| Western blot (WB): | 1:500-2000 |
| Immunohistochemistry (IHC): | 1:50-400 |
| (Boiling the paraffin sections in 10mM citrate buffer,pH6.0,or PH8.0 EDTA repair liquid for 20 mins is required for the staining of formalin/paraffin sections.) Optimal working dilutions must be determined by end user. | |

Western blot analysis of Cytochrome c/CYCS using anti-Cytochrome c/CYCS antibody (A03529). The sample well of each lane was loaded with 30 ug of sample under reducing conditions.
Lane 1: human HL-60 whole cell lysates,
Lane 2: human K562 whole cell lysates,
Lane 3: human U-937 whole cell lysates,
Lane 4: human U2OS whole cell lysates,
Lane 5: human T-47D whole cell lysates,
Lane 6: human PC-3 whole cell lysates,
Lane 7: human Caco-2 whole cell lysates.
After electrophoresis, proteins were transferred to a membrane. Then the membrane was incubated with rabbit anti-Cytochrome c/CYCS antigen affinity purified polyclonal antibody (A03529) at a dilution of 1:1000 and probed with a goat anti-rabbit IgG-HRP secondary antibody (Catalog # BA1054). The signal is developed using ECL Plus Western Blotting Substrate (Catalog # AR1197). A specific band was detected for Cytochrome c/CYCS at approximately 14 kDa. The expected band size for Cytochrome c/CYCS is at 12 kDa.

Western blot analysis of Cytochrome c/CYCS using anti-Cytochrome c/CYCS antibody (A03529). The sample well of each lane was loaded with 30 ug of sample under reducing conditions.
Lane 1: rat brain tissue lysates,
Lane 2: rat heart tissue lysates,
Lane 3: rat kidney tissue lysates,
Lane 4: rat C6 whole cell lysates,
Lane 5: mouse brain tissue lysates,
Lane 6: mouse heart tissue lysates,
Lane 7: mouse kidney tissue lysates,
Lane 8: mouse Neuro-2a whole cell lysates.
After electrophoresis, proteins were transferred to a membrane. Then the membrane was incubated with rabbit anti-Cytochrome c/CYCS antigen affinity purified polyclonal antibody (A03529) at a dilution of 1:1000 and probed with a goat anti-rabbit IgG-HRP secondary antibody (Catalog # BA1054). The signal is developed using ECL Plus Western Blotting Substrate (Catalog # AR1197). A specific band was detected for Cytochrome c/CYCS at approximately 14 kDa. The expected band size for Cytochrome c/CYCS is at 12 kDa.

IHC analysis of Cytochrome c/CYCS using anti-Cytochrome c/CYCS antibody (A03529).
Cytochrome c/CYCS was detected in a paraffin-embedded section of mouse brain tissue. Biotinylated goat anti-rabbit IgG was used as secondary antibody. The tissue section was incubated with rabbit anti-Cytochrome c/CYCS Antibody (A03529) at a dilution of 1:200 and developed using Strepavidin-Biotin-Complex (SABC) (Catalog # SA1022) with DAB (Catalog # AR1027) as the chromogen.

IHC analysis of Cytochrome c/CYCS using anti-Cytochrome c/CYCS antibody (A03529).
Cytochrome c/CYCS was detected in a paraffin-embedded section of mouse intestine tissue. Biotinylated goat anti-rabbit IgG was used as secondary antibody. The tissue section was incubated with rabbit anti-Cytochrome c/CYCS Antibody (A03529) at a dilution of 1:200 and developed using Strepavidin-Biotin-Complex (SABC) (Catalog # SA1022) with DAB (Catalog # AR1027) as the chromogen.

IHC analysis of Cytochrome c/CYCS using anti-Cytochrome c/CYCS antibody (A03529).
Cytochrome c/CYCS was detected in a paraffin-embedded section of rat brain tissue. Biotinylated goat anti-rabbit IgG was used as secondary antibody. The tissue section was incubated with rabbit anti-Cytochrome c/CYCS Antibody (A03529) at a dilution of 1:200 and developed using Strepavidin-Biotin-Complex (SABC) (Catalog # SA1022) with DAB (Catalog # AR1027) as the chromogen.

IHC analysis of Cytochrome c/CYCS using anti-Cytochrome c/CYCS antibody (A03529).
Cytochrome c/CYCS was detected in a paraffin-embedded section of rat intestine tissue. Biotinylated goat anti-rabbit IgG was used as secondary antibody. The tissue section was incubated with rabbit anti-Cytochrome c/CYCS Antibody (A03529) at a dilution of 1:200 and developed using Strepavidin-Biotin-Complex (SABC) (Catalog # SA1022) with DAB (Catalog # AR1027) as the chromogen.

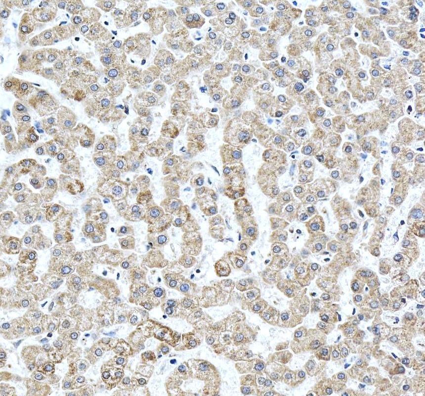
IHC analysis of Cytochrome c/CYCS using anti-Cytochrome c/CYCS antibody (A03529).
Cytochrome c/CYCS was detected in a paraffin-embedded section of human liver tissue. The tissue section was incubated with rabbit anti-Cytochrome c/CYCS Antibody (A03529) at a dilution of 1:200 and developed using HRP Conjugated Rabbit IgG Super Vision Assay Kit (Catalog # SV0002) with DAB (Catalog # AR1027) as the chromogen.

Western blot analysis of Cytochrome c/CYCS using anti-Cytochrome c/CYCS antibody (A03529). The sample well of each lane was loaded with 30 ug of sample under reducing conditions.
Lane 1: human HL-60 whole cell lysates,
Lane 2: human K562 whole cell lysates,
Lane 3: human U-937 whole cell lysates,
Lane 4: human U2OS whole cell lysates,
Lane 5: human T-47D whole cell lysates,
Lane 6: human PC-3 whole cell lysates,
Lane 7: human Caco-2 whole cell lysates.
After electrophoresis, proteins were transferred to a membrane. Then the membrane was incubated with rabbit anti-Cytochrome c/CYCS antigen affinity purified polyclonal antibody (A03529) at a dilution of 1:1000 and probed with a goat anti-rabbit IgG-HRP secondary antibody (Catalog # BA1054). The signal is developed using ECL Plus Western Blotting Substrate (Catalog # AR1197). A specific band was detected for Cytochrome c/CYCS at approximately 14 kDa. The expected band size for Cytochrome c/CYCS is at 12 kDa.

Western blot analysis of Cytochrome c/CYCS using anti-Cytochrome c/CYCS antibody (A03529). The sample well of each lane was loaded with 30 ug of sample under reducing conditions.
Lane 1: rat brain tissue lysates,
Lane 2: rat heart tissue lysates,
Lane 3: rat kidney tissue lysates,
Lane 4: rat C6 whole cell lysates,
Lane 5: mouse brain tissue lysates,
Lane 6: mouse heart tissue lysates,
Lane 7: mouse kidney tissue lysates,
Lane 8: mouse Neuro-2a whole cell lysates.
After electrophoresis, proteins were transferred to a membrane. Then the membrane was incubated with rabbit anti-Cytochrome c/CYCS antigen affinity purified polyclonal antibody (A03529) at a dilution of 1:1000 and probed with a goat anti-rabbit IgG-HRP secondary antibody (Catalog # BA1054). The signal is developed using ECL Plus Western Blotting Substrate (Catalog # AR1197). A specific band was detected for Cytochrome c/CYCS at approximately 14 kDa. The expected band size for Cytochrome c/CYCS is at 12 kDa.

IHC analysis of Cytochrome c/CYCS using anti-Cytochrome c/CYCS antibody (A03529).
Cytochrome c/CYCS was detected in a paraffin-embedded section of mouse brain tissue. Biotinylated goat anti-rabbit IgG was used as secondary antibody. The tissue section was incubated with rabbit anti-Cytochrome c/CYCS Antibody (A03529) at a dilution of 1:200 and developed using Strepavidin-Biotin-Complex (SABC) (Catalog # SA1022) with DAB (Catalog # AR1027) as the chromogen.

IHC analysis of Cytochrome c/CYCS using anti-Cytochrome c/CYCS antibody (A03529).
Cytochrome c/CYCS was detected in a paraffin-embedded section of mouse intestine tissue. Biotinylated goat anti-rabbit IgG was used as secondary antibody. The tissue section was incubated with rabbit anti-Cytochrome c/CYCS Antibody (A03529) at a dilution of 1:200 and developed using Strepavidin-Biotin-Complex (SABC) (Catalog # SA1022) with DAB (Catalog # AR1027) as the chromogen.

IHC analysis of Cytochrome c/CYCS using anti-Cytochrome c/CYCS antibody (A03529).
Cytochrome c/CYCS was detected in a paraffin-embedded section of rat brain tissue. Biotinylated goat anti-rabbit IgG was used as secondary antibody. The tissue section was incubated with rabbit anti-Cytochrome c/CYCS Antibody (A03529) at a dilution of 1:200 and developed using Strepavidin-Biotin-Complex (SABC) (Catalog # SA1022) with DAB (Catalog # AR1027) as the chromogen.

IHC analysis of Cytochrome c/CYCS using anti-Cytochrome c/CYCS antibody (A03529).
Cytochrome c/CYCS was detected in a paraffin-embedded section of rat intestine tissue. Biotinylated goat anti-rabbit IgG was used as secondary antibody. The tissue section was incubated with rabbit anti-Cytochrome c/CYCS Antibody (A03529) at a dilution of 1:200 and developed using Strepavidin-Biotin-Complex (SABC) (Catalog # SA1022) with DAB (Catalog # AR1027) as the chromogen.

IHC analysis of Cytochrome c/CYCS using anti-Cytochrome c/CYCS antibody (A03529).
Cytochrome c/CYCS was detected in a paraffin-embedded section of human liver tissue. The tissue section was incubated with rabbit anti-Cytochrome c/CYCS Antibody (A03529) at a dilution of 1:200 and developed using HRP Conjugated Rabbit IgG Super Vision Assay Kit (Catalog # SV0002) with DAB (Catalog # AR1027) as the chromogen.






