| Western blot (WB): | 1:2000 |
| Immunohistochemistry (IHC): | 1:150 |

Immunohistochemical staining of paraffin-embedded Carcinoma of Human lung tissue using anti-CST3 mouse monoclonal antibody. (Heat-induced epitope retrieval by 10mM citric buffer, pH6.0, 100°C for 10min, M00961-2) (1:150)

Immunohistochemical staining of paraffin-embedded Human tonsil within the normal limits using anti-CST3 mouse monoclonal antibody. (Heat-induced epitope retrieval by 10mM citric buffer, pH6.0, 100°C for 10min, M00961-2) (1:150)

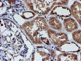
Immunohistochemical staining of paraffin-embedded Human Kidney tissue within the normal limits using anti-CST3 mouse monoclonal antibody. (Heat-induced epitope retrieval by 10mM citric buffer, pH6.0, 100°C for 10min, M00961-2) (1:150)

Western blot analysis of extracts (10ug) from 3 different cell lines by using anti-CST3 monoclonal antibody (1:200).

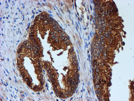
Immunohistochemical staining of paraffin-embedded Carcinoma of Human prostate tissue using anti-CST3 mouse monoclonal antibody. (Heat-induced epitope retrieval by 10mM citric buffer, pH6.0, 100°C for 10min, M00961-2) (1:150)

Immunohistochemical staining of paraffin-embedded Human breast tissue within the normal limits using anti-CST3 mouse monoclonal antibody. (Heat-induced epitope retrieval by 10mM citric buffer, pH6.0, 100°C for 10min, M00961-2) (1:150)

Western blot analysis of extracts (35ug) from human plasma by using anti-CST3 monoclonal antibody (1:500).

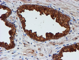
Immunohistochemical staining of paraffin-embedded Human prostate tissue within the normal limits using anti-CST3 mouse monoclonal antibody. (Heat-induced epitope retrieval by 10mM citric buffer, pH6.0, 100°C for 10min, M00961-2) (1:150)

Immunohistochemical staining of paraffin-embedded Adenocarcinoma of Human endometrium tissue using anti-CST3 mouse monoclonal antibody. (Heat-induced epitope retrieval by 10mM citric buffer, pH6.0, 100°C for 10min, M00961-2) (1:150)

Western blot analysis of extracts (35ug) from 3 different cell lines by using anti-CST3 monoclonal antibody (1:500).

HEK293T cells were transfected with the pCMV6-ENTRY control (Left lane) or pCMV6-ENTRY CST3 (Right lane) cDNA for 48 hrs and lysed. Equivalent amounts of cell lysates (5 ug per lane) were separated by SDS-PAGE and immunoblotted with anti-CST3 (Cat# M00961-2)(1:2000).

Immunohistochemical staining of paraffin-embedded Adenocarcinoma of Human ovary tissue using anti-CST3 mouse monoclonal antibody. (Heat-induced epitope retrieval by 10mM citric buffer, pH6.0, 100°C for 10min, M00961-2) (1:150)

Immunohistochemical staining of paraffin-embedded Carcinoma of Human lung tissue using anti-CST3 mouse monoclonal antibody. (Heat-induced epitope retrieval by 10mM citric buffer, pH6.0, 100°C for 10min, M00961-2) (1:150)

Immunohistochemical staining of paraffin-embedded Human tonsil within the normal limits using anti-CST3 mouse monoclonal antibody. (Heat-induced epitope retrieval by 10mM citric buffer, pH6.0, 100°C for 10min, M00961-2) (1:150)

Immunohistochemical staining of paraffin-embedded Human Kidney tissue within the normal limits using anti-CST3 mouse monoclonal antibody. (Heat-induced epitope retrieval by 10mM citric buffer, pH6.0, 100°C for 10min, M00961-2) (1:150)

Western blot analysis of extracts (10ug) from 3 different cell lines by using anti-CST3 monoclonal antibody (1:200).

Immunohistochemical staining of paraffin-embedded Carcinoma of Human prostate tissue using anti-CST3 mouse monoclonal antibody. (Heat-induced epitope retrieval by 10mM citric buffer, pH6.0, 100°C for 10min, M00961-2) (1:150)

Immunohistochemical staining of paraffin-embedded Human breast tissue within the normal limits using anti-CST3 mouse monoclonal antibody. (Heat-induced epitope retrieval by 10mM citric buffer, pH6.0, 100°C for 10min, M00961-2) (1:150)

Western blot analysis of extracts (35ug) from human plasma by using anti-CST3 monoclonal antibody (1:500).

Immunohistochemical staining of paraffin-embedded Human prostate tissue within the normal limits using anti-CST3 mouse monoclonal antibody. (Heat-induced epitope retrieval by 10mM citric buffer, pH6.0, 100°C for 10min, M00961-2) (1:150)

Immunohistochemical staining of paraffin-embedded Adenocarcinoma of Human endometrium tissue using anti-CST3 mouse monoclonal antibody. (Heat-induced epitope retrieval by 10mM citric buffer, pH6.0, 100°C for 10min, M00961-2) (1:150)

Western blot analysis of extracts (35ug) from 3 different cell lines by using anti-CST3 monoclonal antibody (1:500).

HEK293T cells were transfected with the pCMV6-ENTRY control (Left lane) or pCMV6-ENTRY CST3 (Right lane) cDNA for 48 hrs and lysed. Equivalent amounts of cell lysates (5 ug per lane) were separated by SDS-PAGE and immunoblotted with anti-CST3 (Cat# M00961-2)(1:2000).

Immunohistochemical staining of paraffin-embedded Adenocarcinoma of Human ovary tissue using anti-CST3 mouse monoclonal antibody. (Heat-induced epitope retrieval by 10mM citric buffer, pH6.0, 100°C for 10min, M00961-2) (1:150)











