| Western blot (WB): | 1:500-2000 |
| Immunohistochemistry (IHC): | 1:50-400 |
| Enzyme linked immunosorbent assay (ELISA): | 1:100-1000 |
| (Boiling the paraffin sections in 10mM citrate buffer,pH6.0,or PH8.0 EDTA repair liquid for 20 mins is required for the staining of formalin/paraffin sections.) Optimal working dilutions must be determined by end user. | |

Western blot analysis of anti-EPHB3 antibody (A04659). The sample well of each lane was loaded with 30 ug of sample under reducing conditions.
Lane 1: human A431 whole cell lysates,
Lane 2: human Hacat whole cell lysates,
Lane 3: rat brain tissue lysates,
Lane 4: rat stomach tissue lysates,
Lane 5: rat lung tissue lysates,
Lane 6: mouse brain tissue lysates,
Lane 7: mouse stomach tissue lysates,
Lane 8: mouse lung tissue lysates.
After electrophoresis, proteins were transferred to a membrane. Then the membrane was incubated with rabbit anti-EPHB3 antigen affinity purified polyclonal antibody (A04659) and probed with a goat anti-rabbit IgG-HRP secondary antibody (Catalog # BA1054). The signal is developed using ECL Plus Western Blotting Substrate (Catalog # AR1197). A specific band was detected for EPHB3 at approximately 110 kDa. The expected band size for EPHB3 is at 110-130 kDa.

IHC analysis of EPHB3 using anti-EPHB3 antibody (A04659).
EPHB3 was detected in a paraffin-embedded section of human glioma tissue. The tissue section was incubated with rabbit anti-EPHB3 Antibody (A04659) at a dilution of 1:200 and developed using HRP Conjugated Rabbit IgG Super Vision Assay Kit (Catalog # SV0002) with DAB (Catalog # AR1027) as the chromogen.

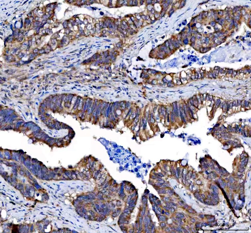
IHC analysis of EPHB3 using anti-EPHB3 antibody (A04659).
EPHB3 was detected in a paraffin-embedded section of human colon cancer tissue. The tissue section was incubated with rabbit anti-EPHB3 Antibody (A04659) at a dilution of 1:200 and developed using HRP Conjugated Rabbit IgG Super Vision Assay Kit (Catalog # SV0002) with DAB (Catalog # AR1027) as the chromogen.

Western blot analysis of anti-EPHB3 antibody (A04659). The sample well of each lane was loaded with 30 ug of sample under reducing conditions.
Lane 1: human A431 whole cell lysates,
Lane 2: human Hacat whole cell lysates,
Lane 3: rat brain tissue lysates,
Lane 4: rat stomach tissue lysates,
Lane 5: rat lung tissue lysates,
Lane 6: mouse brain tissue lysates,
Lane 7: mouse stomach tissue lysates,
Lane 8: mouse lung tissue lysates.
After electrophoresis, proteins were transferred to a membrane. Then the membrane was incubated with rabbit anti-EPHB3 antigen affinity purified polyclonal antibody (A04659) and probed with a goat anti-rabbit IgG-HRP secondary antibody (Catalog # BA1054). The signal is developed using ECL Plus Western Blotting Substrate (Catalog # AR1197). A specific band was detected for EPHB3 at approximately 110 kDa. The expected band size for EPHB3 is at 110-130 kDa.

IHC analysis of EPHB3 using anti-EPHB3 antibody (A04659).
EPHB3 was detected in a paraffin-embedded section of human glioma tissue. The tissue section was incubated with rabbit anti-EPHB3 Antibody (A04659) at a dilution of 1:200 and developed using HRP Conjugated Rabbit IgG Super Vision Assay Kit (Catalog # SV0002) with DAB (Catalog # AR1027) as the chromogen.

IHC analysis of EPHB3 using anti-EPHB3 antibody (A04659).
EPHB3 was detected in a paraffin-embedded section of human colon cancer tissue. The tissue section was incubated with rabbit anti-EPHB3 Antibody (A04659) at a dilution of 1:200 and developed using HRP Conjugated Rabbit IgG Super Vision Assay Kit (Catalog # SV0002) with DAB (Catalog # AR1027) as the chromogen.




