| Western blot (WB): | 1:1000-5000 |
| Immunohistochemistry (IHC): | 1:50-200 |
| Immunocytochemistry/Immunofluorescence (ICC/IF): | 1:50-200 |
| ImmunoPrecipitation (IP): | 1:30 |

Western blot analysis of anti-STAT3 antibody (BM4835). The sample well of each lane was loaded with 30 ug of sample under reducing conditions.
Lane 1: human Hela whole cell lysates,
Lane 2: mouse NIH/3T3 whole cell lysates,
Lane 3: mouse RAW264.7 whole cell lysates.
After electrophoresis, proteins were transferred to a membrane. Then the membrane was incubated with rabbit anti-STAT3 antigen affinity purified monoclonal antibody (BM4835) at a dilution of 1:1000 and probed with a goat anti-rabbit IgG-HRP secondary antibody (Catalog # BA1054). The signal is developed using ECL Plus Western Blotting Substrate (Catalog # AR1197). A specific band was detected for STAT3 at approximately 88 kDa. The expected band size for STAT3 is at 88 kDa.

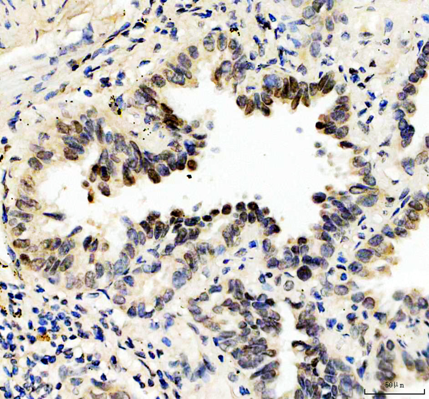
IHC analysis of STAT3 using anti-STAT3 antibody (BM4835).
STAT3 was detected in a paraffin-embedded section of human lung cancer tissue. The tissue section was incubated with rabbit anti-STAT3 Antibody (BM4835) at a dilution of 1:200 and developed using HRP Conjugated Rabbit IgG Super Vision Assay Kit (Catalog # SV0002) with DAB (Catalog # AR1027) as the chromogen.

Immunofluorescent analysis of HeLa cells treated with IFN-alpha, using Phospho-STAT3 (Y705) Antibody.

Western blot analysis of anti-STAT3 antibody (BM4835). The sample well of each lane was loaded with 30 ug of sample under reducing conditions.
Lane 1: human Hela whole cell lysates,
Lane 2: mouse NIH/3T3 whole cell lysates,
Lane 3: mouse RAW264.7 whole cell lysates.
After electrophoresis, proteins were transferred to a membrane. Then the membrane was incubated with rabbit anti-STAT3 antigen affinity purified monoclonal antibody (BM4835) at a dilution of 1:1000 and probed with a goat anti-rabbit IgG-HRP secondary antibody (Catalog # BA1054). The signal is developed using ECL Plus Western Blotting Substrate (Catalog # AR1197). A specific band was detected for STAT3 at approximately 88 kDa. The expected band size for STAT3 is at 88 kDa.

IHC analysis of STAT3 using anti-STAT3 antibody (BM4835).
STAT3 was detected in a paraffin-embedded section of human lung cancer tissue. The tissue section was incubated with rabbit anti-STAT3 Antibody (BM4835) at a dilution of 1:200 and developed using HRP Conjugated Rabbit IgG Super Vision Assay Kit (Catalog # SV0002) with DAB (Catalog # AR1027) as the chromogen.

Immunofluorescent analysis of HeLa cells treated with IFN-alpha, using Phospho-STAT3 (Y705) Antibody.




