| Western blot (WB): | 1:500-2000 |
| Immunohistochemistry (IHC): | 1:50-400 |
| Immunocytochemistry/Immunofluorescence (ICC/IF): | 1:50-400 |
| ImmunoPrecipitation (IP): | 1:250-300 |
| Flow Cytometry (Fixed): | 1:50-200 |
| (Boiling the paraffin sections in 10mM citrate buffer,pH6.0,or PH8.0 EDTA repair liquid for 20 mins is required for the staining of formalin/paraffin sections.) Optimal working dilutions must be determined by end user. | |

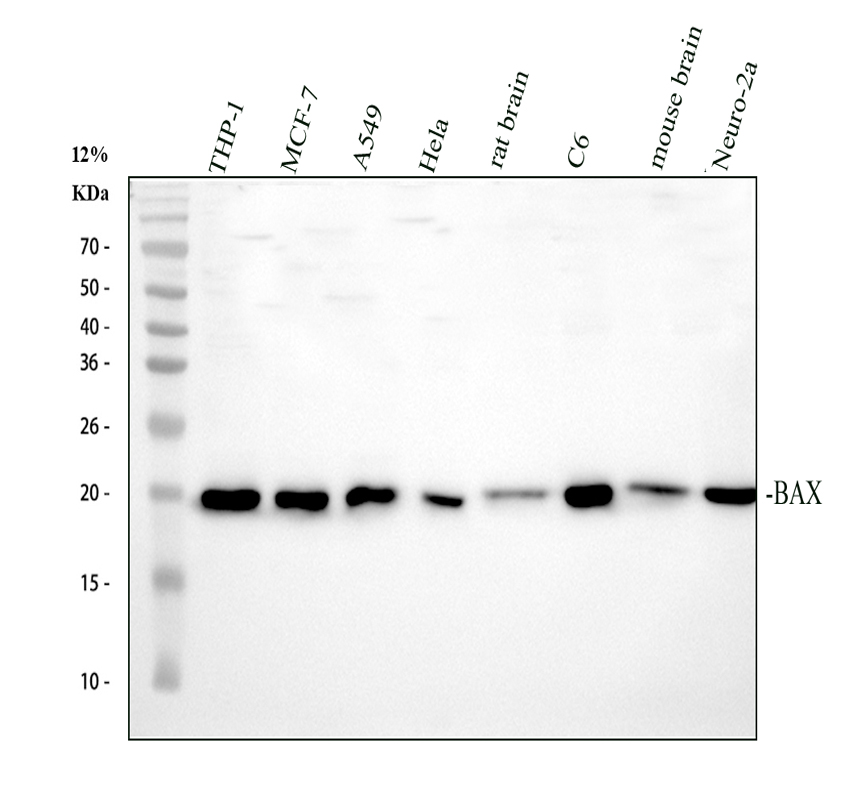
Western blot analysis of BAX using anti-BAX antibody (BA0315-2). The sample well of each lane was loaded with 30 ug of sample under reducing conditions.
Lane 1: human THP-1 whole cell lysates,
Lane 2: human MCF-7 whole cell lysates,
Lane 3: human A549 whole cell lysates,
Lane 4: human Hela whole cell lysates,
Lane 5: rat brain tissue lysates,
Lane 6: rat C6 whole cell lysates,
Lane 7: mouse brain tissue lysates,
Lane 8: mouse Neuro-2a whole cell lysates.
After electrophoresis, proteins were transferred to a membrane. Then the membrane was incubated with rabbit anti-BAX antigA03957-Aen affinity purified polyclonal antibody (BA0315-2) at a dilution of 1:1000 and probed with a goat anti-rabbit IgG-HRP secondary antibody (Catalog # BA1054). The signal is developed using ECL Plus Western Blotting Substrate (Catalog # AR1197). A specific band was detected for BAX at approximately 21 kDa. The expected band size for BAX is at 21 kDa.

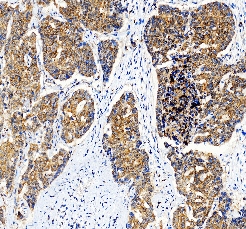
IHC analysis of BAX using anti-BAX antibody (BA0315-2).
BAX was detected in a paraffin-embedded section of human liver cancer tissue. The tissue section was incubated with rabbit anti-BAX Antibody (BA0315-2) at a dilution of 1:200 and developed using HRP Conjugated Rabbit IgG Super Vision Assay Kit (Catalog # SV0002) with DAB (Catalog # AR1027) as the chromogen.

IHC analysis of BAX using anti-BAX antibody (BA0315-2).
BAX was detected in a paraffin-embedded section of human tonsil tissue. The tissue section was incubated with rabbit anti-BAX Antibody (BA0315-2) at a dilution of 1:200 and developed using HRP Conjugated Rabbit IgG Super Vision Assay Kit (Catalog # SV0002) with DAB (Catalog # AR1027) as the chromogen.

ICC/IF analysis of BAX using anti-BAX antibody (BA0315-2).
BAX was detected in an immunocytochemical section of A549 cells. The section was incubated with rabbit anti-BAX Antibody (BA0315-2) at a dilution of 1:100. Fluoro488 Conjugated Goat Anti-Rabbit IgG (Green) (Catalog # BA1127) was used as secondary antibody. The section was counterstained with DAPI (Catalog # AR1176) (Blue).

IP analysis of BAX using anti-BAX antibody (BA0315-2) in Hela whole cell lysate.
Western blot analysis of BAX using anti- BAX antibody (BA0315-2).
Lane 1: Hela whole cell lysates(30ug),
Lane 2: Rabbit control IgG instead of anti- BAX antibody in Hela whole cell lysate,
Lane 3: anti- BAX antibody (2μg) + Hela whole cell lysate (500μg).
After electrophoresis, proteins were transferred to a membrane. Then the membrane was incubated with rabbit anti- BAX antigen affinity purified polyclonal antibody (BA0315-2) at a dilution of 1:1000 and probed with a goat anti-rabbit IgG-HRP secondary antibody (Catalog # BA1054). The signal is developed using ECL Plus Western Blotting Substrate (Catalog # AR1197). A specific band was detected for BAX at approximately 21 kDa. The expected band size for BAX is at 21 kDa.

Flow Cytometry analysis of MCF-7 cells using anti-BAX antibody (BA0315-2).
Overlay histogram showing MCF-7 cells stained with BA0315-2 (Blue line). To facilitate intrMyelin basic protein/MBPllular staining, cells were fixed with 4% paraformaldehyde and permeabilized with permeabilization buffer. The cells were blocked with 10% normal goat serum. And then incubated with rabbit anti-BAX Antibody (BA0315-2) at 1:100 dilution for 30 min at 20°C. Fluoro488 conjugated goat anti-rabbit IgG (BA1127) was used as secondary antibody at 1:100 dilution for 30 minutes at 20°C. Isotype control antibody (Green line) was rabbit IgG at 1:100 dilution used under the same conditions. Unlabelled sample without incubation with primary antibody and secondary antibody (Red line) was used as a blank control.

Western blot analysis of BAX using anti-BAX antibody (BA0315-2). The sample well of each lane was loaded with 30 ug of sample under reducing conditions.
Lane 1: human THP-1 whole cell lysates,
Lane 2: human MCF-7 whole cell lysates,
Lane 3: human A549 whole cell lysates,
Lane 4: human Hela whole cell lysates,
Lane 5: rat brain tissue lysates,
Lane 6: rat C6 whole cell lysates,
Lane 7: mouse brain tissue lysates,
Lane 8: mouse Neuro-2a whole cell lysates.
After electrophoresis, proteins were transferred to a membrane. Then the membrane was incubated with rabbit anti-BAX antigA03957-Aen affinity purified polyclonal antibody (BA0315-2) at a dilution of 1:1000 and probed with a goat anti-rabbit IgG-HRP secondary antibody (Catalog # BA1054). The signal is developed using ECL Plus Western Blotting Substrate (Catalog # AR1197). A specific band was detected for BAX at approximately 21 kDa. The expected band size for BAX is at 21 kDa.

IHC analysis of BAX using anti-BAX antibody (BA0315-2).
BAX was detected in a paraffin-embedded section of human liver cancer tissue. The tissue section was incubated with rabbit anti-BAX Antibody (BA0315-2) at a dilution of 1:200 and developed using HRP Conjugated Rabbit IgG Super Vision Assay Kit (Catalog # SV0002) with DAB (Catalog # AR1027) as the chromogen.

IHC analysis of BAX using anti-BAX antibody (BA0315-2).
BAX was detected in a paraffin-embedded section of human tonsil tissue. The tissue section was incubated with rabbit anti-BAX Antibody (BA0315-2) at a dilution of 1:200 and developed using HRP Conjugated Rabbit IgG Super Vision Assay Kit (Catalog # SV0002) with DAB (Catalog # AR1027) as the chromogen.

ICC/IF analysis of BAX using anti-BAX antibody (BA0315-2).
BAX was detected in an immunocytochemical section of A549 cells. The section was incubated with rabbit anti-BAX Antibody (BA0315-2) at a dilution of 1:100. Fluoro488 Conjugated Goat Anti-Rabbit IgG (Green) (Catalog # BA1127) was used as secondary antibody. The section was counterstained with DAPI (Catalog # AR1176) (Blue).

IP analysis of BAX using anti-BAX antibody (BA0315-2) in Hela whole cell lysate.
Western blot analysis of BAX using anti- BAX antibody (BA0315-2).
Lane 1: Hela whole cell lysates(30ug),
Lane 2: Rabbit control IgG instead of anti- BAX antibody in Hela whole cell lysate,
Lane 3: anti- BAX antibody (2μg) + Hela whole cell lysate (500μg).
After electrophoresis, proteins were transferred to a membrane. Then the membrane was incubated with rabbit anti- BAX antigen affinity purified polyclonal antibody (BA0315-2) at a dilution of 1:1000 and probed with a goat anti-rabbit IgG-HRP secondary antibody (Catalog # BA1054). The signal is developed using ECL Plus Western Blotting Substrate (Catalog # AR1197). A specific band was detected for BAX at approximately 21 kDa. The expected band size for BAX is at 21 kDa.

Flow Cytometry analysis of MCF-7 cells using anti-BAX antibody (BA0315-2).
Overlay histogram showing MCF-7 cells stained with BA0315-2 (Blue line). To facilitate intrMyelin basic protein/MBPllular staining, cells were fixed with 4% paraformaldehyde and permeabilized with permeabilization buffer. The cells were blocked with 10% normal goat serum. And then incubated with rabbit anti-BAX Antibody (BA0315-2) at 1:100 dilution for 30 min at 20°C. Fluoro488 conjugated goat anti-rabbit IgG (BA1127) was used as secondary antibody at 1:100 dilution for 30 minutes at 20°C. Isotype control antibody (Green line) was rabbit IgG at 1:100 dilution used under the same conditions. Unlabelled sample without incubation with primary antibody and secondary antibody (Red line) was used as a blank control.





