| Western blot (WB): | 1:500-2000 |
| Immunohistochemistry (IHC): | 1:50-400 |
| Immunocytochemistry/Immunofluorescence (ICC/IF): | 1:50-400 |
| Flow Cytometry (Fixed): | 1:50-200 |
| Enzyme linked immunosorbent assay (ELISA): | 1:100-1000 |
| (Boiling the paraffin sections in 10mM citrate buffer,pH6.0,or PH8.0 EDTA repair liquid for 20 mins is required for the staining of formalin/paraffin sections.) Optimal working dilutions must be determined by end user. | |

Western blot analysis of ATP6V1A using anti-ATP6V1A antibody (A10401-2). The sample well of each lane was loaded with 30 ug of sample under reducing conditions.
Lane 1: U-87MG whole cell lysates,
Lane 2: A431 whole cell lysates,
Lane 3: RT4 whole cell lysates,
Lane 4: SIHA whole cell lysates,
Lane 5: Caco-2 whole cell lysates,
Lane 6: K562 whole cell lysates,
Lane 7: HEL whole cell lysates,
Lane 8: Hela whole cell lysates.
After electrophoresis, proteins were transferred to a membrane. Then the membrane was incubated with rabbit anti-ATP6V1A antigen affinity purified polyclonal antibody (A10401-2) at a dilution of 1:1000 and probed with a goat anti-rabbit IgG-HRP secondary antibody (Catalog # BA1054). The signal is developed using ECL Plus Western Blotting Substrate (Catalog # AR1197). A specific band was detected for ATP6V1A at approximately 70 kDa. The expected band size for ATP6V1A is at 68 kDa.

Western blot analysis of ATP6V1A using anti-ATP6V1A antibody (A10401-2). The sample well of each lane was loaded with 30 ug of sample under reducing conditions.
Lane 1: rat brain tissue lysates,
Lane 2: rat kidney tissue lysates,
Lane 3: rat thymus tissue lysates,
Lane 4: NRK whole cell lysates,
Lane 5: mouse brain tissue lysates,
Lane 6: mouse kidney tissue lysates.
After electrophoresis, proteins were transferred to a membrane. Then the membrane was incubated with rabbit anti-ATP6V1A antigen affinity purified polyclonal antibody (A10401-2) at a dilution of 1:1000 and probed with a goat anti-rabbit IgG-HRP secondary antibody (Catalog # BA1054). The signal is developed using ECL Plus Western Blotting Substrate (Catalog # AR1197). A specific band was detected for ATP6V1A at approximately 70 kDa. The expected band size for ATP6V1A is at 68 kDa.

IHC analysis of ATP6V1A using anti-ATP6V1A antibody (A10401-2).
ATP6V1A was detected in a paraffin-embedded section of human Adenocarcinoma of the right colon tissue. The tissue section was incubated with rabbit anti-ATP6V1A Antibody (A10401-2) at a dilution of 1:200 and developed using HRP Conjugated Rabbit IgG Super Vision Assay Kit (Catalog # SV0002) with DAB (Catalog # AR1027) as the chromogen.

IHC analysis of ATP6V1A using anti-ATP6V1A antibody (A10401-2).
ATP6V1A was detected in a paraffin-embedded section of human cervical cancer tissue. The tissue section was incubated with rabbit anti-ATP6V1A Antibody (A10401-2) at a dilution of 1:200 and developed using HRP Conjugated Rabbit IgG Super Vision Assay Kit (Catalog # SV0002) with DAB (Catalog # AR1027) as the chromogen.

IHC analysis of ATP6V1A using anti-ATP6V1A antibody (A10401-2).
ATP6V1A was detected in a paraffin-embedded section of human lienal rupture tissue. The tissue section was incubated with rabbit anti-ATP6V1A Antibody (A10401-2) at a dilution of 1:200 and developed using HRP Conjugated Rabbit IgG Super Vision Assay Kit (Catalog # SV0002) with DAB (Catalog # AR1027) as the chromogen.

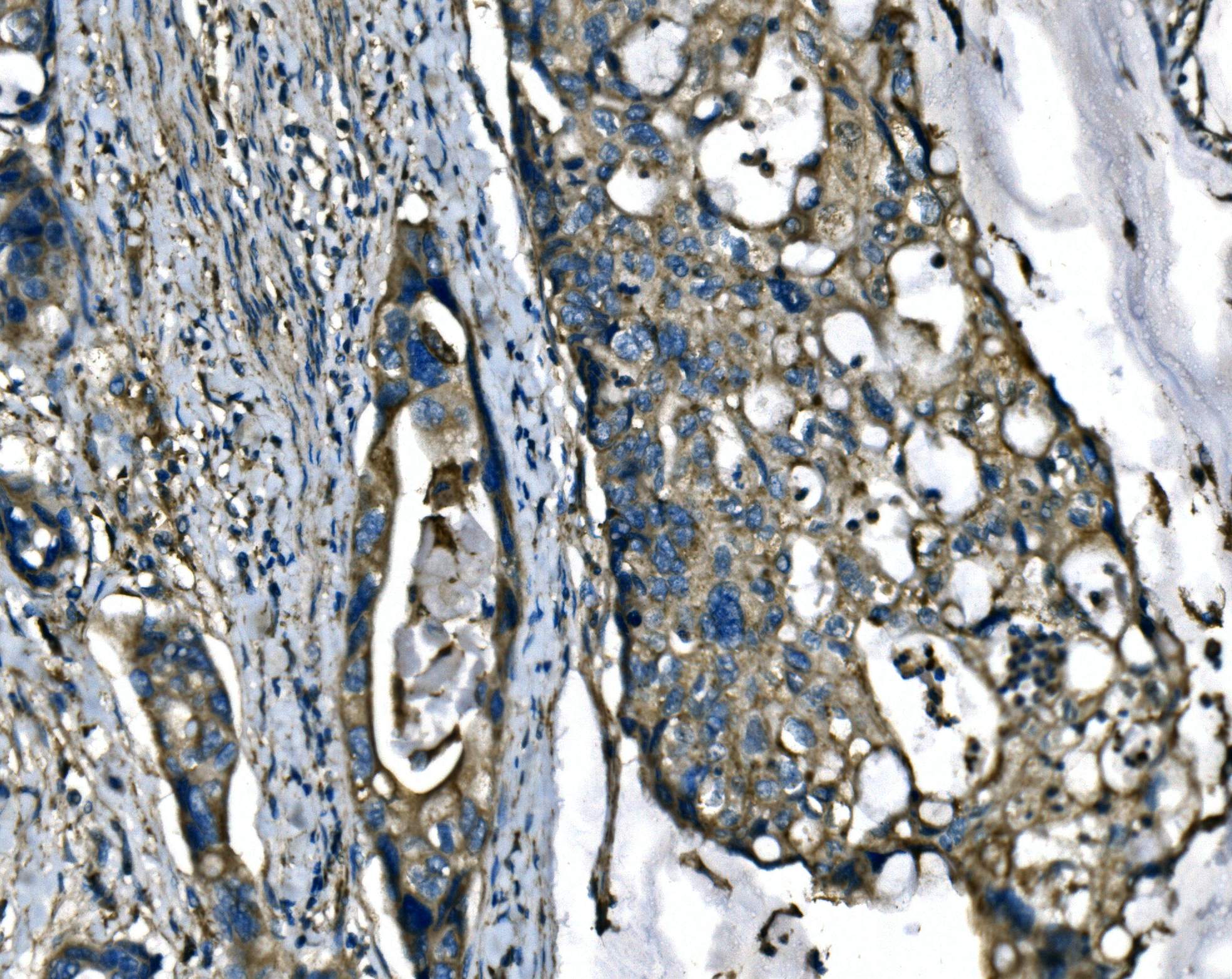
IHC analysis of ATP6V1A using anti-ATP6V1A antibody (A10401-2).
ATP6V1A was detected in a paraffin-embedded section of human liver cancer tissue. The tissue section was incubated with rabbit anti-ATP6V1A Antibody (A10401-2) at a dilution of 1:200 and developed using HRP Conjugated Rabbit IgG Super Vision Assay Kit (Catalog # SV0002) with DAB (Catalog # AR1027) as the chromogen.

IHC analysis of ATP6V1A using anti-ATP6V1A antibody (A10401-2).
ATP6V1A was detected in a paraffin-embedded section of human lung cancer tissue. The tissue section was incubated with rabbit anti-ATP6V1A Antibody (A10401-2) at a dilution of 1:200 and developed using HRP Conjugated Rabbit IgG Super Vision Assay Kit (Catalog # SV0002) with DAB (Catalog # AR1027) as the chromogen.

IHC analysis of ATP6V1A using anti-ATP6V1A antibody (A10401-2).
ATP6V1A was detected in a paraffin-embedded section of human renal cell carcinoma tissue. The tissue section was incubated with rabbit anti-ATP6V1A Antibody (A10401-2) at a dilution of 1:200 and developed using HRP Conjugated Rabbit IgG Super Vision Assay Kit (Catalog # SV0002) with DAB (Catalog # AR1027) as the chromogen.

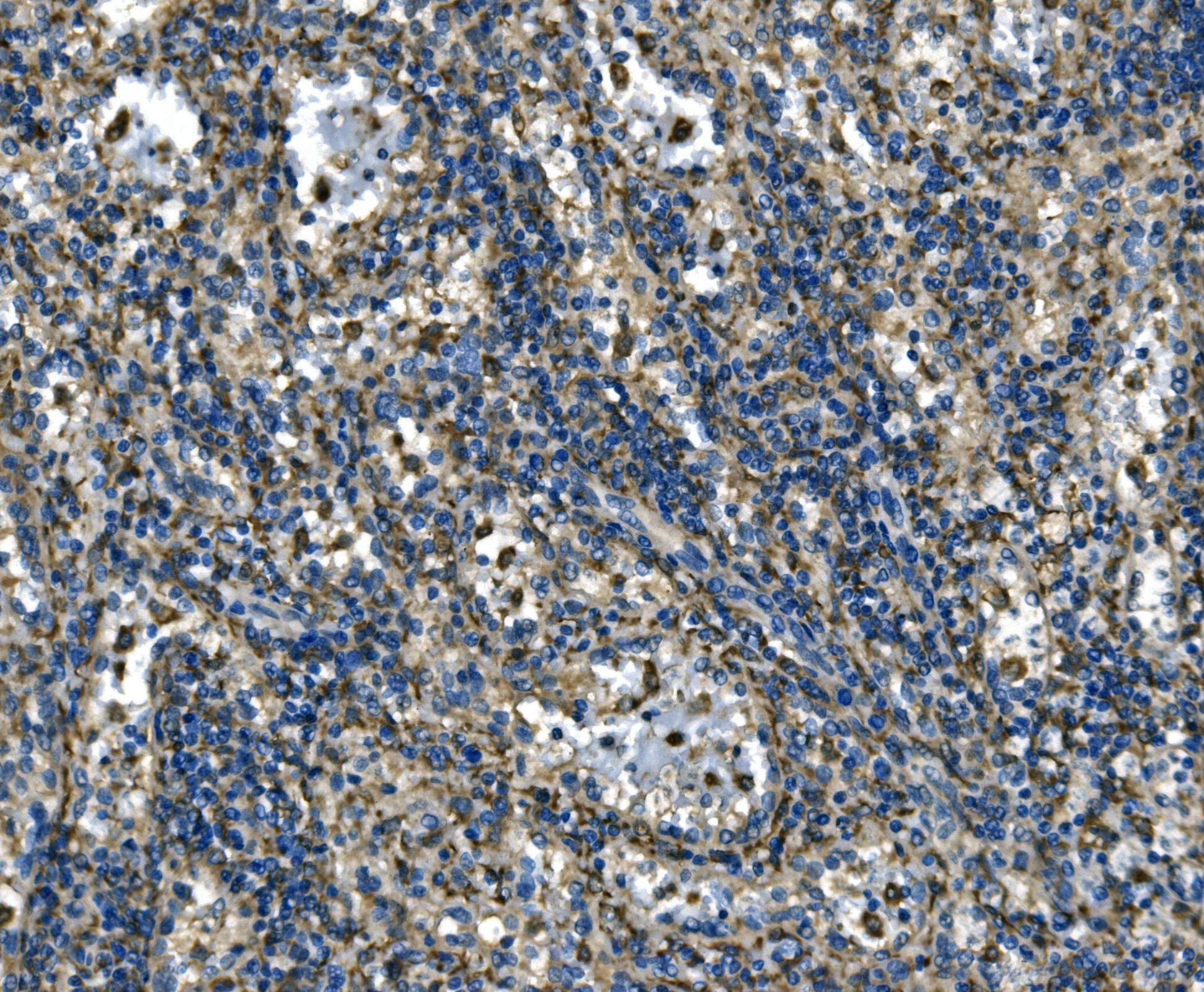
IHC analysis of ATP6V1A using anti-ATP6V1A antibody (A10401-2).
ATP6V1A was detected in a paraffin-embedded section of human tonsil tissue. The tissue section was incubated with rabbit anti-ATP6V1A Antibody (A10401-2) at a dilution of 1:200 and developed using HRP Conjugated Rabbit IgG Super Vision Assay Kit (Catalog # SV0002) with DAB (Catalog # AR1027) as the chromogen.

ICC/IF analysis of ATP6V1A using anti-ATP6V1A antibody (A10401-2).
ATP6V1A was detected in an immunocytochemical section of A549 cells. The section was incubated with rabbit anti-ATP6V1A Antibody (A10401-2) at a dilution of 1:100. Fluoro594-conjugated Anti-rabbit IgG Secondary Antibody (red)(Catalog#BA1142) was used as secondary antibody. The section was counterstained with DAPI (Catalog # AR1176) (Blue).

Flow Cytometry analysis of Jurkat cells using anti-ATP6V1A antibody (A10401-2).
Overlay histogram showing Jurkat cells stained with A10401-2 (Blue line). To facilitate intracellular staining, cells were fixed with 4% paraformaldehyde and permeabilized with permeabilization buffer. The cells were blocked with 10% normal goat serum. And then incubated with rabbit anti-ATP6V1A Antibody (A10401-2) at 1:100 dilution for 30 min at 20°C. Fluoro488 conjugated goat anti-rabbit IgG (BA1127) was used as secondary antibody at 1:100 dilution for 30 minutes at 20°C. Isotype control antibody (Green line) was rabbit IgG at 1:100 dilution used under the same conditions. Unlabelled sample without incubation with primary antibody and secondary antibody (Red line) was used as a blank control.

Flow Cytometry analysis of U251 cells using anti-ATP6V1A antibody (A10401-2).
Overlay histogram showing U251 cells stained with A10401-2 (Blue line). To facilitate intracellular staining, cells were fixed with 4% paraformaldehyde and permeabilized with permeabilization buffer. The cells were blocked with 10% normal goat serum. And then incubated with rabbit anti-ATP6V1A Antibody (A10401-2) at 1:100 dilution for 30 min at 20°C. Fluoro488 conjugated goat anti-rabbit IgG (BA1127) was used as secondary antibody at 1:100 dilution for 30 minutes at 20°C. Isotype control antibody (Green line) was rabbit IgG at 1:100 dilution used under the same conditions. Unlabelled sample without incubation with primary antibody and secondary antibody (Red line) was used as a blank control.

Western blot analysis of ATP6V1A using anti-ATP6V1A antibody (A10401-2). The sample well of each lane was loaded with 30 ug of sample under reducing conditions.
Lane 1: U-87MG whole cell lysates,
Lane 2: A431 whole cell lysates,
Lane 3: RT4 whole cell lysates,
Lane 4: SIHA whole cell lysates,
Lane 5: Caco-2 whole cell lysates,
Lane 6: K562 whole cell lysates,
Lane 7: HEL whole cell lysates,
Lane 8: Hela whole cell lysates.
After electrophoresis, proteins were transferred to a membrane. Then the membrane was incubated with rabbit anti-ATP6V1A antigen affinity purified polyclonal antibody (A10401-2) at a dilution of 1:1000 and probed with a goat anti-rabbit IgG-HRP secondary antibody (Catalog # BA1054). The signal is developed using ECL Plus Western Blotting Substrate (Catalog # AR1197). A specific band was detected for ATP6V1A at approximately 70 kDa. The expected band size for ATP6V1A is at 68 kDa.

Western blot analysis of ATP6V1A using anti-ATP6V1A antibody (A10401-2). The sample well of each lane was loaded with 30 ug of sample under reducing conditions.
Lane 1: rat brain tissue lysates,
Lane 2: rat kidney tissue lysates,
Lane 3: rat thymus tissue lysates,
Lane 4: NRK whole cell lysates,
Lane 5: mouse brain tissue lysates,
Lane 6: mouse kidney tissue lysates.
After electrophoresis, proteins were transferred to a membrane. Then the membrane was incubated with rabbit anti-ATP6V1A antigen affinity purified polyclonal antibody (A10401-2) at a dilution of 1:1000 and probed with a goat anti-rabbit IgG-HRP secondary antibody (Catalog # BA1054). The signal is developed using ECL Plus Western Blotting Substrate (Catalog # AR1197). A specific band was detected for ATP6V1A at approximately 70 kDa. The expected band size for ATP6V1A is at 68 kDa.

IHC analysis of ATP6V1A using anti-ATP6V1A antibody (A10401-2).
ATP6V1A was detected in a paraffin-embedded section of human Adenocarcinoma of the right colon tissue. The tissue section was incubated with rabbit anti-ATP6V1A Antibody (A10401-2) at a dilution of 1:200 and developed using HRP Conjugated Rabbit IgG Super Vision Assay Kit (Catalog # SV0002) with DAB (Catalog # AR1027) as the chromogen.

IHC analysis of ATP6V1A using anti-ATP6V1A antibody (A10401-2).
ATP6V1A was detected in a paraffin-embedded section of human cervical cancer tissue. The tissue section was incubated with rabbit anti-ATP6V1A Antibody (A10401-2) at a dilution of 1:200 and developed using HRP Conjugated Rabbit IgG Super Vision Assay Kit (Catalog # SV0002) with DAB (Catalog # AR1027) as the chromogen.

IHC analysis of ATP6V1A using anti-ATP6V1A antibody (A10401-2).
ATP6V1A was detected in a paraffin-embedded section of human lienal rupture tissue. The tissue section was incubated with rabbit anti-ATP6V1A Antibody (A10401-2) at a dilution of 1:200 and developed using HRP Conjugated Rabbit IgG Super Vision Assay Kit (Catalog # SV0002) with DAB (Catalog # AR1027) as the chromogen.

IHC analysis of ATP6V1A using anti-ATP6V1A antibody (A10401-2).
ATP6V1A was detected in a paraffin-embedded section of human liver cancer tissue. The tissue section was incubated with rabbit anti-ATP6V1A Antibody (A10401-2) at a dilution of 1:200 and developed using HRP Conjugated Rabbit IgG Super Vision Assay Kit (Catalog # SV0002) with DAB (Catalog # AR1027) as the chromogen.

IHC analysis of ATP6V1A using anti-ATP6V1A antibody (A10401-2).
ATP6V1A was detected in a paraffin-embedded section of human lung cancer tissue. The tissue section was incubated with rabbit anti-ATP6V1A Antibody (A10401-2) at a dilution of 1:200 and developed using HRP Conjugated Rabbit IgG Super Vision Assay Kit (Catalog # SV0002) with DAB (Catalog # AR1027) as the chromogen.

IHC analysis of ATP6V1A using anti-ATP6V1A antibody (A10401-2).
ATP6V1A was detected in a paraffin-embedded section of human renal cell carcinoma tissue. The tissue section was incubated with rabbit anti-ATP6V1A Antibody (A10401-2) at a dilution of 1:200 and developed using HRP Conjugated Rabbit IgG Super Vision Assay Kit (Catalog # SV0002) with DAB (Catalog # AR1027) as the chromogen.

IHC analysis of ATP6V1A using anti-ATP6V1A antibody (A10401-2).
ATP6V1A was detected in a paraffin-embedded section of human tonsil tissue. The tissue section was incubated with rabbit anti-ATP6V1A Antibody (A10401-2) at a dilution of 1:200 and developed using HRP Conjugated Rabbit IgG Super Vision Assay Kit (Catalog # SV0002) with DAB (Catalog # AR1027) as the chromogen.

ICC/IF analysis of ATP6V1A using anti-ATP6V1A antibody (A10401-2).
ATP6V1A was detected in an immunocytochemical section of A549 cells. The section was incubated with rabbit anti-ATP6V1A Antibody (A10401-2) at a dilution of 1:100. Fluoro594-conjugated Anti-rabbit IgG Secondary Antibody (red)(Catalog#BA1142) was used as secondary antibody. The section was counterstained with DAPI (Catalog # AR1176) (Blue).

Flow Cytometry analysis of Jurkat cells using anti-ATP6V1A antibody (A10401-2).
Overlay histogram showing Jurkat cells stained with A10401-2 (Blue line). To facilitate intracellular staining, cells were fixed with 4% paraformaldehyde and permeabilized with permeabilization buffer. The cells were blocked with 10% normal goat serum. And then incubated with rabbit anti-ATP6V1A Antibody (A10401-2) at 1:100 dilution for 30 min at 20°C. Fluoro488 conjugated goat anti-rabbit IgG (BA1127) was used as secondary antibody at 1:100 dilution for 30 minutes at 20°C. Isotype control antibody (Green line) was rabbit IgG at 1:100 dilution used under the same conditions. Unlabelled sample without incubation with primary antibody and secondary antibody (Red line) was used as a blank control.

Flow Cytometry analysis of U251 cells using anti-ATP6V1A antibody (A10401-2).
Overlay histogram showing U251 cells stained with A10401-2 (Blue line). To facilitate intracellular staining, cells were fixed with 4% paraformaldehyde and permeabilized with permeabilization buffer. The cells were blocked with 10% normal goat serum. And then incubated with rabbit anti-ATP6V1A Antibody (A10401-2) at 1:100 dilution for 30 min at 20°C. Fluoro488 conjugated goat anti-rabbit IgG (BA1127) was used as secondary antibody at 1:100 dilution for 30 minutes at 20°C. Isotype control antibody (Green line) was rabbit IgG at 1:100 dilution used under the same conditions. Unlabelled sample without incubation with primary antibody and secondary antibody (Red line) was used as a blank control.













