| Western blot (WB): | 1:2000 |
| Immunohistochemistry (IHC): | 1:200 |

HEK293T cells were transfected with the pCMV6-ENTRY control (Left lane) or pCMV6-ENTRY BRCA1 (Right lane) cDNA for 48 hrs and lysed. Equivalent amounts of cell lysates (5 ug per lane) were separated by SDS-PAGE and immunoblotted with anti-BRCA1(Cat# M00005-1).

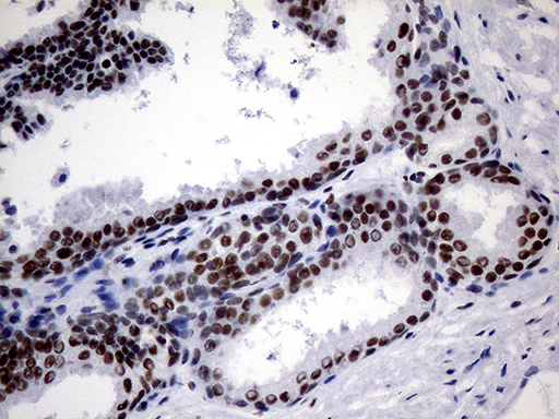
Immunohistochemical staining of paraffin-embedded Human prostate tissue within the normal limits using anti-BRCA1 mouse monoclonal antibody. (Heat-induced epitope retrieval by 1mM EDTA in 10mM Tris buffer (pH8.0) at 120°C for 3min, M00005-1) (1:200)

Immunohistochemical staining of paraffin-embedded Human liver tissue within the normal limits using anti-BRCA1 mouse monoclonal antibody. (Heat-induced epitope retrieval by 1mM EDTA in 10mM Tris buffer (pH8.0) at 120°C for 3min, M00005-1) (1:200)

Immunohistochemical staining of paraffin-embedded Human endometrium tissue within the normal limits using anti-BRCA1 mouse monoclonal antibody. (Heat-induced epitope retrieval by 1mM EDTA in 10mM Tris buffer (pH8.0) at 120°C for 3min, M00005-1) (1:200)

Immunohistochemical staining of paraffin-embedded Human Kidney tissue within the normal limits using anti-BRCA1 mouse monoclonal antibody. (Heat-induced epitope retrieval by 1mM EDTA in 10mM Tris buffer (pH8.0) at 120°C for 3min, M00005-1) (1:200)

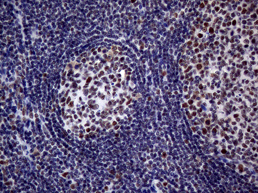
Immunohistochemical staining of paraffin-embedded Human tonsil within the normal limits using anti-BRCA1 mouse monoclonal antibody. (Heat-induced epitope retrieval by 1mM EDTA in 10mM Tris buffer (pH8.0) at 120°C for 3min, M00005-1) (1:200)

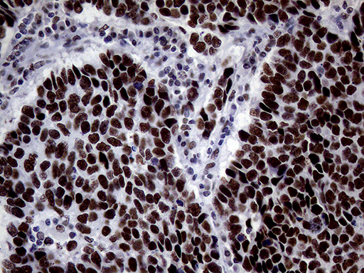
Immunohistochemical staining of paraffin-embedded Adenocarcinoma of Human breast tissue tissue using anti-BRCA1 mouse monoclonal antibody. (Heat-induced epitope retrieval by 1mM EDTA in 10mM Tris buffer (pH8.0) at 120°C for 3min, M00005-1) (1:200)

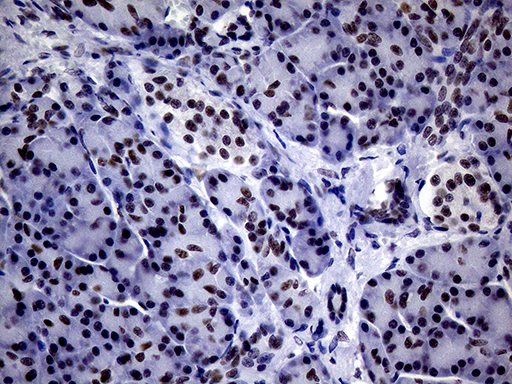
Immunohistochemical staining of paraffin-embedded Human pancreas tissue within the normal limits using anti-BRCA1 mouse monoclonal antibody. (Heat-induced epitope retrieval by 1mM EDTA in 10mM Tris buffer (pH8.0) at 120°C for 3min, M00005-1) (1:200)

Immunohistochemical staining of paraffin-embedded Carcinoma of Human lung tissue using anti-BRCA1 mouse monoclonal antibody. (Heat-induced epitope retrieval by 1mM EDTA in 10mM Tris buffer (pH8.0) at 120°C for 3min) (M00005-1) (1:200)

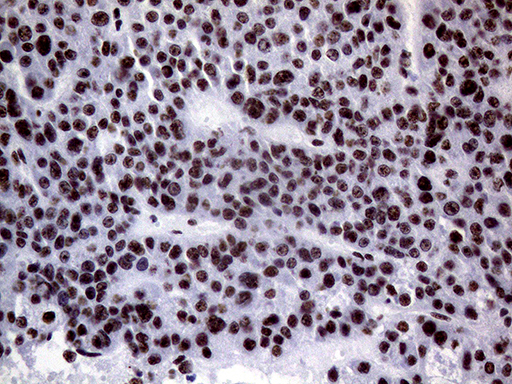
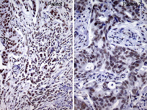
Immunohistochemical staining of paraffin-embedded Carcinoma of Human prostate tissue using anti-BRCA1 mouse monoclonal antibody. (Heat-induced epitope retrieval by 1mM EDTA in 10mM Tris buffer (pH8.0) at 120°C for 3min, M00005-1) (1:200)

HEK293T cells were transfected with the pCMV6-ENTRY control (Left lane) or pCMV6-ENTRY BRCA1 (Right lane) cDNA for 48 hrs and lysed. Equivalent amounts of cell lysates (5 ug per lane) were separated by SDS-PAGE and immunoblotted with anti-BRCA1(Cat# M00005-1).

Immunohistochemical staining of paraffin-embedded Human prostate tissue within the normal limits using anti-BRCA1 mouse monoclonal antibody. (Heat-induced epitope retrieval by 1mM EDTA in 10mM Tris buffer (pH8.0) at 120°C for 3min, M00005-1) (1:200)

Immunohistochemical staining of paraffin-embedded Human liver tissue within the normal limits using anti-BRCA1 mouse monoclonal antibody. (Heat-induced epitope retrieval by 1mM EDTA in 10mM Tris buffer (pH8.0) at 120°C for 3min, M00005-1) (1:200)

Immunohistochemical staining of paraffin-embedded Human endometrium tissue within the normal limits using anti-BRCA1 mouse monoclonal antibody. (Heat-induced epitope retrieval by 1mM EDTA in 10mM Tris buffer (pH8.0) at 120°C for 3min, M00005-1) (1:200)

Immunohistochemical staining of paraffin-embedded Human Kidney tissue within the normal limits using anti-BRCA1 mouse monoclonal antibody. (Heat-induced epitope retrieval by 1mM EDTA in 10mM Tris buffer (pH8.0) at 120°C for 3min, M00005-1) (1:200)

Immunohistochemical staining of paraffin-embedded Human tonsil within the normal limits using anti-BRCA1 mouse monoclonal antibody. (Heat-induced epitope retrieval by 1mM EDTA in 10mM Tris buffer (pH8.0) at 120°C for 3min, M00005-1) (1:200)

Immunohistochemical staining of paraffin-embedded Adenocarcinoma of Human breast tissue tissue using anti-BRCA1 mouse monoclonal antibody. (Heat-induced epitope retrieval by 1mM EDTA in 10mM Tris buffer (pH8.0) at 120°C for 3min, M00005-1) (1:200)

Immunohistochemical staining of paraffin-embedded Human pancreas tissue within the normal limits using anti-BRCA1 mouse monoclonal antibody. (Heat-induced epitope retrieval by 1mM EDTA in 10mM Tris buffer (pH8.0) at 120°C for 3min, M00005-1) (1:200)

Immunohistochemical staining of paraffin-embedded Carcinoma of Human lung tissue using anti-BRCA1 mouse monoclonal antibody. (Heat-induced epitope retrieval by 1mM EDTA in 10mM Tris buffer (pH8.0) at 120°C for 3min) (M00005-1) (1:200)

Immunohistochemical staining of paraffin-embedded Carcinoma of Human prostate tissue using anti-BRCA1 mouse monoclonal antibody. (Heat-induced epitope retrieval by 1mM EDTA in 10mM Tris buffer (pH8.0) at 120°C for 3min, M00005-1) (1:200)









