| Western blot (WB): | 1:500-2000 |
| Flow Cytometry (Fixed): | 1:50-200 |
| Enzyme linked immunosorbent assay (ELISA): | 1:100-1000 |

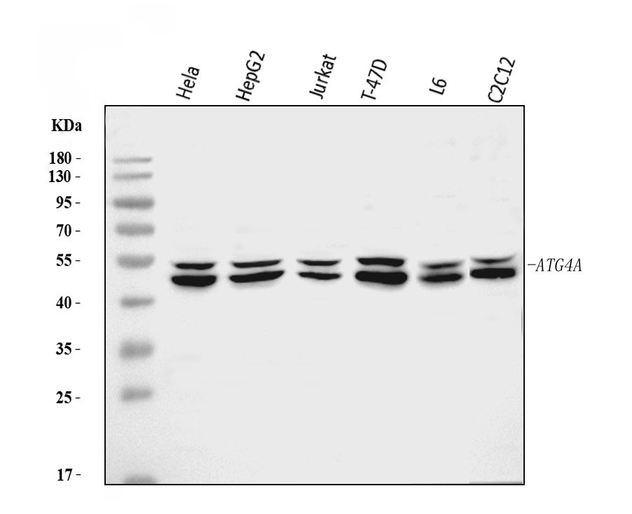
Western blot analysis of ATG4A using anti-ATG4A antibody (A06539-3). The sample well of each lane was loaded with 30 ug of sample under reducing conditions.
Lane 1: HELA whole cell lysates,
Lane 2: HEPG2 whole cell lysates,
Lane 3: Jurkat whole cell lysates,
Lane 4: t-47d whole cell lysates,
Lane 5: L6 whole cell lysates,
Lane 6: C2C12 whole cell lysates.
After electrophoresis, proteins were transferred to a membrane. Then the membrane was incubated with rabbit anti-ATG4A antigen affinity purified polyclonal antibody (A06539-3) at a dilution of 1:1000 and probed with a goat anti-rabbit IgG-HRP secondary antibody (Catalog # BA1054). The signal is developed using ECL Plus Western Blotting Substrate (Catalog # AR1197). A specific band was detected for ATG4A at approximately 45 kDa. The expected band size for ATG4A is at 45 kDa.

Flow Cytometry analysis of K562 cells using anti-ATG4A antibody (A06539-3).
Overlay histogram showing K562 cells stained with A06539-3 (Blue line). To facilitate intracellular staining, cells were fixed with 4% paraformaldehyde and permeabilized with permeabilization buffer. The cells were blocked with 10% normal goat serum. And then incubated with rabbit anti-ATG4A Antibody (A06539-3) at 1:100 dilution for 30 min at 20°C. Fluoro488 conjugated goat anti-rabbit IgG (BA1127) was used as secondary antibody at 1:100 dilution for 30 minutes at 20°C. Isotype control antibody (Green line) was rabbit IgG at 1:100 dilution used under the same conditions. Unlabelled sample without incubation with primary antibody and secondary antibody (Red line) was used as a blank control.

Western blot analysis of ATG4A using anti-ATG4A antibody (A06539-3). The sample well of each lane was loaded with 30 ug of sample under reducing conditions.
Lane 1: HELA whole cell lysates,
Lane 2: HEPG2 whole cell lysates,
Lane 3: Jurkat whole cell lysates,
Lane 4: t-47d whole cell lysates,
Lane 5: L6 whole cell lysates,
Lane 6: C2C12 whole cell lysates.
After electrophoresis, proteins were transferred to a membrane. Then the membrane was incubated with rabbit anti-ATG4A antigen affinity purified polyclonal antibody (A06539-3) at a dilution of 1:1000 and probed with a goat anti-rabbit IgG-HRP secondary antibody (Catalog # BA1054). The signal is developed using ECL Plus Western Blotting Substrate (Catalog # AR1197). A specific band was detected for ATG4A at approximately 45 kDa. The expected band size for ATG4A is at 45 kDa.

Flow Cytometry analysis of K562 cells using anti-ATG4A antibody (A06539-3).
Overlay histogram showing K562 cells stained with A06539-3 (Blue line). To facilitate intracellular staining, cells were fixed with 4% paraformaldehyde and permeabilized with permeabilization buffer. The cells were blocked with 10% normal goat serum. And then incubated with rabbit anti-ATG4A Antibody (A06539-3) at 1:100 dilution for 30 min at 20°C. Fluoro488 conjugated goat anti-rabbit IgG (BA1127) was used as secondary antibody at 1:100 dilution for 30 minutes at 20°C. Isotype control antibody (Green line) was rabbit IgG at 1:100 dilution used under the same conditions. Unlabelled sample without incubation with primary antibody and secondary antibody (Red line) was used as a blank control.



