| Western blot (WB): | 1:500-2000 |
| Immunohistochemistry (IHC): | 1:50-400 |
| Flow Cytometry (Fixed): | 1:50-200 |
| (Boiling the paraffin sections in 10mM citrate buffer,pH6.0,or PH8.0 EDTA repair liquid for 20 mins is required for the staining of formalin/paraffin sections.) Optimal working dilutions must be determined by end user. | |

Western blot analysis of anti- BRCA1 antibody (PB9015). The sample well of each lane was loaded with 30ug of sample under reducing conditions.
Lane 1: human Hela whole cell lysates,
Lane 2: human T-47D whole cell lysates,
Lane 3: human Raji whole cell lysates.
Use rabbit anti- BRCA1 1:1000, probed with a goat anti-rabbit IgG-HRP secondary antibody. The signal is developed using an Enhanced Chemiluminescent detection (ECL) kit (Catalog#EK1002). A specific band was detected for BRCA1 at approximately 290KD. The expected band size for BRCA1 is at 208KD.

IHC analysis of BRCA1 using anti-BRCA1 antibody (PB9015).
BRCA1 was detected in a paraffin-embedded section of human tonsil tissue. The tissue section was incubated with rabbit anti-BRCA1 Antibody (PB9015) at a dilution of 1:200 and developed using HRP Conjugated Rabbit IgG Super Vision Assay Kit (Catalog # SV0002) with DAB (Catalog # AR1027) as the chromogen.

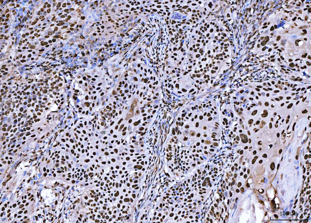
IHC analysis of BRCA1 using anti-BRCA1 antibody (PB9015).
BRCA1 was detected in a paraffin-embedded section of human laryngeal squamous cell carcinoma tissue. The tissue section was incubated with rabbit anti-BRCA1 Antibody (PB9015) at a dilution of 1:200 and developed using HRP Conjugated Rabbit IgG Super Vision Assay Kit (Catalog # SV0002) with DAB (Catalog # AR1027) as the chromogen.

IHC analysis of BRCA1 using anti-BRCA1 antibody (PB9015).
BRCA1 was detected in a paraffin-embedded section of human thyroid cancer tissue. The tissue section was incubated with rabbit anti-BRCA1 Antibody (PB9015) at a dilution of 1:200 and developed using HRP Conjugated Rabbit IgG Super Vision Assay Kit (Catalog # SV0002) with DAB (Catalog # AR1027) as the chromogen.

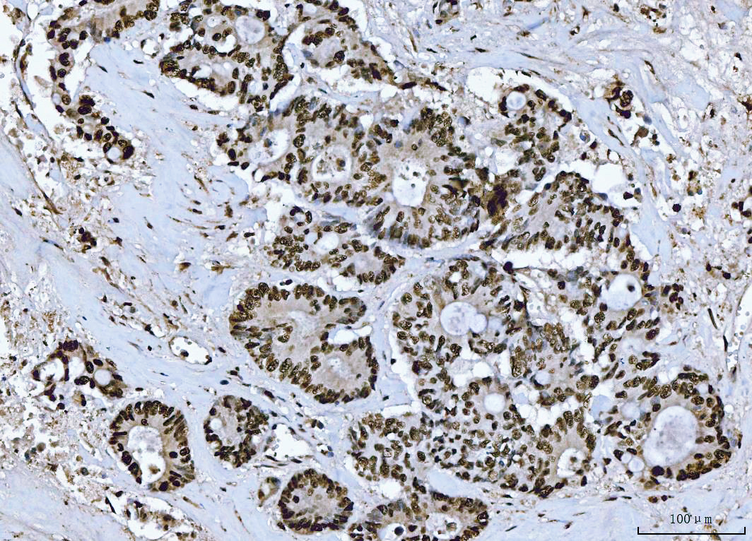
IHC analysis of BRCA1 using anti-BRCA1 antibody (PB9015).
BRCA1 was detected in a paraffin-embedded section of human colorectal adenocarcinoma tissue. The tissue section was incubated with rabbit anti-BRCA1 Antibody (PB9015) at a dilution of 1:200 and developed using HRP Conjugated Rabbit IgG Super Vision Assay Kit (Catalog # SV0002) with DAB (Catalog # AR1027) as the chromogen.

IHC analysis of BRCA1 using anti-BRCA1 antibody (PB9015).
BRCA1 was detected in a paraffin-embedded section of mouse brain tissue. The tissue section was incubated with rabbit anti-BRCA1 Antibody (PB9015) at a dilution of 1:200 and developed using HRP Conjugated Rabbit IgG Super Vision Assay Kit (Catalog # SV0002) with DAB (Catalog # AR1027) as the chromogen.

IHC analysis of BRCA1 using anti-BRCA1 antibody (PB9015).
BRCA1 was detected in a paraffin-embedded section of rat brain tissue. The tissue section was incubated with rabbit anti-BRCA1 Antibody (PB9015) at a dilution of 1:200 and developed using HRP Conjugated Rabbit IgG Super Vision Assay Kit (Catalog # SV0002) with DAB (Catalog # AR1027) as the chromogen.

Flow Cytometry analysis of HepG2 cells using anti-BRCA1 antibody (PB9015).
Overlay histogram showing HepG2 cells stained with PB9015 (Blue line). To facilitate intracellular staining, cells were fixed with 4% paraformaldehyde and permeabilized with permeabilization buffer. The cells were blocked with 10% normal goat serum. And then incubated with rabbit anti-BRCA1 Antibody (PB9015) at 1:100 dilution for 30 min at 20°C. Fluoro488 conjugated goat anti-rabbit IgG (BA1127) was used as secondary antibody at 1:100 dilution for 30 minutes at 20°C. Isotype control antibody (Green line) was rabbit IgG at 1:100 dilution used under the same conditions. Unlabelled sample without incubation with primary antibody and secondary antibody (Red line) was used as a blank control.

Western blot analysis of anti- BRCA1 antibody (PB9015). The sample well of each lane was loaded with 30ug of sample under reducing conditions.
Lane 1: human Hela whole cell lysates,
Lane 2: human T-47D whole cell lysates,
Lane 3: human Raji whole cell lysates.
Use rabbit anti- BRCA1 1:1000, probed with a goat anti-rabbit IgG-HRP secondary antibody. The signal is developed using an Enhanced Chemiluminescent detection (ECL) kit (Catalog#EK1002). A specific band was detected for BRCA1 at approximately 290KD. The expected band size for BRCA1 is at 208KD.

IHC analysis of BRCA1 using anti-BRCA1 antibody (PB9015).
BRCA1 was detected in a paraffin-embedded section of human tonsil tissue. The tissue section was incubated with rabbit anti-BRCA1 Antibody (PB9015) at a dilution of 1:200 and developed using HRP Conjugated Rabbit IgG Super Vision Assay Kit (Catalog # SV0002) with DAB (Catalog # AR1027) as the chromogen.

IHC analysis of BRCA1 using anti-BRCA1 antibody (PB9015).
BRCA1 was detected in a paraffin-embedded section of human laryngeal squamous cell carcinoma tissue. The tissue section was incubated with rabbit anti-BRCA1 Antibody (PB9015) at a dilution of 1:200 and developed using HRP Conjugated Rabbit IgG Super Vision Assay Kit (Catalog # SV0002) with DAB (Catalog # AR1027) as the chromogen.

IHC analysis of BRCA1 using anti-BRCA1 antibody (PB9015).
BRCA1 was detected in a paraffin-embedded section of human thyroid cancer tissue. The tissue section was incubated with rabbit anti-BRCA1 Antibody (PB9015) at a dilution of 1:200 and developed using HRP Conjugated Rabbit IgG Super Vision Assay Kit (Catalog # SV0002) with DAB (Catalog # AR1027) as the chromogen.

IHC analysis of BRCA1 using anti-BRCA1 antibody (PB9015).
BRCA1 was detected in a paraffin-embedded section of human colorectal adenocarcinoma tissue. The tissue section was incubated with rabbit anti-BRCA1 Antibody (PB9015) at a dilution of 1:200 and developed using HRP Conjugated Rabbit IgG Super Vision Assay Kit (Catalog # SV0002) with DAB (Catalog # AR1027) as the chromogen.

IHC analysis of BRCA1 using anti-BRCA1 antibody (PB9015).
BRCA1 was detected in a paraffin-embedded section of mouse brain tissue. The tissue section was incubated with rabbit anti-BRCA1 Antibody (PB9015) at a dilution of 1:200 and developed using HRP Conjugated Rabbit IgG Super Vision Assay Kit (Catalog # SV0002) with DAB (Catalog # AR1027) as the chromogen.

IHC analysis of BRCA1 using anti-BRCA1 antibody (PB9015).
BRCA1 was detected in a paraffin-embedded section of rat brain tissue. The tissue section was incubated with rabbit anti-BRCA1 Antibody (PB9015) at a dilution of 1:200 and developed using HRP Conjugated Rabbit IgG Super Vision Assay Kit (Catalog # SV0002) with DAB (Catalog # AR1027) as the chromogen.

Flow Cytometry analysis of HepG2 cells using anti-BRCA1 antibody (PB9015).
Overlay histogram showing HepG2 cells stained with PB9015 (Blue line). To facilitate intracellular staining, cells were fixed with 4% paraformaldehyde and permeabilized with permeabilization buffer. The cells were blocked with 10% normal goat serum. And then incubated with rabbit anti-BRCA1 Antibody (PB9015) at 1:100 dilution for 30 min at 20°C. Fluoro488 conjugated goat anti-rabbit IgG (BA1127) was used as secondary antibody at 1:100 dilution for 30 minutes at 20°C. Isotype control antibody (Green line) was rabbit IgG at 1:100 dilution used under the same conditions. Unlabelled sample without incubation with primary antibody and secondary antibody (Red line) was used as a blank control.







