| Western blot (WB): | 1:500-2000 |
| Immunohistochemistry (IHC): | 1:50-400 |
| ELISA(Cap): | 1:50-1:200 |
| (Boiling the paraffin sections in 10mM citrate buffer,pH6.0,or PH8.0 EDTA repair liquid for 20 mins is required for the staining of formalin/paraffin sections.) Optimal working dilutions must be determined by end user. | |

Western blot analysis of TNF Alpha/TNFA using anti-TNF Alpha/TNFA antibody (A00002-3).
Lane 1: recombinant human TNF Alpha/TNFA protein 10 ng,
Lane 2: recombinant human TNF Alpha/TNFA protein 5 ng,
Lane 3: recombinant human TNF Alpha/TNFA protein 1 ng,
Lane 4: recombinant human TNF Alpha/TNFA protein 0.5 ng.
After electrophoresis, proteins were transferred to a membrane. Then the membrane was incubated with rabbit anti-TNF Alpha/TNFA antigen affinity purified polyclonal antibody (A00002-3) at a dilution of 1:1000 and probed with a goat anti-rabbit IgG-HRP secondary antibody (Catalog # BA1054). The signal is developed using ECL Plus Western Blotting Substrate (Catalog # AR1197). A specific band was detected for TNF Alpha/TNFA at approximately 17 kDa.

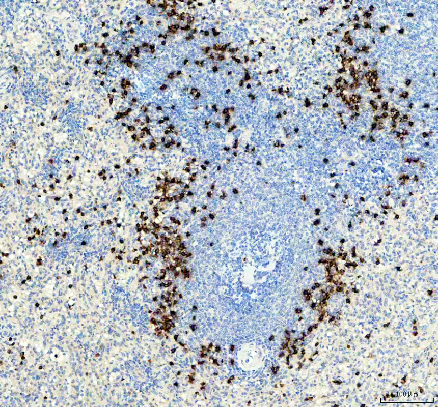
IHC analysis of TNF Alpha/TNFA using anti-TNF Alpha/TNFA antibody (A00002-3).
TNF Alpha/TNFA was detected in a paraffin-embedded section of human spleen tissue. The tissue section was incubated with rabbit anti-TNF Alpha/TNFA Antibody (A00002-3) at a dilution of 1:200 and developed using HRP Conjugated Rabbit IgG Super Vision Assay Kit (Catalog # SV0002) with DAB (Catalog # AR1027) as the chromogen.

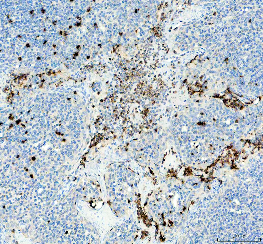
IHC analysis of TNF Alpha/TNFA using anti-TNF Alpha/TNFA antibody (A00002-3).
TNF Alpha/TNFA was detected in a paraffin-embedded section of human tonsil tissue. The tissue section was incubated with rabbit anti-TNF Alpha/TNFA Antibody (A00002-3) at a dilution of 1:200 and developed using HRP Conjugated Rabbit IgG Super Vision Assay Kit (Catalog # SV0002) with DAB (Catalog # AR1027) as the chromogen.

Western blot analysis of TNF Alpha/TNFA using anti-TNF Alpha/TNFA antibody (A00002-3).
Lane 1: recombinant human TNF Alpha/TNFA protein 10 ng,
Lane 2: recombinant human TNF Alpha/TNFA protein 5 ng,
Lane 3: recombinant human TNF Alpha/TNFA protein 1 ng,
Lane 4: recombinant human TNF Alpha/TNFA protein 0.5 ng.
After electrophoresis, proteins were transferred to a membrane. Then the membrane was incubated with rabbit anti-TNF Alpha/TNFA antigen affinity purified polyclonal antibody (A00002-3) at a dilution of 1:1000 and probed with a goat anti-rabbit IgG-HRP secondary antibody (Catalog # BA1054). The signal is developed using ECL Plus Western Blotting Substrate (Catalog # AR1197). A specific band was detected for TNF Alpha/TNFA at approximately 17 kDa.

IHC analysis of TNF Alpha/TNFA using anti-TNF Alpha/TNFA antibody (A00002-3).
TNF Alpha/TNFA was detected in a paraffin-embedded section of human spleen tissue. The tissue section was incubated with rabbit anti-TNF Alpha/TNFA Antibody (A00002-3) at a dilution of 1:200 and developed using HRP Conjugated Rabbit IgG Super Vision Assay Kit (Catalog # SV0002) with DAB (Catalog # AR1027) as the chromogen.

IHC analysis of TNF Alpha/TNFA using anti-TNF Alpha/TNFA antibody (A00002-3).
TNF Alpha/TNFA was detected in a paraffin-embedded section of human tonsil tissue. The tissue section was incubated with rabbit anti-TNF Alpha/TNFA Antibody (A00002-3) at a dilution of 1:200 and developed using HRP Conjugated Rabbit IgG Super Vision Assay Kit (Catalog # SV0002) with DAB (Catalog # AR1027) as the chromogen.




