Western blot (WB): | 1:2000-10000 |
Immunohistochemistry (IHC): | 1:1000-5000 |
Immunofluorescence (IF): | 1:50-500 |
(Boiling the paraffin sections in 10mM citrate buffer,pH6.0,or PH8.0 EDTA repair liquid for 20 mins is required for the staining of formalin/paraffin sections.) Optimal working dilutions must be determined by end user. |
Western blot analysis of GFAP using anti-GFAP antibody (PB9082). The sample well of each lane was loaded with 30 ug of sample under reducing conditions.
Lane 1: human U251 whole cell lysates,
Lane 2: human Hela whole cell lysates,
Lane 3: rat brain tissue lysates,
Lane 4: human C6 whole cell lysates,
Lane 5: mouse brain tissue lysates.
After electrophoresis, proteins were transferred to a membrane. Then the membrane was incubated with rabbit anti-GFAP antigen affinity purified polyclonal antibody (PB9082) at a dilution of 1:1000 and probed with a goat anti-rabbit IgG-HRP secondary antibody (Catalog # BA1054). The signal is developed using ECL Plus Western Blotting Substrate (Catalog # AR1197). A specific band was detected for GFAP at approximately 50 kDa. The expected band size for GFAP is at 50 kDa.
IHC analysis of GFAP using anti-GFAP antibody (PB9082) .
GFAP was detected in a paraffin-embedded section of human glioma tissue. The tissue section was incubated with rabbit anti-GFAP Antibody (PB9082) at a dilution of 1:200 and developed using HRP Conjugated Rabbit IgG Super Vision Assay Kit (Catalog # SV0002) with DAB (Catalog # AR1027) as the chromogen.
IHC analysis of GFAP using anti-GFAP antibody (PB9082) .
GFAP was detected in a paraffin-embedded section of mouse brain tissue. The tissue section was incubated with rabbit anti-GFAP Antibody (PB9082) at a dilution of 1:200 and developed using HRP Conjugated Rabbit IgG Super Vision Assay Kit (Catalog # SV0002) with DAB (Catalog # AR1027) as the chromogen.
IHC analysis of GFAP using anti-GFAP antibody (PB9082) .
GFAP was detected in a paraffin-embedded section of mouse brain tissue. The tissue section was incubated with rabbit anti-GFAP Antibody (PB9082) at a dilution of 1:200 and developed using HRP Conjugated Rabbit IgG Super Vision Assay Kit (Catalog # SV0002) with DAB (Catalog # AR1027) as the chromogen.
IHC analysis of GFAP using anti-GFAP antibody (PB9082) .
GFAP was detected in a paraffin-embedded section of rat brain tissue. The tissue section was incubated with rabbit anti-GFAP Antibody (PB9082) at a dilution of 1:200 and developed using HRP Conjugated Rabbit IgG Super Vision Assay Kit (Catalog # SV0002) with DAB (Catalog # AR1027) as the chromogen.
IHC analysis of GFAP using anti-GFAP antibody (PB9082) .
GFAP was detected in a paraffin-embedded section of pig brain tissue. The tissue section was incubated with rabbit anti-GFAP Antibody (PB9082) at a dilution of 1:200 and developed using HRP Conjugated Rabbit IgG Super Vision Assay Kit (Catalog # SV0002) with DAB (Catalog # AR1027) as the chromogen.
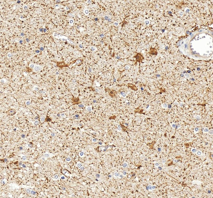
IHC analysis of GFAP using anti-GFAP antibody (PB9082).
GFAP was detected in a paraffin-embedded section of human brain tissue. The tissue section was incubated with rabbit anti-GFAP Antibody (PB9082) at a dilution of 1:200 and developed using HRP Conjugated Rabbit IgG Super Vision Assay Kit (Catalog # SV0002) with DAB (Catalog # AR1027) as the chromogen.
IF analysis of GFAP using anti-GFAP antibody (PB9082).
GFAP was detected in a paraffin-embedded section of rat brain tissue. The tissue section was incubated with rabbit anti-GFAP Antibody (PB9082) at a dilution of 1:100. Cy3-conjugated Anti-rabbit IgG Secondary Antibody (red)(Catalog#BA1032) was used as secondary antibody. The section was counterstained with DAPI (Catalog # AR1176) (Blue).
Western blot analysis of GFAP using anti-GFAP antibody (PB9082). The sample well of each lane was loaded with 30 ug of sample under reducing conditions.
Lane 1: human U251 whole cell lysates,
Lane 2: human Hela whole cell lysates,
Lane 3: rat brain tissue lysates,
Lane 4: human C6 whole cell lysates,
Lane 5: mouse brain tissue lysates.
After electrophoresis, proteins were transferred to a membrane. Then the membrane was incubated with rabbit anti-GFAP antigen affinity purified polyclonal antibody (PB9082) at a dilution of 1:1000 and probed with a goat anti-rabbit IgG-HRP secondary antibody (Catalog # BA1054). The signal is developed using ECL Plus Western Blotting Substrate (Catalog # AR1197). A specific band was detected for GFAP at approximately 50 kDa. The expected band size for GFAP is at 50 kDa.
IHC analysis of GFAP using anti-GFAP antibody (PB9082) .
GFAP was detected in a paraffin-embedded section of human glioma tissue. The tissue section was incubated with rabbit anti-GFAP Antibody (PB9082) at a dilution of 1:200 and developed using HRP Conjugated Rabbit IgG Super Vision Assay Kit (Catalog # SV0002) with DAB (Catalog # AR1027) as the chromogen.
IHC analysis of GFAP using anti-GFAP antibody (PB9082) .
GFAP was detected in a paraffin-embedded section of mouse brain tissue. The tissue section was incubated with rabbit anti-GFAP Antibody (PB9082) at a dilution of 1:200 and developed using HRP Conjugated Rabbit IgG Super Vision Assay Kit (Catalog # SV0002) with DAB (Catalog # AR1027) as the chromogen.
IHC analysis of GFAP using anti-GFAP antibody (PB9082) .
GFAP was detected in a paraffin-embedded section of mouse brain tissue. The tissue section was incubated with rabbit anti-GFAP Antibody (PB9082) at a dilution of 1:200 and developed using HRP Conjugated Rabbit IgG Super Vision Assay Kit (Catalog # SV0002) with DAB (Catalog # AR1027) as the chromogen.
IHC analysis of GFAP using anti-GFAP antibody (PB9082) .
GFAP was detected in a paraffin-embedded section of rat brain tissue. The tissue section was incubated with rabbit anti-GFAP Antibody (PB9082) at a dilution of 1:200 and developed using HRP Conjugated Rabbit IgG Super Vision Assay Kit (Catalog # SV0002) with DAB (Catalog # AR1027) as the chromogen.
IHC analysis of GFAP using anti-GFAP antibody (PB9082) .
GFAP was detected in a paraffin-embedded section of pig brain tissue. The tissue section was incubated with rabbit anti-GFAP Antibody (PB9082) at a dilution of 1:200 and developed using HRP Conjugated Rabbit IgG Super Vision Assay Kit (Catalog # SV0002) with DAB (Catalog # AR1027) as the chromogen.
IHC analysis of GFAP using anti-GFAP antibody (PB9082).
GFAP was detected in a paraffin-embedded section of human brain tissue. The tissue section was incubated with rabbit anti-GFAP Antibody (PB9082) at a dilution of 1:200 and developed using HRP Conjugated Rabbit IgG Super Vision Assay Kit (Catalog # SV0002) with DAB (Catalog # AR1027) as the chromogen.
IF analysis of GFAP using anti-GFAP antibody (PB9082).
GFAP was detected in a paraffin-embedded section of rat brain tissue. The tissue section was incubated with rabbit anti-GFAP Antibody (PB9082) at a dilution of 1:100. Cy3-conjugated Anti-rabbit IgG Secondary Antibody (red)(Catalog#BA1032) was used as secondary antibody. The section was counterstained with DAPI (Catalog # AR1176) (Blue).