| Western blot (WB): | 1:500-2000 |
| Immunohistochemistry (IHC): | 1:50-400 |
| Immunocytochemistry/Immunofluorescence (ICC/IF): | 1:50-400 |
| ImmunoPrecipitation (IP): | 1:250-300 |
| (Boiling the paraffin sections in 10mM citrate buffer,pH6.0,or PH8.0 EDTA repair liquid for 20 mins is required for the staining of formalin/paraffin sections.) Optimal working dilutions must be determined by end user. | |

Western blot analysis of OGG1 using anti-OGG1 antibody (A00768-1). The sample well of each lane was loaded with 30 ug of sample under reducing conditions.
Lane 1: human A549 whole cell lysates,
Lane 2: human HepG2 whole cell lysates,
Lane 3: human Hela whole cell lysates,
Lane 4: human 293T whole cell lysates.
After electrophoresis, proteins were transferred to a membrane. Then the membrane was incubated with rabbit anti-OGG1 antigA03957-Aen affinity purified polyclonal antibody (A00768-1) at a dilution of 1:1000 and probed with a goat anti-rabbit IgG-HRP secondary antibody (Catalog # BA1054). The signal is developed using ECL Plus Western Blotting Substrate (Catalog # AR1197). A specific band was detected for OGG1 at approximately 39 kDa. The expected band size for OGG1 is at 39 kDa.

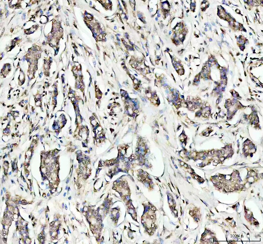
IHC analysis of OGG1 using anti-OGG1 antibody (A00768-1).
OGG1 was detected in a paraffin-embedded section of human breast cancer tissue. The tissue section was incubated with rabbit anti-OGG1 Antibody (A00768-1) at a dilution of 1:200 and developed using HRP Conjugated Rabbit IgG Super Vision Assay Kit (Catalog # SV0002) with DAB (Catalog # AR1027) as the chromogen.

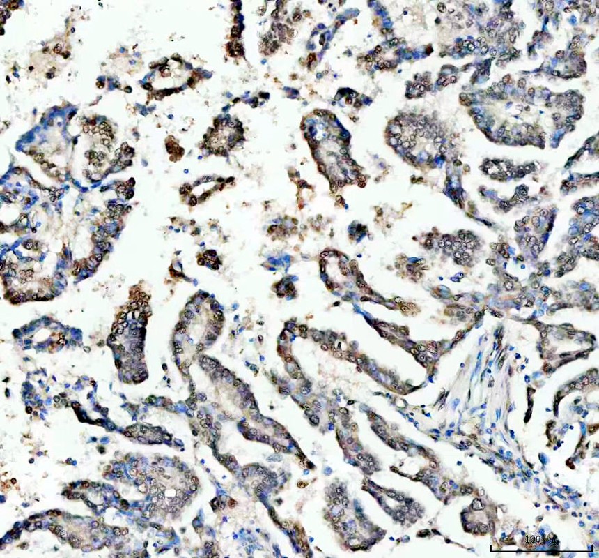
IHC analysis of OGG1 using anti-OGG1 antibody (A00768-1).
OGG1 was detected in a paraffin-embedded section of human lung cancer tissue. The tissue section was incubated with rabbit anti-OGG1 Antibody (A00768-1) at a dilution of 1:200 and developed using HRP Conjugated Rabbit IgG Super Vision Assay Kit (Catalog # SV0002) with DAB (Catalog # AR1027) as the chromogen.

ICC/IF analysis of OGG1 using anti-OGG1 antibody (A00768-1) and anti-Beta Tubulin antibody (M01857-3).
OGG1 was detected in an immunocytochemical section of Hela cells. The section was incubated with rabbit anti-OGG1 Antibody (A00768-1) at a dilution of 1:100. Fluoro488-conjugated Anti-rabbit IgG Secondary Antibody (green) (Catalog # BA1127) and Cy3-conjugated Anti-mouse IgG Secondary Antibody (red) (Catalog # BA1031) were used as secondary antibody.

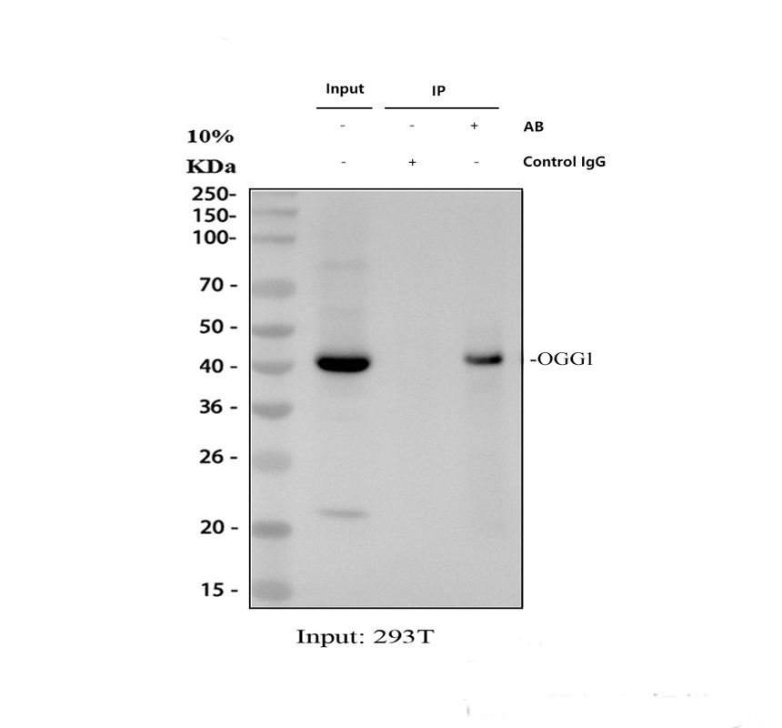
IP analysis of OGG1 using anti-OGG1 antibody (A00768-1) in 293T whole cell lysate.
Western blot analysis of OGG1 using anti- OGG1 antibody (A00768-1).
Lane 1: 293T whole cell lysates(30ug),
Lane 2: Rabbit control IgG instead of anti- OGG1 antibody in 293T whole cell lysate,
Lane 3: anti- OGG1 antibody (2μg) + 293T whole cell lysate (500μg).
After electrophoresis, proteins were transferred to a membrane. Then the membrane was incubated with rabbit anti- OGG1 antigen affinity purified polyclonal antibody (A00768-1) at a dilution of 1:1000 and probed with a goat anti-rabbit IgG-HRP secondary antibody (Catalog # BA1054). The signal is developed using ECL Plus Western Blotting Substrate (Catalog # AR1197). A specific band was detected for OGG1 at approximately 39 kDa. The expected band size for OGG1 is at 39 kDa.

Western blot analysis of OGG1 using anti-OGG1 antibody (A00768-1). The sample well of each lane was loaded with 30 ug of sample under reducing conditions.
Lane 1: human A549 whole cell lysates,
Lane 2: human HepG2 whole cell lysates,
Lane 3: human Hela whole cell lysates,
Lane 4: human 293T whole cell lysates.
After electrophoresis, proteins were transferred to a membrane. Then the membrane was incubated with rabbit anti-OGG1 antigA03957-Aen affinity purified polyclonal antibody (A00768-1) at a dilution of 1:1000 and probed with a goat anti-rabbit IgG-HRP secondary antibody (Catalog # BA1054). The signal is developed using ECL Plus Western Blotting Substrate (Catalog # AR1197). A specific band was detected for OGG1 at approximately 39 kDa. The expected band size for OGG1 is at 39 kDa.

IHC analysis of OGG1 using anti-OGG1 antibody (A00768-1).
OGG1 was detected in a paraffin-embedded section of human breast cancer tissue. The tissue section was incubated with rabbit anti-OGG1 Antibody (A00768-1) at a dilution of 1:200 and developed using HRP Conjugated Rabbit IgG Super Vision Assay Kit (Catalog # SV0002) with DAB (Catalog # AR1027) as the chromogen.

IHC analysis of OGG1 using anti-OGG1 antibody (A00768-1).
OGG1 was detected in a paraffin-embedded section of human lung cancer tissue. The tissue section was incubated with rabbit anti-OGG1 Antibody (A00768-1) at a dilution of 1:200 and developed using HRP Conjugated Rabbit IgG Super Vision Assay Kit (Catalog # SV0002) with DAB (Catalog # AR1027) as the chromogen.

ICC/IF analysis of OGG1 using anti-OGG1 antibody (A00768-1) and anti-Beta Tubulin antibody (M01857-3).
OGG1 was detected in an immunocytochemical section of Hela cells. The section was incubated with rabbit anti-OGG1 Antibody (A00768-1) at a dilution of 1:100. Fluoro488-conjugated Anti-rabbit IgG Secondary Antibody (green) (Catalog # BA1127) and Cy3-conjugated Anti-mouse IgG Secondary Antibody (red) (Catalog # BA1031) were used as secondary antibody.

IP analysis of OGG1 using anti-OGG1 antibody (A00768-1) in 293T whole cell lysate.
Western blot analysis of OGG1 using anti- OGG1 antibody (A00768-1).
Lane 1: 293T whole cell lysates(30ug),
Lane 2: Rabbit control IgG instead of anti- OGG1 antibody in 293T whole cell lysate,
Lane 3: anti- OGG1 antibody (2μg) + 293T whole cell lysate (500μg).
After electrophoresis, proteins were transferred to a membrane. Then the membrane was incubated with rabbit anti- OGG1 antigen affinity purified polyclonal antibody (A00768-1) at a dilution of 1:1000 and probed with a goat anti-rabbit IgG-HRP secondary antibody (Catalog # BA1054). The signal is developed using ECL Plus Western Blotting Substrate (Catalog # AR1197). A specific band was detected for OGG1 at approximately 39 kDa. The expected band size for OGG1 is at 39 kDa.




