| Immunohistochemistry (IHC): | 1:50-400 |
| (Boiling the paraffin sections in 10mM citrate buffer,pH6.0,or PH8.0 EDTA repair liquid for 20 mins is required for the staining of formalin/paraffin sections.) Optimal working dilutions must be determined by end user. | |

IHC analysis of P glycoprotein/ABCB1 using anti-P glycoprotein/ABCB1 antibody (PB0162).
P glycoprotein/ABCB1 was detected in frozen section of mouse intestine tissue. The tissue section was incubated with rabbit anti-P glycoprotein/ABCB1 Antibody (PB0162) at a dilution of 1:200 and developed using HRP Conjugated Rabbit IgG Super Vision Assay Kit (Catalog # SV0002) with DAB (Catalog # AR1027) as the chromogen.

IHC analysis of P glycoprotein/ABCB1 using anti-P glycoprotein/ABCB1 antibody (PB0162).
P glycoprotein/ABCB1 was detected in frozen section of rat kidney tissue. The tissue section was incubated with rabbit anti-P glycoprotein/ABCB1 Antibody (PB0162) at a dilution of 1:200 and developed using HRP Conjugated Rabbit IgG Super Vision Assay Kit (Catalog # SV0002) with DAB (Catalog # AR1027) as the chromogen.

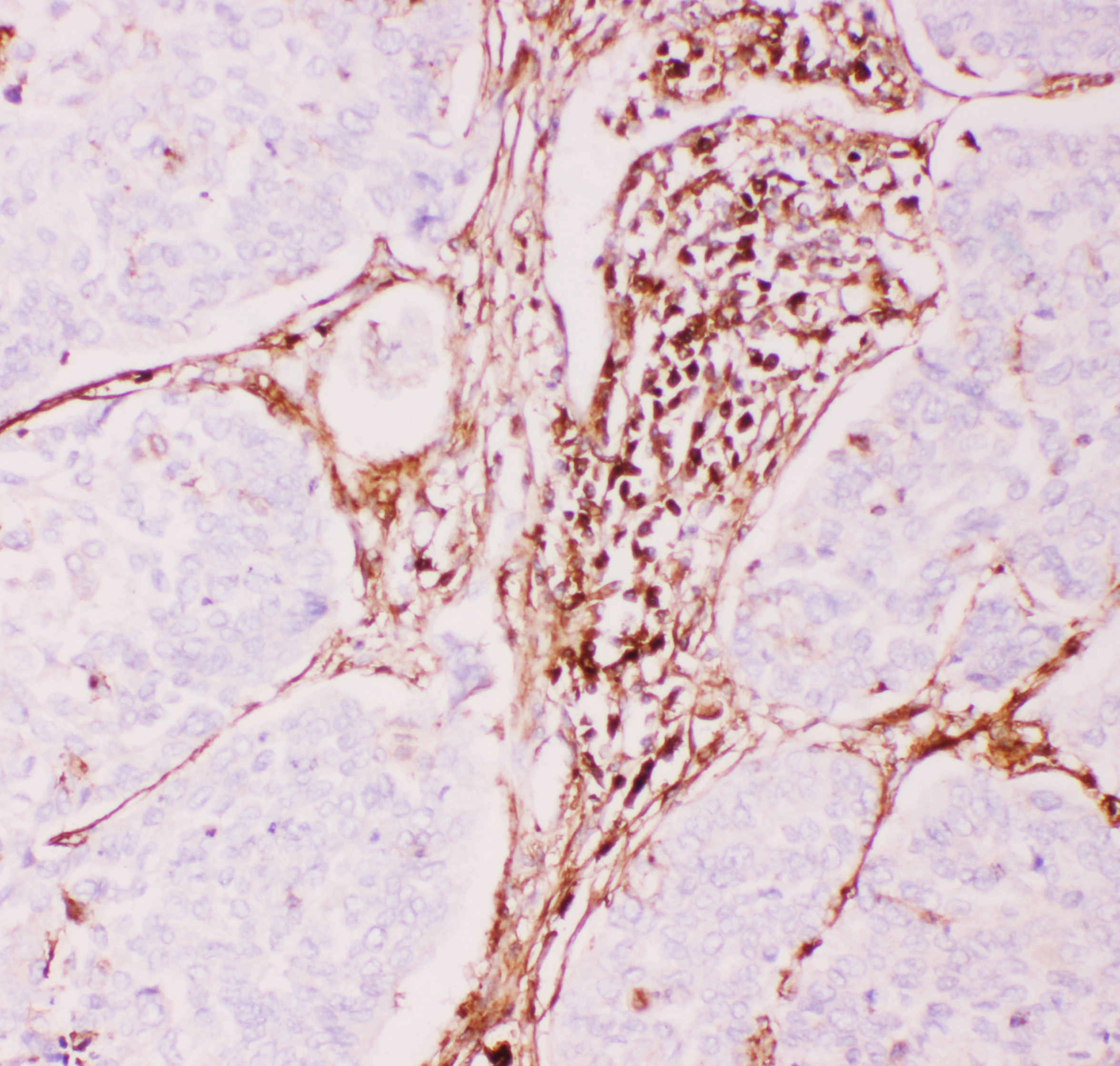
IHC analysis of P glycoprotein/ABCB1 using anti-P glycoprotein/ABCB1 antibody (PB0162).
P glycoprotein/ABCB1 was detected in a paraffin-embedded section of human lung cancer tissue. The tissue section was incubated with rabbit anti-P glycoprotein/ABCB1 Antibody (PB0162) at a dilution of 1:200 and developed using HRP Conjugated Rabbit IgG Super Vision Assay Kit (Catalog # SV0002) with DAB (Catalog # AR1027) as the chromogen.

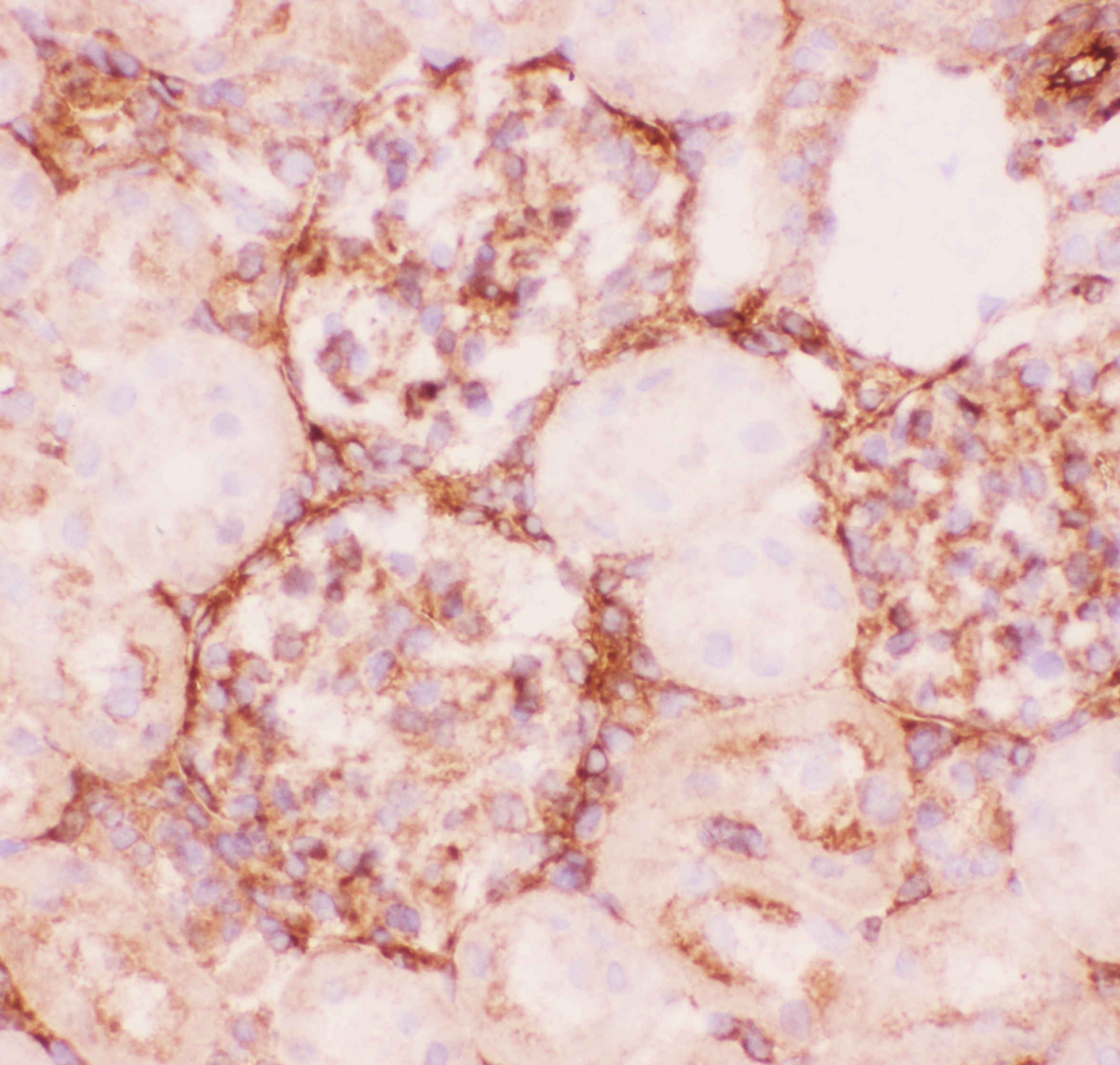
IHC analysis of P glycoprotein/ABCB1 using anti-P glycoprotein/ABCB1 antibody (PB0162).
P glycoprotein/ABCB1 was detected in a paraffin-embedded section of mouse kidney tissue. The tissue section was incubated with rabbit anti-P glycoprotein/ABCB1 Antibody (PB0162) at a dilution of 1:200 and developed using HRP Conjugated Rabbit IgG Super Vision Assay Kit (Catalog # SV0002) with DAB (Catalog # AR1027) as the chromogen.

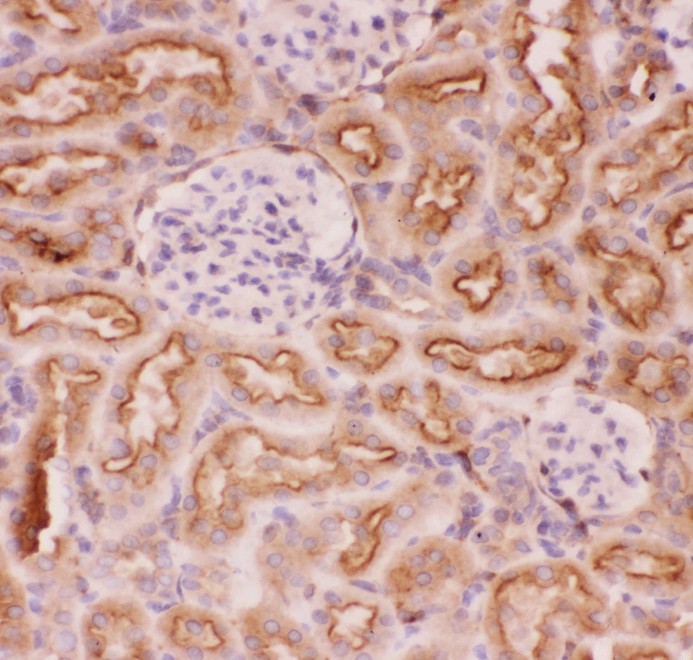
IHC analysis of P glycoprotein/ABCB1 using anti-P glycoprotein/ABCB1 antibody (PB0162).
P glycoprotein/ABCB1 was detected in a paraffin-embedded section of rat kidney tissue. The tissue section was incubated with rabbit anti-P glycoprotein/ABCB1 Antibody (PB0162) at a dilution of 1:200 and developed using HRP Conjugated Rabbit IgG Super Vision Assay Kit (Catalog # SV0002) with DAB (Catalog # AR1027) as the chromogen.

IHC analysis of P glycoprotein/ABCB1 using anti-P glycoprotein/ABCB1 antibody (PB0162).
P glycoprotein/ABCB1 was detected in frozen section of mouse intestine tissue. The tissue section was incubated with rabbit anti-P glycoprotein/ABCB1 Antibody (PB0162) at a dilution of 1:200 and developed using HRP Conjugated Rabbit IgG Super Vision Assay Kit (Catalog # SV0002) with DAB (Catalog # AR1027) as the chromogen.

IHC analysis of P glycoprotein/ABCB1 using anti-P glycoprotein/ABCB1 antibody (PB0162).
P glycoprotein/ABCB1 was detected in frozen section of rat kidney tissue. The tissue section was incubated with rabbit anti-P glycoprotein/ABCB1 Antibody (PB0162) at a dilution of 1:200 and developed using HRP Conjugated Rabbit IgG Super Vision Assay Kit (Catalog # SV0002) with DAB (Catalog # AR1027) as the chromogen.

IHC analysis of P glycoprotein/ABCB1 using anti-P glycoprotein/ABCB1 antibody (PB0162).
P glycoprotein/ABCB1 was detected in a paraffin-embedded section of human lung cancer tissue. The tissue section was incubated with rabbit anti-P glycoprotein/ABCB1 Antibody (PB0162) at a dilution of 1:200 and developed using HRP Conjugated Rabbit IgG Super Vision Assay Kit (Catalog # SV0002) with DAB (Catalog # AR1027) as the chromogen.

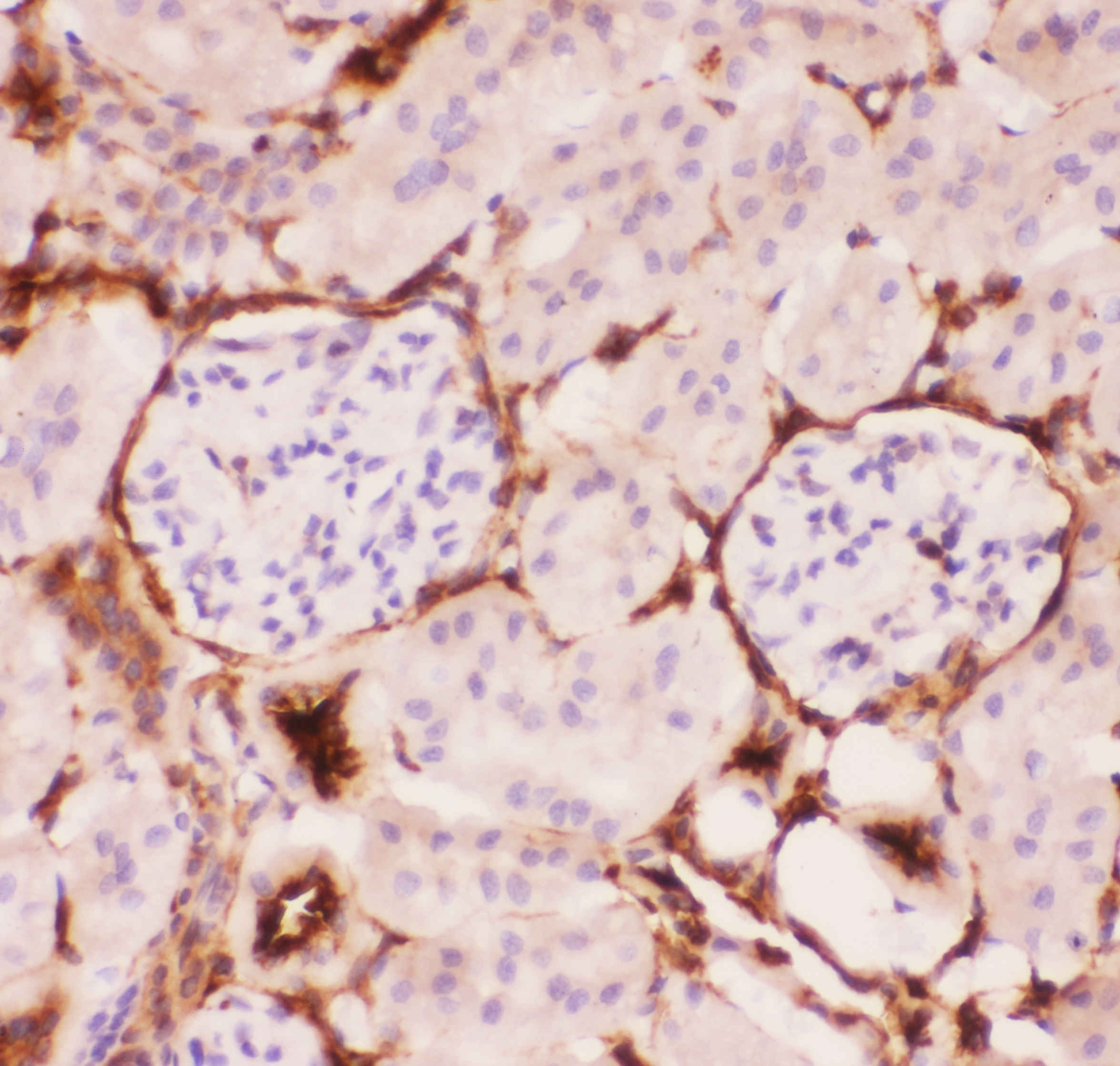
IHC analysis of P glycoprotein/ABCB1 using anti-P glycoprotein/ABCB1 antibody (PB0162).
P glycoprotein/ABCB1 was detected in a paraffin-embedded section of mouse kidney tissue. The tissue section was incubated with rabbit anti-P glycoprotein/ABCB1 Antibody (PB0162) at a dilution of 1:200 and developed using HRP Conjugated Rabbit IgG Super Vision Assay Kit (Catalog # SV0002) with DAB (Catalog # AR1027) as the chromogen.

IHC analysis of P glycoprotein/ABCB1 using anti-P glycoprotein/ABCB1 antibody (PB0162).
P glycoprotein/ABCB1 was detected in a paraffin-embedded section of rat kidney tissue. The tissue section was incubated with rabbit anti-P glycoprotein/ABCB1 Antibody (PB0162) at a dilution of 1:200 and developed using HRP Conjugated Rabbit IgG Super Vision Assay Kit (Catalog # SV0002) with DAB (Catalog # AR1027) as the chromogen.




