| Western blot (WB): | 1:500-2000 |
| Immunohistochemistry (IHC): | 1:50-400 |
| Immunocytochemistry/Immunofluorescence (ICC/IF): | 1:50-400 |
| Enzyme linked immunosorbent assay (ELISA): | 1:100-1000 |
| (Boiling the paraffin sections in 10mM citrate buffer,pH6.0,or PH8.0 EDTA repair liquid for 20 mins is required for the staining of formalin/paraffin sections.) Optimal working dilutions must be determined by end user. | |

Western blot analysis of ACAA1 using anti-ACAA1 antibody (A07559-4). The sample well of each lane was loaded with 30 ug of sample under reducing conditions.
Lane 1: human HepG2 whole cell lysates,
Lane 2: rat liver tissue lysates,
Lane 3: mouse liver tissue lysates.
After electrophoresis, proteins were transferred to a membrane. Then the membrane was incubated with rabbit anti-ACAA1 antigen affinity purified polyclonal antibody (A07559-4) at a dilution of 1:1000 and probed with a goat anti-rabbit IgG-HRP secondary antibody (Catalog # BA1054). The signal is developed using ECL Plus Western Blotting Substrate (Catalog # AR1197). A specific band was detected for ACAA1 at approximately 41 kDa. The expected band size for ACAA1 is at 44 kDa.

IHC analysis of ACAA1 using anti-ACAA1 antibody (A07559-4).
ACAA1 was detected in a paraffin-embedded section of human liver cancer tissue. The tissue section was incubated with rabbit anti-ACAA1 Antibody (A07559-4) at a dilution of 1:200 and developed using HRP Conjugated Rabbit IgG Super Vision Assay Kit (Catalog # SV0002) with DAB (Catalog # AR1027) as the chromogen.

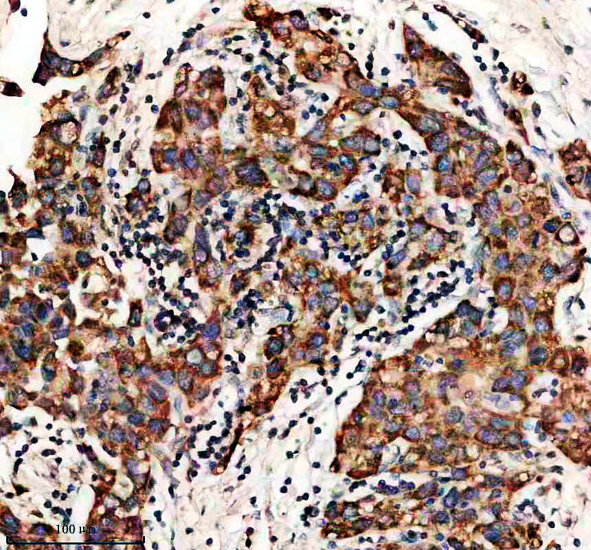
IHC analysis of ACAA1 using anti-ACAA1 antibody (A07559-4).
ACAA1 was detected in a paraffin-embedded section of human renal cancer tissue. The tissue section was incubated with rabbit anti-ACAA1 Antibody (A07559-4) at a dilution of 1:200 and developed using HRP Conjugated Rabbit IgG Super Vision Assay Kit (Catalog # SV0002) with DAB (Catalog # AR1027) as the chromogen.

ICC/IF analysis of ACAA1 using anti-ACAA1 antibody (A07559-4).
ACAA1 was detected in an immunocytochemical section of Hela cells. The section was incubated with rabbit anti-ACAA1 Antibody (A07559-4) at a dilution of 1:100. Fluoro488 Conjugated Goat Anti-Rabbit IgG (Green) (Catalog # BA1127) was used as secondary antibody. The section was counterstained with DAPI (Catalog # AR1176) (Blue).

Western blot analysis of ACAA1 using anti-ACAA1 antibody (A07559-4). The sample well of each lane was loaded with 30 ug of sample under reducing conditions.
Lane 1: human HepG2 whole cell lysates,
Lane 2: rat liver tissue lysates,
Lane 3: mouse liver tissue lysates.
After electrophoresis, proteins were transferred to a membrane. Then the membrane was incubated with rabbit anti-ACAA1 antigen affinity purified polyclonal antibody (A07559-4) at a dilution of 1:1000 and probed with a goat anti-rabbit IgG-HRP secondary antibody (Catalog # BA1054). The signal is developed using ECL Plus Western Blotting Substrate (Catalog # AR1197). A specific band was detected for ACAA1 at approximately 41 kDa. The expected band size for ACAA1 is at 44 kDa.

IHC analysis of ACAA1 using anti-ACAA1 antibody (A07559-4).
ACAA1 was detected in a paraffin-embedded section of human liver cancer tissue. The tissue section was incubated with rabbit anti-ACAA1 Antibody (A07559-4) at a dilution of 1:200 and developed using HRP Conjugated Rabbit IgG Super Vision Assay Kit (Catalog # SV0002) with DAB (Catalog # AR1027) as the chromogen.

IHC analysis of ACAA1 using anti-ACAA1 antibody (A07559-4).
ACAA1 was detected in a paraffin-embedded section of human renal cancer tissue. The tissue section was incubated with rabbit anti-ACAA1 Antibody (A07559-4) at a dilution of 1:200 and developed using HRP Conjugated Rabbit IgG Super Vision Assay Kit (Catalog # SV0002) with DAB (Catalog # AR1027) as the chromogen.

ICC/IF analysis of ACAA1 using anti-ACAA1 antibody (A07559-4).
ACAA1 was detected in an immunocytochemical section of Hela cells. The section was incubated with rabbit anti-ACAA1 Antibody (A07559-4) at a dilution of 1:100. Fluoro488 Conjugated Goat Anti-Rabbit IgG (Green) (Catalog # BA1127) was used as secondary antibody. The section was counterstained with DAPI (Catalog # AR1176) (Blue).





