| Western blot (WB): | 1:1000-5000 |
| Immunohistochemistry (IHC): | 1:50-400 |
| Immunocytochemistry/Immunofluorescence (ICC/IF): | 1:50-400 |
| ImmunoPrecipitation (IP): | 1:50 |
| Flow Cytometry (FCM): | 1-3 μg/1x106 cells |
| (Boiling the paraffin sections in 10mM citrate buffer,pH6.0,or PH8.0 EDTA repair liquid for 20 mins is required for the staining of formalin/paraffin sections.) Optimal working dilutions must be determined by end user. | |

Western blot analysis of ASGR1 using anti-ASGR1 antibody (A05376-1). The sample well of each lane was loaded with 30 ug of sample under reducing conditions.
Lane 1: human hepatocellular carcinoma paracancerous tissue (HCCP) lysates,
Lane 2: human HepG2 whole cell lysates,
Lane 3: rat liver tissue lysates,
Lane 4: mouse liver tissue lysates.
After electrophoresis, proteins were transferred to a membrane. Then the membrane was incubated with rabbit anti-ASGR1 antigen affinity purified polyclonal antibody (A05376-1) at a dilution of 1:2000 and probed with a goat anti-rabbit IgG-HRP secondary antibody (Catalog # BA1054). The signal is developed using ECL Plus Western Blotting Substrate (Catalog # AR1197). A specific band was detected for ASGR1 at approximately 38 kDa. The expected band size for ASGR1 is at 33 kDa.

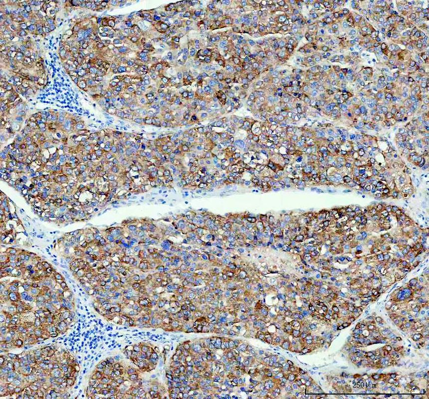
IHC analysis of ASGR1 using anti-ASGR1 antibody (A05376-1).
ASGR1 was detected in a paraffin-embedded section of human liver cancer tissue. The tissue section was incubated with rabbit anti-ASGR1 Antibody (A05376-1) at a dilution of 1:200 and developed using HRP Conjugated Rabbit IgG Super Vision Assay Kit (Catalog # SV0002) with DAB (Catalog # AR1027) as the chromogen.

IHC analysis of ASGR1 using anti-ASGR1 antibody (A05376-1).
ASGR1 was detected in a paraffin-embedded section of mouse liver tissue. The tissue section was incubated with rabbit anti-ASGR1 Antibody (A05376-1) at a dilution of 1:200 and developed using HRP Conjugated Rabbit IgG Super Vision Assay Kit (Catalog # SV0002) with DAB (Catalog # AR1027) as the chromogen.

IHC analysis of ASGR1 using anti-ASGR1 antibody (A05376-1).
ASGR1 was detected in a paraffin-embedded section of rat liver tissue. The tissue section was incubated with rabbit anti-ASGR1 Antibody (A05376-1) at a dilution of 1:200 and developed using HRP Conjugated Rabbit IgG Super Vision Assay Kit (Catalog # SV0002) with DAB (Catalog # AR1027) as the chromogen.

Western blot analysis of ASGR1 using anti-ASGR1 antibody (A05376-1). The sample well of each lane was loaded with 30 ug of sample under reducing conditions.
Lane 1: human hepatocellular carcinoma paracancerous tissue (HCCP) lysates,
Lane 2: human HepG2 whole cell lysates,
Lane 3: rat liver tissue lysates,
Lane 4: mouse liver tissue lysates.
After electrophoresis, proteins were transferred to a membrane. Then the membrane was incubated with rabbit anti-ASGR1 antigen affinity purified polyclonal antibody (A05376-1) at a dilution of 1:2000 and probed with a goat anti-rabbit IgG-HRP secondary antibody (Catalog # BA1054). The signal is developed using ECL Plus Western Blotting Substrate (Catalog # AR1197). A specific band was detected for ASGR1 at approximately 38 kDa. The expected band size for ASGR1 is at 33 kDa.

IHC analysis of ASGR1 using anti-ASGR1 antibody (A05376-1).
ASGR1 was detected in a paraffin-embedded section of human liver cancer tissue. The tissue section was incubated with rabbit anti-ASGR1 Antibody (A05376-1) at a dilution of 1:200 and developed using HRP Conjugated Rabbit IgG Super Vision Assay Kit (Catalog # SV0002) with DAB (Catalog # AR1027) as the chromogen.

IHC analysis of ASGR1 using anti-ASGR1 antibody (A05376-1).
ASGR1 was detected in a paraffin-embedded section of mouse liver tissue. The tissue section was incubated with rabbit anti-ASGR1 Antibody (A05376-1) at a dilution of 1:200 and developed using HRP Conjugated Rabbit IgG Super Vision Assay Kit (Catalog # SV0002) with DAB (Catalog # AR1027) as the chromogen.

IHC analysis of ASGR1 using anti-ASGR1 antibody (A05376-1).
ASGR1 was detected in a paraffin-embedded section of rat liver tissue. The tissue section was incubated with rabbit anti-ASGR1 Antibody (A05376-1) at a dilution of 1:200 and developed using HRP Conjugated Rabbit IgG Super Vision Assay Kit (Catalog # SV0002) with DAB (Catalog # AR1027) as the chromogen.









