| Western blot (WB): | 1:500-2000 |
| Immunocytochemistry/Immunofluorescence(ICC/IF): | 1:50-400 |

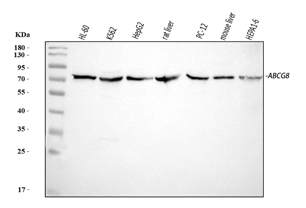
Western blot analysis of ABCG8 using anti-ABCG8 antibody (A01482-1). The sample well of each lane was loaded with 30 ug of sample under reducing conditions.
Lane 1: HL-60 whole cell lysates,
Lane 2: K562 whole cell lysates,
Lane 3: HEPG2 whole cell lysates,
Lane 4: rat liver tissue lysates,
Lane 5: PC-12 whole cell lysates,
Lane 6: mouse liver tissue lysates,
Lane 7: HEPA1-6 whole cell lysates.
After electrophoresis, proteins were transferred to a membrane. Then the membrane was incubated with rabbit anti-ABCG8 antigen affinity purified polyclonal antibody (A01482-1) at a dilution of 1:1000 and probed with a goat anti-rabbit IgG-HRP secondary antibody (Catalog # BA1054). The signal is developed using ECL Plus Western Blotting Substrate (Catalog # AR1197). A specific band was detected for ABCG8 at approximately 76 kDa. The expected band size for ABCG8 is at 76 kDa.

ICC/IF analysis of ABCG8 using anti-ABCG8 antibody (A01482-1).
ABCG8 was detected in an immunocytochemical section of HepG2 cells. The section was incubated with rabbit anti-ABCG8 Antibody (A01482-1) at a dilution of 1:100. Fluoro488 Conjugated Goat Anti-Rabbit IgG (Green) (Catalog # BA1127) was used as secondary antibody. The section was counterstained with DAPI (Catalog # AR1176) (Blue).

Western blot analysis of ABCG8 using anti-ABCG8 antibody (A01482-1). The sample well of each lane was loaded with 30 ug of sample under reducing conditions.
Lane 1: HL-60 whole cell lysates,
Lane 2: K562 whole cell lysates,
Lane 3: HEPG2 whole cell lysates,
Lane 4: rat liver tissue lysates,
Lane 5: PC-12 whole cell lysates,
Lane 6: mouse liver tissue lysates,
Lane 7: HEPA1-6 whole cell lysates.
After electrophoresis, proteins were transferred to a membrane. Then the membrane was incubated with rabbit anti-ABCG8 antigen affinity purified polyclonal antibody (A01482-1) at a dilution of 1:1000 and probed with a goat anti-rabbit IgG-HRP secondary antibody (Catalog # BA1054). The signal is developed using ECL Plus Western Blotting Substrate (Catalog # AR1197). A specific band was detected for ABCG8 at approximately 76 kDa. The expected band size for ABCG8 is at 76 kDa.

ICC/IF analysis of ABCG8 using anti-ABCG8 antibody (A01482-1).
ABCG8 was detected in an immunocytochemical section of HepG2 cells. The section was incubated with rabbit anti-ABCG8 Antibody (A01482-1) at a dilution of 1:100. Fluoro488 Conjugated Goat Anti-Rabbit IgG (Green) (Catalog # BA1127) was used as secondary antibody. The section was counterstained with DAPI (Catalog # AR1176) (Blue).

