 150μl|2800
指标别称
Histone H4; HIST1H4A; H4/A; H4FA; HIST1H4B; H4/I; H4FI; HIST1H4C; H4/G; H4FG; HIST1H4D; H4/B; H4FB; HIST1H4E; H4/J; H4FJ; HIST1H4F; H4/C; H4FC; HIST1H4H; H4/H; H4FH; HIST1H4I; H4/M; H4FM; HIST1H4J; H4/E; H4FE; HIST1H4K; H4/D; H4FD; HIST1H4L; H4/K; H4FK
产品类型
Monoclonal
检验物种
human, mouse, rat
应用范围
WB, IHC, ICC/IF, IP
基因名称
H4C1/H4C2/H4C3/H4C4/H4C5/H4C6/H4C8/H4C9/H4C11/H4C12/H4C13/H4C14/H4C15/H4C16
克隆号
CCA-8
宿主
Rabbit
抗体亚型
IgG
免疫原
A synthesized peptide derived from human Histone H4 (acetyl K5) Histones are basic nuclear proteins that are responsible for the nucleosome structure of the chromosomal fiber in eukaryotes. This structure consists of approximately 146 bp of DNA wrapped around a nucleosome, an octamer composed of pairs of each of the four core histones (H2A, H2B, H3, and H4) . The chromatin fiber is further compacted through the interaction of a linker histone, H1, with the DNA between the nucleosomes to form higher order chromatin structures.
计算分子量
11 kDa
实际分子量
11 kDa
成分
500 ug/ml; Rabbit IgG in phosphate buffered saline, pH 7.4, 150mM NaCl, 0.02% sodium azide, 0.4-0.5 mg/ml BSA and 50% glycerol.
纯化方式
Affinity-chromatography
浓度
500 ug/ml
产品形态
Liquid
保存条件
12 months from date of receipt,-20℃ as supplied.
背景资料
Histones are the main constituents of the protein part of chromosomes of eukaryotic cells. They are rich in the amino acids arginine and lysine and have been greatly conserved during evolution. Histones pack the DNA into tight masses of chromatin. Two core histones of each class H2A, H2B, H3 and H4 assemble and are wrapped by 146 base pairs of DNA to form one octameric nucleosome. Histone tails undergo numerous post-translational modifications, which either directly or indirectly alter chromatin structure to facilitate transcriptional activation or repression or other nuclear processes. In addition to the genetic code, combinations of the different histone modifications reveal the so-called "histone code". Histone methylation and demethylation is dynamically regulated by respectively histone methyl transferases and histone demethylases.
Uniprot ID
P62805  
文献引用格式
Histone H4 (acetyl K5) Antibody (Clone#CCA-8) (Boster Biological Technology, Wuhan, China. Catalog#BM4189)
应用释义
WB-蛋白质免疫印迹法; IHC- 免疫组织化学法; ICC/IF-免疫细胞荧光和免疫细胞化学; FCM-流式细胞术; ELISA-酶联免疫吸附测定; IP-免疫沉淀法; IF-免疫组织荧光法; ChIP-染色质免疫沉淀法;
推荐稀释比
Western blot (WB):1:500-2000
Immunohistochemistry (IHC):1:50-200
Immunocytochemistry/Immunofluorescence (ICC/IF):1:50-200
ImmunoPrecipitation (IP):1:20

实验方案>

实验步骤

引用文献(0)>

    成功添加到购物车

    查看购物车 继续购物

    Anti-Histone H4 (acetyl K5) Antibody (Clone#CCA-8)

    筛选器: All WB IHC ICC/IF IP

    亮暗模式切换
    X
    亮暗模式切换
    X

    在线
    客服

    在线客服
    服务时间:08:30 - 17:30

    点击下列客服在线咨询:

    服务热线

    服务
    热线

    客服服务热线

    027-67845390
    客服服务热线

    扫码

    扫码
    咨询

    微信二维码 微信扫一扫立即咨询
    返回顶部 顶部