Rabbit Monoclonal antibody
| Western blot (WB): | 1:1000-5000 |
| Immunohistochemistry (IHC): | 1:50-200 |
| Immunocytochemistry/Immunofluorescence (ICC/IF): | 1:50-200 |
| ImmunoPrecipitation (IP): | 1:20 |
| Flow Cytometry (FCM): | 1:20 |

Western blot analysis of Phospho-PAK1/2/3 expression in HeLa Cell lysate treated with lambda phosphatase.

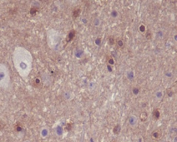
Immunohistochemical analysis of paraffin-embedded mouse brain, using Phospho-PAK1/2/3 (S144+S141+S139) Antibody.

All lanes use the Antibody for 1 hour at room temperature.

All lanes use the Antibody for 1 hour at room temperature.

All lanes use the Antibody for 1 hour at room temperature.

All lanes use the Antibody for 1 hour at room temperature.

Western blot analysis of Phospho-PAK1/2/3 expression in HeLa Cell lysate treated with lambda phosphatase.

Immunohistochemical analysis of paraffin-embedded mouse brain, using Phospho-PAK1/2/3 (S144+S141+S139) Antibody.

All lanes use the Antibody for 1 hour at room temperature.

All lanes use the Antibody for 1 hour at room temperature.

All lanes use the Antibody for 1 hour at room temperature.

All lanes use the Antibody for 1 hour at room temperature.











