| Western blot (WB): | 1:2000-10000 |
| Immunohistochemistry (IHC): | 1:50-200 |
| Immunocytochemistry/Immunofluorescence (ICC/IF): | 1:50-200 |

Western blot analysis of anti-Histone H4 antibody (BM4713). The sample well of each lane was loaded with 30 ug of sample under reducing conditions.
Lane 1: human Hela whole cell lysates,
Lane 2: human PC-3 whole cell lysates,
Lane 3: human U2OS whole cell lysates,
Lane 4: human Hacat whole cell lysates,
Lane 5: rat brain tissue lysates,
Lane 6: rat C6 whole cell lysates,
Lane 7: mouse brain tissue lysates,
Lane 8: mouse 3T3-L1 whole cell lysates.
After electrophoresis, proteins were transferred to a membrane. Then the membrane was incubated with rabbit anti-Histone H4 antigen affinity purified monoclonal antibody (BM4713) at a dilution of 1:1000 and probed with a goat anti-rabbit IgG-HRP secondary antibody (Catalog # BA1054). The signal is developed using ECL Plus Western Blotting Substrate (Catalog # AR1197). A specific band was detected for Histone H4 at approximately 11 kDa. The expected band size for Histone H4 is at 11 kDa.

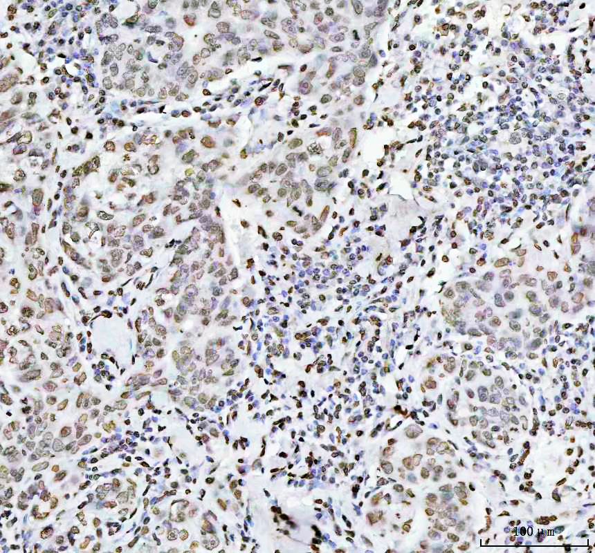
IHC analysis of Histone H4 using anti-Histone H4 antibody (BM4713) .
Histone H4 was detected in a paraffin-embedded section of human breast cancer tissue. The tissue section was incubated with rabbit anti-Histone H4 Antibody (BM4713) at a dilution of 1:200 and developed using HRP Conjugated Rabbit IgG Super Vision Assay Kit (Catalog # SV0002) with DAB (Catalog # AR1027) as the chromogen.

IHC analysis of Histone H4 using anti-Histone H4 antibody (BM4713) .
Histone H4 was detected in a paraffin-embedded section of human colorectal adenocarcinoma tissue. The tissue section was incubated with rabbit anti-Histone H4 Antibody (BM4713) at a dilution of 1:200 and developed using HRP Conjugated Rabbit IgG Super Vision Assay Kit (Catalog # SV0002) with DAB (Catalog # AR1027) as the chromogen.

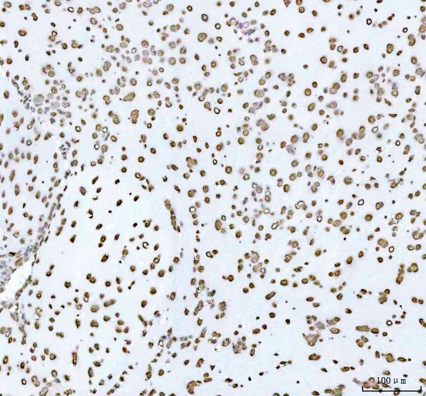
IHC analysis of Histone H4 using anti-Histone H4 antibody (BM4713) .
Histone H4 was detected in a paraffin-embedded section of human liver cancer tissue. The tissue section was incubated with rabbit anti-Histone H4 Antibody (BM4713) at a dilution of 1:200 and developed using HRP Conjugated Rabbit IgG Super Vision Assay Kit (Catalog # SV0002) with DAB (Catalog # AR1027) as the chromogen.

IHC analysis of Histone H4 using anti-Histone H4 antibody (BM4713) .
Histone H4 was detected in a paraffin-embedded section of human lung squamous cell carcinoma tissue. The tissue section was incubated with rabbit anti-Histone H4 Antibody (BM4713) at a dilution of 1:200 and developed using HRP Conjugated Rabbit IgG Super Vision Assay Kit (Catalog # SV0002) with DAB (Catalog # AR1027) as the chromogen

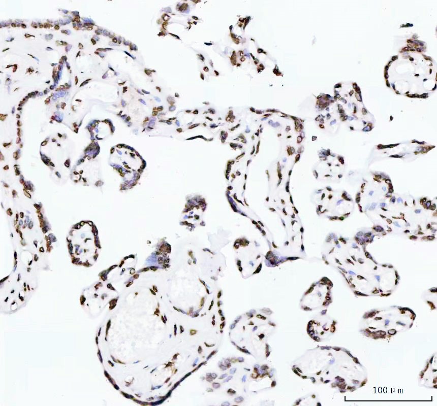
IHC analysis of Histone H4 using anti-Histone H4 antibody (BM4713) .
Histone H4 was detected in a paraffin-embedded section of human placenta tissue. The tissue section was incubated with rabbit anti-Histone H4 Antibody (BM4713) at a dilution of 1:200 and developed using HRP Conjugated Rabbit IgG Super Vision Assay Kit (Catalog # SV0002) with DAB (Catalog # AR1027) as the chromogen.

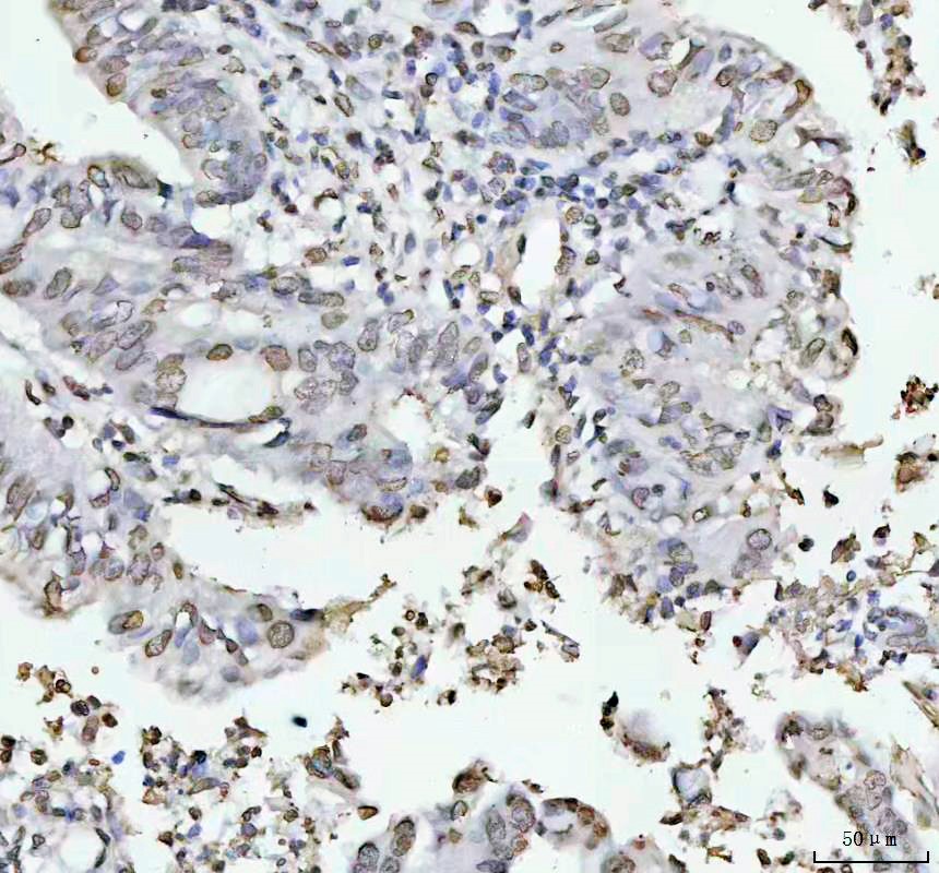
IHC analysis of Histone H4 using anti-Histone H4 antibody (BM4713) .
Histone H4 was detected in a paraffin-embedded section of human testicular germ cell tumors tissue. The tissue section was incubated with rabbit anti-Histone H4 Antibody (BM4713) at a dilution of 1:200 and developed using HRP Conjugated Rabbit IgG Super Vision Assay Kit (Catalog # SV0002) with DAB (Catalog # AR1027) as the chromogen.

IHC analysis of Histone H4 using anti-Histone H4 antibody (BM4713) .
Histone H4 was detected in a paraffin-embedded section of human thyroid cancer tissue. The tissue section was incubated with rabbit anti-Histone H4 Antibody (BM4713) at a dilution of 1:200 and developed using HRP Conjugated Rabbit IgG Super Vision Assay Kit (Catalog # SV0002) with DAB (Catalog # AR1027) as the chromogen.

IHC analysis of Histone H4 using anti-Histone H4 antibody (BM4713) .
Histone H4 was detected in a paraffin-embedded section of mouse brain tissue. The tissue section was incubated with rabbit anti-Histone H4 Antibody (BM4713) at a dilution of 1:200 and developed using HRP Conjugated Rabbit IgG Super Vision Assay Kit (Catalog # SV0002) with DAB (Catalog # AR1027) as the chromogen.

IHC analysis of Histone H4 using anti-Histone H4 antibody (BM4713) .
Histone H4 was detected in a paraffin-embedded section of rat brain tissue. The tissue section was incubated with rabbit anti-Histone H4 Antibody (BM4713) at a dilution of 1:200 and developed using HRP Conjugated Rabbit IgG Super Vision Assay Kit (Catalog # SV0002) with DAB (Catalog # AR1027) as the chromogen.

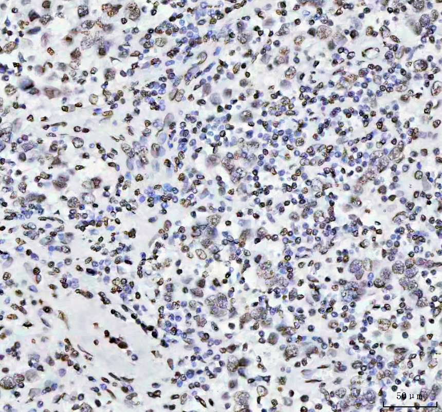
IHC analysis of Histone H4 using anti-Histone H4 antibody (BM4713) .
Histone H4 was detected in a paraffin-embedded section of human B-cell lymphoma tissue. The tissue section was incubated with rabbit anti-Histone H4 Antibody (BM4713) at a dilution of 1:200 and developed using HRP Conjugated Rabbit IgG Super Vision Assay Kit (Catalog # SV0002) with DAB (Catalog # AR1027) as the chromogen.

IHC analysis of Histone H4 using anti-Histone H4 antibody (BM4713) .
Histone H4 was detected in a paraffin-embedded section of human colon tissue. The tissue section was incubated with rabbit anti-Histone H4 Antibody (BM4713) at a dilution of 1:200 and developed using HRP Conjugated Rabbit IgG Super Vision Assay Kit (Catalog # SV0002) with DAB (Catalog # AR1027) as the chromogen.

Western blot analysis of anti-Histone H4 antibody (BM4713). The sample well of each lane was loaded with 30 ug of sample under reducing conditions.
Lane 1: human Hela whole cell lysates,
Lane 2: human PC-3 whole cell lysates,
Lane 3: human U2OS whole cell lysates,
Lane 4: human Hacat whole cell lysates,
Lane 5: rat brain tissue lysates,
Lane 6: rat C6 whole cell lysates,
Lane 7: mouse brain tissue lysates,
Lane 8: mouse 3T3-L1 whole cell lysates.
After electrophoresis, proteins were transferred to a membrane. Then the membrane was incubated with rabbit anti-Histone H4 antigen affinity purified monoclonal antibody (BM4713) at a dilution of 1:1000 and probed with a goat anti-rabbit IgG-HRP secondary antibody (Catalog # BA1054). The signal is developed using ECL Plus Western Blotting Substrate (Catalog # AR1197). A specific band was detected for Histone H4 at approximately 11 kDa. The expected band size for Histone H4 is at 11 kDa.

IHC analysis of Histone H4 using anti-Histone H4 antibody (BM4713) .
Histone H4 was detected in a paraffin-embedded section of human breast cancer tissue. The tissue section was incubated with rabbit anti-Histone H4 Antibody (BM4713) at a dilution of 1:200 and developed using HRP Conjugated Rabbit IgG Super Vision Assay Kit (Catalog # SV0002) with DAB (Catalog # AR1027) as the chromogen.

IHC analysis of Histone H4 using anti-Histone H4 antibody (BM4713) .
Histone H4 was detected in a paraffin-embedded section of human colorectal adenocarcinoma tissue. The tissue section was incubated with rabbit anti-Histone H4 Antibody (BM4713) at a dilution of 1:200 and developed using HRP Conjugated Rabbit IgG Super Vision Assay Kit (Catalog # SV0002) with DAB (Catalog # AR1027) as the chromogen.

IHC analysis of Histone H4 using anti-Histone H4 antibody (BM4713) .
Histone H4 was detected in a paraffin-embedded section of human liver cancer tissue. The tissue section was incubated with rabbit anti-Histone H4 Antibody (BM4713) at a dilution of 1:200 and developed using HRP Conjugated Rabbit IgG Super Vision Assay Kit (Catalog # SV0002) with DAB (Catalog # AR1027) as the chromogen.

IHC analysis of Histone H4 using anti-Histone H4 antibody (BM4713) .
Histone H4 was detected in a paraffin-embedded section of human lung squamous cell carcinoma tissue. The tissue section was incubated with rabbit anti-Histone H4 Antibody (BM4713) at a dilution of 1:200 and developed using HRP Conjugated Rabbit IgG Super Vision Assay Kit (Catalog # SV0002) with DAB (Catalog # AR1027) as the chromogen

IHC analysis of Histone H4 using anti-Histone H4 antibody (BM4713) .
Histone H4 was detected in a paraffin-embedded section of human placenta tissue. The tissue section was incubated with rabbit anti-Histone H4 Antibody (BM4713) at a dilution of 1:200 and developed using HRP Conjugated Rabbit IgG Super Vision Assay Kit (Catalog # SV0002) with DAB (Catalog # AR1027) as the chromogen.

IHC analysis of Histone H4 using anti-Histone H4 antibody (BM4713) .
Histone H4 was detected in a paraffin-embedded section of human testicular germ cell tumors tissue. The tissue section was incubated with rabbit anti-Histone H4 Antibody (BM4713) at a dilution of 1:200 and developed using HRP Conjugated Rabbit IgG Super Vision Assay Kit (Catalog # SV0002) with DAB (Catalog # AR1027) as the chromogen.

IHC analysis of Histone H4 using anti-Histone H4 antibody (BM4713) .
Histone H4 was detected in a paraffin-embedded section of human thyroid cancer tissue. The tissue section was incubated with rabbit anti-Histone H4 Antibody (BM4713) at a dilution of 1:200 and developed using HRP Conjugated Rabbit IgG Super Vision Assay Kit (Catalog # SV0002) with DAB (Catalog # AR1027) as the chromogen.

IHC analysis of Histone H4 using anti-Histone H4 antibody (BM4713) .
Histone H4 was detected in a paraffin-embedded section of mouse brain tissue. The tissue section was incubated with rabbit anti-Histone H4 Antibody (BM4713) at a dilution of 1:200 and developed using HRP Conjugated Rabbit IgG Super Vision Assay Kit (Catalog # SV0002) with DAB (Catalog # AR1027) as the chromogen.

IHC analysis of Histone H4 using anti-Histone H4 antibody (BM4713) .
Histone H4 was detected in a paraffin-embedded section of rat brain tissue. The tissue section was incubated with rabbit anti-Histone H4 Antibody (BM4713) at a dilution of 1:200 and developed using HRP Conjugated Rabbit IgG Super Vision Assay Kit (Catalog # SV0002) with DAB (Catalog # AR1027) as the chromogen.

IHC analysis of Histone H4 using anti-Histone H4 antibody (BM4713) .
Histone H4 was detected in a paraffin-embedded section of human B-cell lymphoma tissue. The tissue section was incubated with rabbit anti-Histone H4 Antibody (BM4713) at a dilution of 1:200 and developed using HRP Conjugated Rabbit IgG Super Vision Assay Kit (Catalog # SV0002) with DAB (Catalog # AR1027) as the chromogen.

IHC analysis of Histone H4 using anti-Histone H4 antibody (BM4713) .
Histone H4 was detected in a paraffin-embedded section of human colon tissue. The tissue section was incubated with rabbit anti-Histone H4 Antibody (BM4713) at a dilution of 1:200 and developed using HRP Conjugated Rabbit IgG Super Vision Assay Kit (Catalog # SV0002) with DAB (Catalog # AR1027) as the chromogen.













