| Western blot (WB): | 1:500-2000 |
| Immunohistochemistry (IHC): | 1:50-400 |
| Flow Cytometry (Fixed): | 1:50-200 |
| Enzyme linked immunosorbent assay (ELISA): | 1:100-1000 |
| (Boiling the paraffin sections in 10mM citrate buffer,pH6.0,or PH8.0 EDTA repair liquid for 20 mins is required for the staining of formalin/paraffin sections.) Optimal working dilutions must be determined by end user. | |

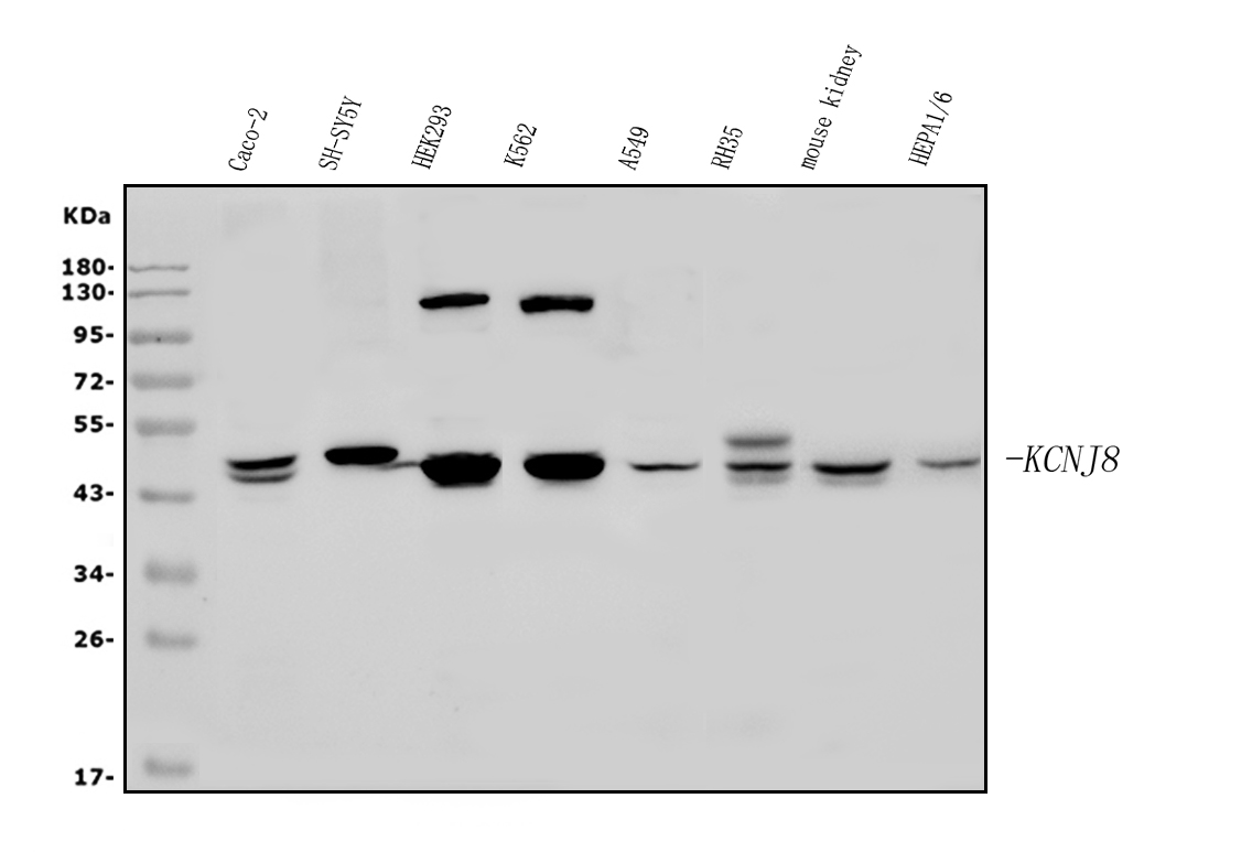
Western blot analysis of Kir6.1/KCNJ8 using anti-Kir6.1/KCNJ8 antibody (A04950-1). The sample well of each lane was loaded with 30 ug of sample under reducing conditions.
Lane 1: human CACO-2 whole cell lysates,
Lane 2: human SH-SY5Y whole cell lysates,
Lane 3: human HEK293 whole cell lysates,
Lane 4: human K562 whole cell lysates,
Lane 5: human A549 whole cell lysates,
Lane 6: rat RH35 whole cell lysates,
Lane 7: mouse kidney tissue lysates,
Lane 8: mouse HEPA1-6 whole cell lysates.
After electrophoresis, proteins were transferred to a membrane. Then the membrane was incubated with rabbit anti-Kir6.1/KCNJ8 antigen affinity purified polyclonal antibody (A04950-1) at a dilution of 1:1000 and probed with a goat anti-rabbit IgG-HRP secondary antibody (Catalog # BA1054). The signal is developed using ECL Plus Western Blotting Substrate (Catalog # AR1197). A specific band was detected for Kir6.1/KCNJ8 at approximately 48 kDa. The expected band size for Kir6.1/KCNJ8 is at 48 kDa.

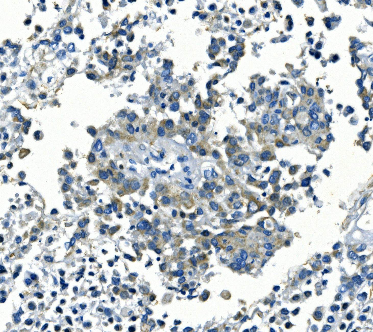
IHC analysis of Kir6.1/KCNJ8 using anti-Kir6.1/KCNJ8 antibody (A04950-1).
Kir6.1/KCNJ8 was detected in a paraffin-embedded section of human pancreatic cancer tissue. Biotinylated goat anti-rabbit IgG was used as secondary antibody. The tissue section was incubated with rabbit anti-Kir6.1/KCNJ8 Antibody (A04950-1) at a dilution of 1:200 and developed using Strepavidin-Biotin-Complex (SABC) (Catalog # SA1022) with DAB (Catalog # AR1027) as the chromogen.

Flow Cytometry analysis of U2OS cells using anti-Kir6.1/KCNJ8 antibody (A04950-1).
Overlay histogram showing U2OS cells stained with A04950-1 (Blue line). The cells were fixed with 4% paraformaldehyde and blocked with 10% normal goat serum. And then incubated with rabbit anti-Kir6.1/KCNJ8 Antibody (A04950-1) at 1:100 dilution for 30 min at 20°C. Fluoro488 conjugated goat anti-rabbit IgG (BA1127) was used as secondary antibody at 1:100 dilution for 30 minutes at 20°C. Isotype control antibody (Green line) was rabbit IgG at 1:100 dilution used under the same conditions. Unlabelled sample without incubation with primary antibody and secondary antibody (Red line) was used as a blank control.

Western blot analysis of Kir6.1/KCNJ8 using anti-Kir6.1/KCNJ8 antibody (A04950-1). The sample well of each lane was loaded with 30 ug of sample under reducing conditions.
Lane 1: human CACO-2 whole cell lysates,
Lane 2: human SH-SY5Y whole cell lysates,
Lane 3: human HEK293 whole cell lysates,
Lane 4: human K562 whole cell lysates,
Lane 5: human A549 whole cell lysates,
Lane 6: rat RH35 whole cell lysates,
Lane 7: mouse kidney tissue lysates,
Lane 8: mouse HEPA1-6 whole cell lysates.
After electrophoresis, proteins were transferred to a membrane. Then the membrane was incubated with rabbit anti-Kir6.1/KCNJ8 antigen affinity purified polyclonal antibody (A04950-1) at a dilution of 1:1000 and probed with a goat anti-rabbit IgG-HRP secondary antibody (Catalog # BA1054). The signal is developed using ECL Plus Western Blotting Substrate (Catalog # AR1197). A specific band was detected for Kir6.1/KCNJ8 at approximately 48 kDa. The expected band size for Kir6.1/KCNJ8 is at 48 kDa.

IHC analysis of Kir6.1/KCNJ8 using anti-Kir6.1/KCNJ8 antibody (A04950-1).
Kir6.1/KCNJ8 was detected in a paraffin-embedded section of human pancreatic cancer tissue. Biotinylated goat anti-rabbit IgG was used as secondary antibody. The tissue section was incubated with rabbit anti-Kir6.1/KCNJ8 Antibody (A04950-1) at a dilution of 1:200 and developed using Strepavidin-Biotin-Complex (SABC) (Catalog # SA1022) with DAB (Catalog # AR1027) as the chromogen.

Flow Cytometry analysis of U2OS cells using anti-Kir6.1/KCNJ8 antibody (A04950-1).
Overlay histogram showing U2OS cells stained with A04950-1 (Blue line). The cells were fixed with 4% paraformaldehyde and blocked with 10% normal goat serum. And then incubated with rabbit anti-Kir6.1/KCNJ8 Antibody (A04950-1) at 1:100 dilution for 30 min at 20°C. Fluoro488 conjugated goat anti-rabbit IgG (BA1127) was used as secondary antibody at 1:100 dilution for 30 minutes at 20°C. Isotype control antibody (Green line) was rabbit IgG at 1:100 dilution used under the same conditions. Unlabelled sample without incubation with primary antibody and secondary antibody (Red line) was used as a blank control.




