| Western blot (WB): | 1:500-2000 |
| Immunohistochemistry (IHC): | 1:50-200 |
| ImmunoPrecipitation (IP): | 1:20 |

Western blot analysis of anti-PKC Eta/PRKCH antibody (BM5367). The sample well of each lane was loaded with 30 ug of sample under reducing conditions.
Lane 1: human RT4 whole cell lysates,
Lane 2: rat brain tissue lysates,
Lane 3: rat lung tissue lysates,
Lane 4: mouse lung tissue lysates.
After electrophoresis, proteins were transferred to a membrane. Then the membrane was incubated with rabbit anti-PKC Eta/PRKCH antigen affinity purified monoclonal antibody (BM5367) at a dilution of 1:1000 and probed with a goat anti-rabbit IgG-HRP secondary antibody (Catalog # BA1054). The signal is developed using ECL Plus Western Blotting Substrate (Catalog # AR1197). A specific band was detected for PKC Eta/PRKCH at approximately 78 kDa. The expected band size for PKC Eta/PRKCH is at 78 kDa.

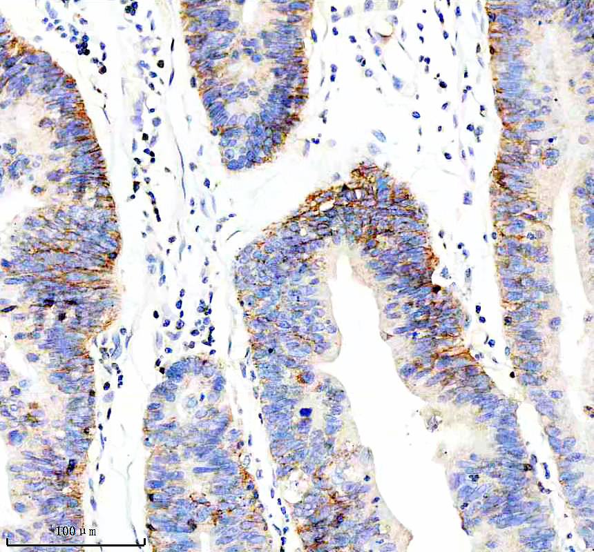
IHC analysis of PRKCH using anti-PRKCH antibody (BM5367) .
PRKCH was detected in a paraffin-embedded section of human stomach cancer tissue. The tissue section was incubated with rabbit anti-PRKCH Antibody (BM5367) at a dilution of 1:200 and developed using HRP Conjugated Rabbit IgG Super Vision Assay Kit (Catalog # SV0002) with DAB (Catalog # AR1027) as the chromogen.

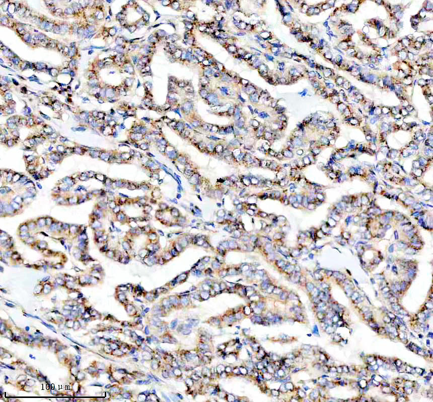
IHC analysis of PRKCH using anti-PRKCH antibody (BM5367) .
PRKCH was detected in a paraffin-embedded section of human thyroid cancer tissue. The tissue section was incubated with rabbit anti-PRKCH Antibody (BM5367) at a dilution of 1:200 and developed using HRP Conjugated Rabbit IgG Super Vision Assay Kit (Catalog # SV0002) with DAB (Catalog # AR1027) as the chromogen.

Western blot analysis of anti-PKC Eta/PRKCH antibody (BM5367). The sample well of each lane was loaded with 30 ug of sample under reducing conditions.
Lane 1: human RT4 whole cell lysates,
Lane 2: rat brain tissue lysates,
Lane 3: rat lung tissue lysates,
Lane 4: mouse lung tissue lysates.
After electrophoresis, proteins were transferred to a membrane. Then the membrane was incubated with rabbit anti-PKC Eta/PRKCH antigen affinity purified monoclonal antibody (BM5367) at a dilution of 1:1000 and probed with a goat anti-rabbit IgG-HRP secondary antibody (Catalog # BA1054). The signal is developed using ECL Plus Western Blotting Substrate (Catalog # AR1197). A specific band was detected for PKC Eta/PRKCH at approximately 78 kDa. The expected band size for PKC Eta/PRKCH is at 78 kDa.

IHC analysis of PRKCH using anti-PRKCH antibody (BM5367) .
PRKCH was detected in a paraffin-embedded section of human stomach cancer tissue. The tissue section was incubated with rabbit anti-PRKCH Antibody (BM5367) at a dilution of 1:200 and developed using HRP Conjugated Rabbit IgG Super Vision Assay Kit (Catalog # SV0002) with DAB (Catalog # AR1027) as the chromogen.

IHC analysis of PRKCH using anti-PRKCH antibody (BM5367) .
PRKCH was detected in a paraffin-embedded section of human thyroid cancer tissue. The tissue section was incubated with rabbit anti-PRKCH Antibody (BM5367) at a dilution of 1:200 and developed using HRP Conjugated Rabbit IgG Super Vision Assay Kit (Catalog # SV0002) with DAB (Catalog # AR1027) as the chromogen.




