| Western blot (WB): | 1:500-2000 |
| Immunohistochemistry (IHC): | 1:50-400 |
| Flow Cytometry (Fixed): | 1:50-200 |
| Enzyme linked immunosorbent assay (ELISA): | 1:100-1000 |
| (Boiling the paraffin sections in 10mM citrate buffer,pH6.0,or PH8.0 EDTA repair liquid for 20 mins is required for the staining of formalin/paraffin sections.) Optimal working dilutions must be determined by end user. | |

Western blot analysis of SGLT2/SLC5A2 using anti-SGLT2/SLC5A2 antibody (A03748-1). The sample well of each lane was loaded with 30 ug of sample under reducing conditions.
Lane 1: human HL-60 whole cell lysates,
Lane 2: human THP-1 whole cell lysates,
Lane 3: rat kidney tissue lysates,
Lane 4: rat spleen tissue lysates,
Lane 5: rat lung tissue lysates,
Lane 6: mouse kidney tissue lysates,
Lane 7: mouse spleen tissue lysates,
Lane 8: mouse lung tissue lysates.
After electrophoresis, proteins were transferred to a membrane. Then the membrane was incubated with rabbit anti-SGLT2/SLC5A2 antigen affinity purified polyclonal antibody (A03748-1) at a dilution of 1:1000 and probed with a goat anti-rabbit IgG-HRP secondary antibody (Catalog # BA1054). The signal is developed using ECL Plus Western Blotting Substrate (Catalog # AR1197). A specific band was detected for SGLT2/SLC5A2 at approximately 73 kDa. The expected band size for SGLT2/SLC5A2 is at 73 kDa.

IHC analysis of SGLT2/SLC5A2 using anti-SGLT2/SLC5A2 antibody (A03748-1).
SGLT2/SLC5A2 was detected in a paraffin-embedded section of human renal cancer tissue. Biotinylated goat anti-rabbit IgG was used as secondary antibody. The tissue section was incubated with rabbit anti-SGLT2/SLC5A2 Antibody (A03748-1) at a dilution of 1:200 and developed using Strepavidin-Biotin-Complex (SABC) (Catalog # SA1022) with DAB (Catalog # AR1027) as the chromogen.

IHC analysis of SGLT2/SLC5A2 using anti-SGLT2/SLC5A2 antibody (A03748-1).
SGLT2/SLC5A2 was detected in a paraffin-embedded section of mouse kidney tissue. Biotinylated goat anti-rabbit IgG was used as secondary antibody. The tissue section was incubated with rabbit anti-SGLT2/SLC5A2 Antibody (A03748-1) at a dilution of 1:200 and developed using Strepavidin-Biotin-Complex (SABC) (Catalog # SA1022) with DAB (Catalog # AR1027) as the chromogen.

IHC analysis of SGLT2/SLC5A2 using anti-SGLT2/SLC5A2 antibody (A03748-1).
SGLT2/SLC5A2 was detected in a paraffin-embedded section of rat kidney tissue. Biotinylated goat anti-rabbit IgG was used as secondary antibody. The tissue section was incubated with rabbit anti-SGLT2/SLC5A2 Antibody (A03748-1) at a dilution of 1:200 and developed using Strepavidin-Biotin-Complex (SABC) (Catalog # SA1022) with DAB (Catalog # AR1027) as the chromogen.

Flow Cytometry analysis of HepG2 cells using anti- SLC5A2 antibody (A03748-1).
Overlay histogram showing HepG2 cells stained with A03748-1 (Blue line).. And then incubated with rabbit anti-SLC5A2 Antibody (A03748-1, 1:100) for 30 min at 20°C. Fluoro488 conjugated goat anti-rabbit IgG (BA1127, 1:100) was used as secondary antibody Isotype control antibody (Green line) was rabbit IgG (1:100) used under the same conditions. Unlabelled sample (Red line) was also used as a control.

Western blot analysis of SGLT2/SLC5A2 using anti-SGLT2/SLC5A2 antibody (A03748-1). The sample well of each lane was loaded with 30 ug of sample under reducing conditions.
Lane 1: human HL-60 whole cell lysates,
Lane 2: human THP-1 whole cell lysates,
Lane 3: rat kidney tissue lysates,
Lane 4: rat spleen tissue lysates,
Lane 5: rat lung tissue lysates,
Lane 6: mouse kidney tissue lysates,
Lane 7: mouse spleen tissue lysates,
Lane 8: mouse lung tissue lysates.
After electrophoresis, proteins were transferred to a membrane. Then the membrane was incubated with rabbit anti-SGLT2/SLC5A2 antigen affinity purified polyclonal antibody (A03748-1) at a dilution of 1:1000 and probed with a goat anti-rabbit IgG-HRP secondary antibody (Catalog # BA1054). The signal is developed using ECL Plus Western Blotting Substrate (Catalog # AR1197). A specific band was detected for SGLT2/SLC5A2 at approximately 73 kDa. The expected band size for SGLT2/SLC5A2 is at 73 kDa.

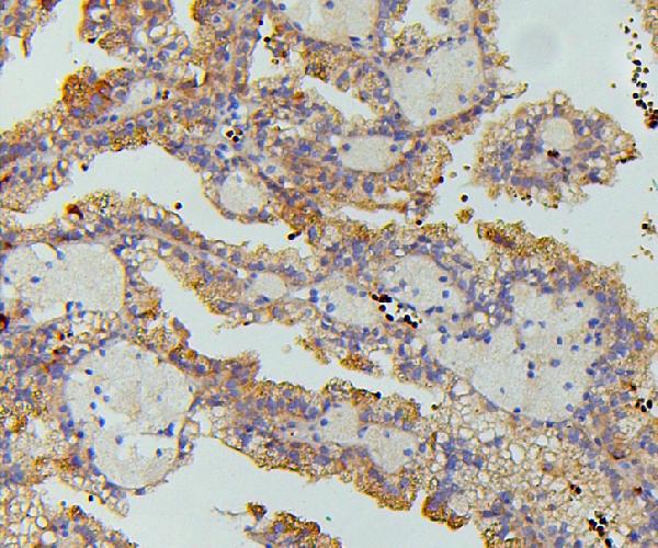
IHC analysis of SGLT2/SLC5A2 using anti-SGLT2/SLC5A2 antibody (A03748-1).
SGLT2/SLC5A2 was detected in a paraffin-embedded section of human renal cancer tissue. Biotinylated goat anti-rabbit IgG was used as secondary antibody. The tissue section was incubated with rabbit anti-SGLT2/SLC5A2 Antibody (A03748-1) at a dilution of 1:200 and developed using Strepavidin-Biotin-Complex (SABC) (Catalog # SA1022) with DAB (Catalog # AR1027) as the chromogen.

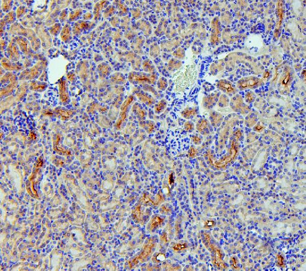
IHC analysis of SGLT2/SLC5A2 using anti-SGLT2/SLC5A2 antibody (A03748-1).
SGLT2/SLC5A2 was detected in a paraffin-embedded section of mouse kidney tissue. Biotinylated goat anti-rabbit IgG was used as secondary antibody. The tissue section was incubated with rabbit anti-SGLT2/SLC5A2 Antibody (A03748-1) at a dilution of 1:200 and developed using Strepavidin-Biotin-Complex (SABC) (Catalog # SA1022) with DAB (Catalog # AR1027) as the chromogen.

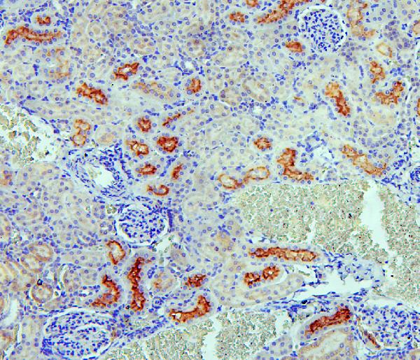
IHC analysis of SGLT2/SLC5A2 using anti-SGLT2/SLC5A2 antibody (A03748-1).
SGLT2/SLC5A2 was detected in a paraffin-embedded section of rat kidney tissue. Biotinylated goat anti-rabbit IgG was used as secondary antibody. The tissue section was incubated with rabbit anti-SGLT2/SLC5A2 Antibody (A03748-1) at a dilution of 1:200 and developed using Strepavidin-Biotin-Complex (SABC) (Catalog # SA1022) with DAB (Catalog # AR1027) as the chromogen.

Flow Cytometry analysis of HepG2 cells using anti- SLC5A2 antibody (A03748-1).
Overlay histogram showing HepG2 cells stained with A03748-1 (Blue line).. And then incubated with rabbit anti-SLC5A2 Antibody (A03748-1, 1:100) for 30 min at 20°C. Fluoro488 conjugated goat anti-rabbit IgG (BA1127, 1:100) was used as secondary antibody Isotype control antibody (Green line) was rabbit IgG (1:100) used under the same conditions. Unlabelled sample (Red line) was also used as a control.






