| Western blot (WB): | 1:500-2000 |
| Immunohistochemistry (IHC): | 1:50-400 |
| Immunocytochemistry/Immunofluorescence (ICC/IF): | 1:50-400 |
| (Boiling the paraffin sections in 10mM citrate buffer,pH6.0,or PH8.0 EDTA repair liquid for 20 mins is required for the staining of formalin/paraffin sections.) Optimal working dilutions must be determined by end user. | |

Western blot analysis of GRP78/BIP/HSPA5 using anti-GRP78/BIP/HSPA5 antibody (BA2042). The sample well of each lane was loaded with 30 ug of sample under reducing conditions.
Lane 1: Rat Testis tissue lysates,
Lane 2: A549 whole cell lysates,
Lane 3: MCF-7 whole cell lysates,
Lane 4: HELA whole cell lysates.
After electrophoresis, proteins were transferred to a membrane. Then the membrane was incubated with rabbit anti-GRP78/BIP/HSPA5 antigen affinity purified polyclonal antibody (BA2042) at a dilution of 1:1000 and probed with a goat anti-rabbit IgG-HRP secondary antibody (Catalog # BA1054). The signal is developed using ECL Plus Western Blotting Substrate (Catalog # AR1197). A specific band was detected for GRP78/BIP/HSPA5 at approximately 78 kDa. The expected band size for GRP78/BIP/HSPA5 is at 72 kDa.

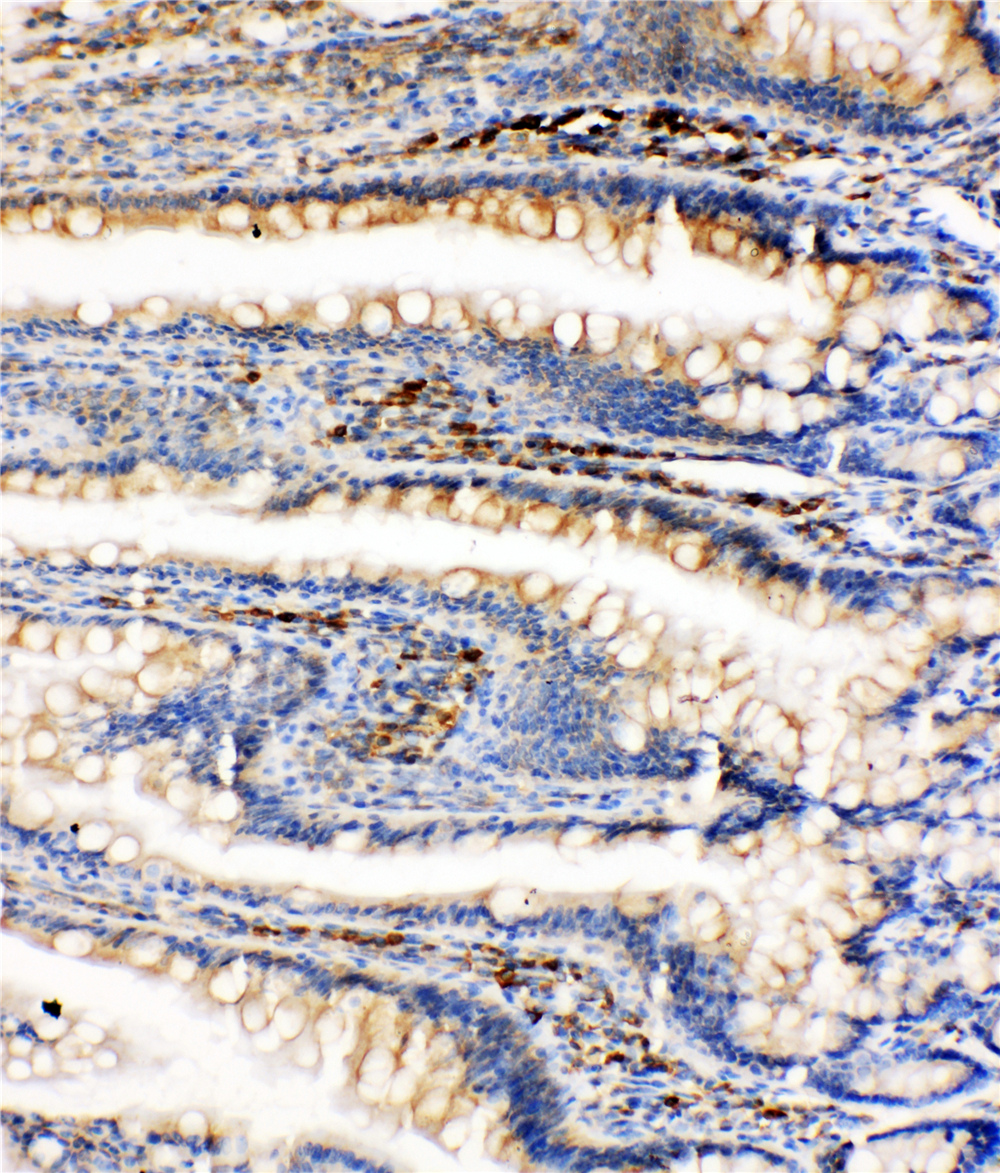
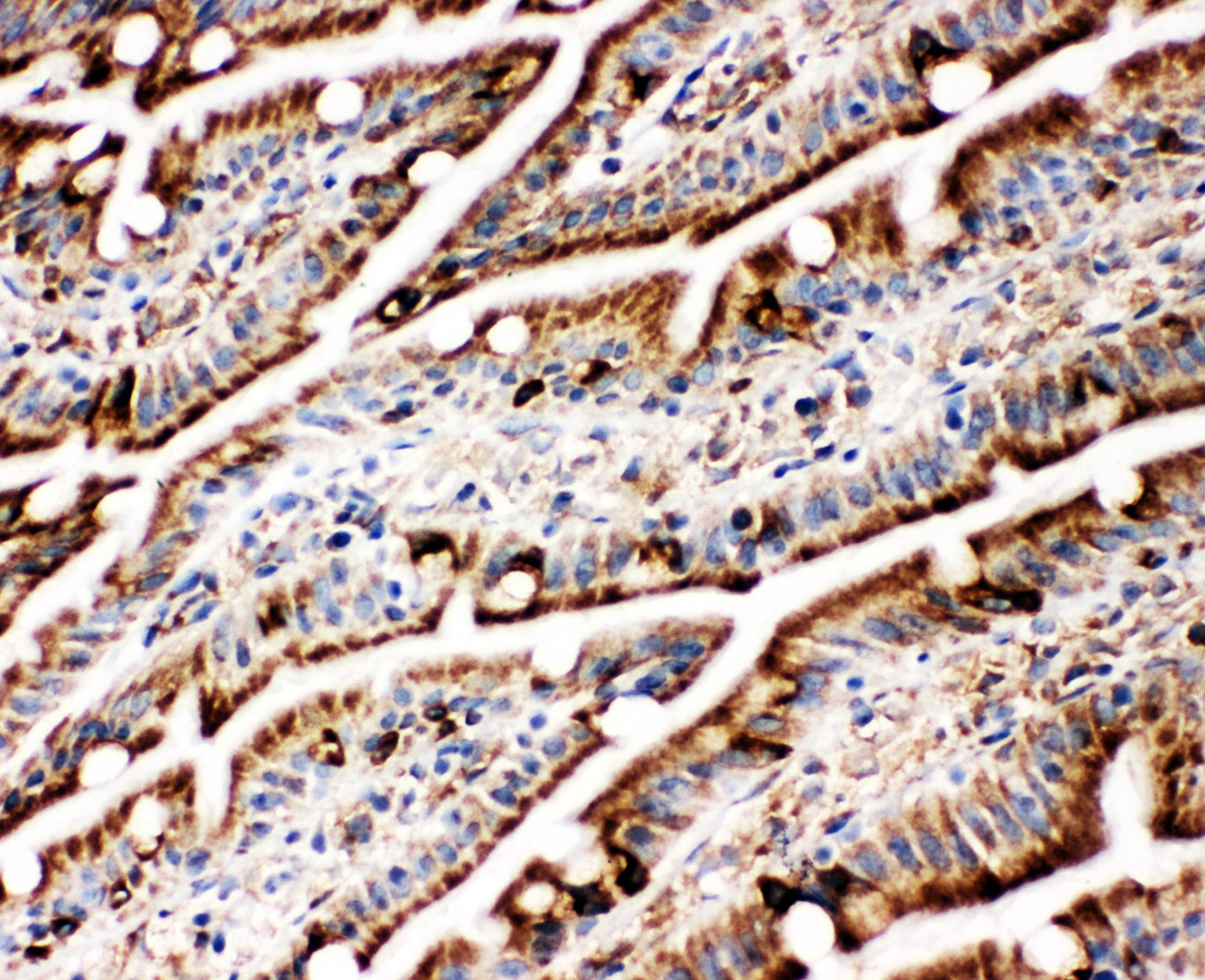
IHC analysis of GRP78/BIP/HSPA5 using anti-GRP78/BIP/HSPA5 antibody (BA2042).
GRP78/BIP/HSPA5 was detected in a paraffin-embedded section of rat intestine tissue. The tissue section was incubated with rabbit anti-GRP78/BIP/HSPA5 Antibody (BA2042) at a dilution of 1:200 and developed using HRP Conjugated Rabbit IgG Super Vision Assay Kit (Catalog # SV0002) with DAB (Catalog # AR1027) as the chromogen.

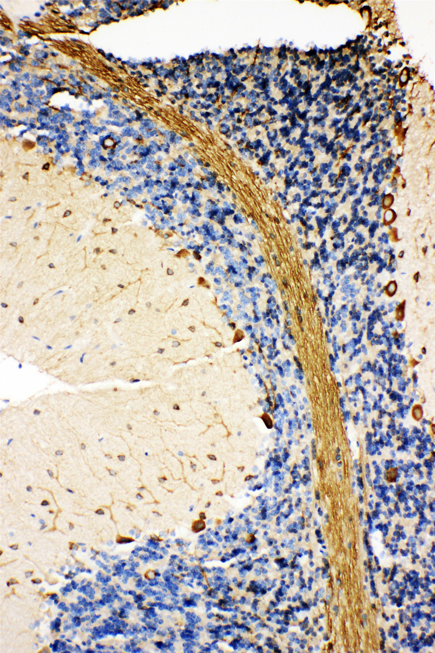
IHC analysis of GRP78/BIP/HSPA5 using anti-GRP78/BIP/HSPA5 antibody (BA2042).
GRP78/BIP/HSPA5 was detected in a paraffin-embedded section of rat cerebellum tissue. The tissue section was incubated with rabbit anti-GRP78/BIP/HSPA5 Antibody (BA2042) at a dilution of 1:200 and developed using HRP Conjugated Rabbit IgG Super Vision Assay Kit (Catalog # SV0002) with DAB (Catalog # AR1027) as the chromogen.

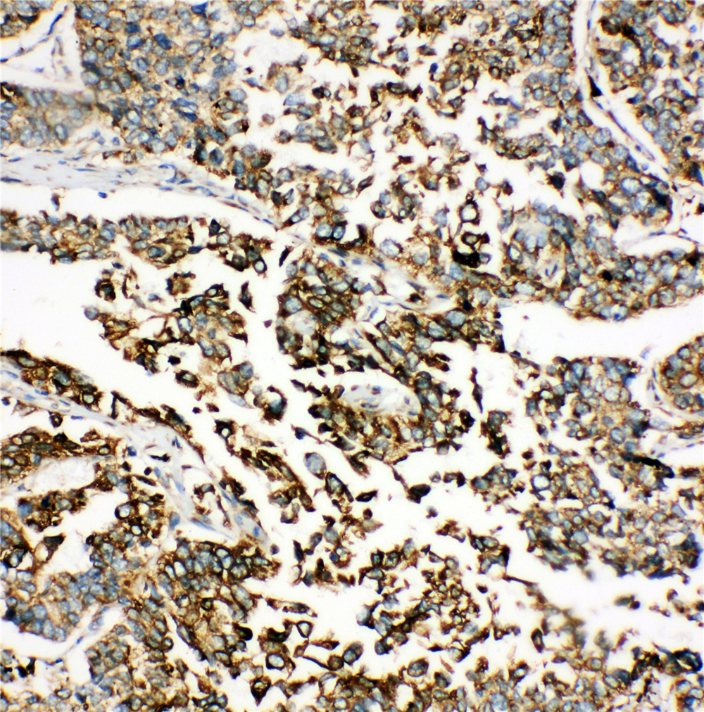
IHC analysis of GRP78/BIP/HSPA5 using anti-GRP78/BIP/HSPA5 antibody (BA2042).
GRP78/BIP/HSPA5 was detected in a paraffin-embedded section of human lung cancer tissue. The tissue section was incubated with rabbit anti-GRP78/BIP/HSPA5 Antibody (BA2042) at a dilution of 1:200 and developed using HRP Conjugated Rabbit IgG Super Vision Assay Kit (Catalog # SV0002) with DAB (Catalog # AR1027) as the chromogen.

ICC analysis of GRP78/BIP/HSPA5 using anti- GRP78/BIP/HSPA5 antibody (BA2042).
GRP78/BIP/HSPA5 was detected in an immunocytochemical section of Hela cells. The section was incubated with rabbit anti-GRP78/BIP/HSPA5 Antibody (BA2042) at a dilution of 1:100. Biotinylated goat anti-rabbit IgG was used as secondary antibody. The section was developed using Strepavidin-Biotin-Complex (SABC)(Catalog # SA1022) with DAB (Catalog # AR1027) as the chromogen.

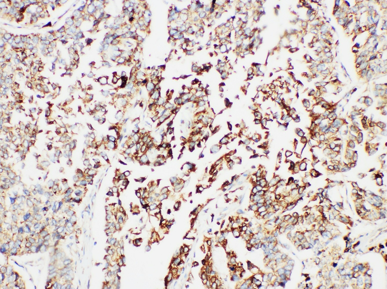
IHC analysis of GRP78/BIP/HSPA5 using anti-GRP78/BIP/HSPA5 antibody (BA2042).
GRP78/BIP/HSPA5 was detected in frozen section of rat intestine tissue. The tissue section was incubated with rabbit anti-GRP78/BIP/HSPA5 Antibody (BA2042) at a dilution of 1:200 and developed using HRP Conjugated Rabbit IgG Super Vision Assay Kit (Catalog # SV0002) with DAB (Catalog # AR1027) as the chromogen.

Western blot analysis of GRP78/BIP/HSPA5 using anti-GRP78/BIP/HSPA5 antibody (BA2042). The sample well of each lane was loaded with 30 ug of sample under reducing conditions.
Lane 1: Rat Testis tissue lysates,
Lane 2: A549 whole cell lysates,
Lane 3: MCF-7 whole cell lysates,
Lane 4: HELA whole cell lysates.
After electrophoresis, proteins were transferred to a membrane. Then the membrane was incubated with rabbit anti-GRP78/BIP/HSPA5 antigen affinity purified polyclonal antibody (BA2042) at a dilution of 1:1000 and probed with a goat anti-rabbit IgG-HRP secondary antibody (Catalog # BA1054). The signal is developed using ECL Plus Western Blotting Substrate (Catalog # AR1197). A specific band was detected for GRP78/BIP/HSPA5 at approximately 78 kDa. The expected band size for GRP78/BIP/HSPA5 is at 72 kDa.

IHC analysis of GRP78/BIP/HSPA5 using anti-GRP78/BIP/HSPA5 antibody (BA2042).
GRP78/BIP/HSPA5 was detected in a paraffin-embedded section of rat intestine tissue. The tissue section was incubated with rabbit anti-GRP78/BIP/HSPA5 Antibody (BA2042) at a dilution of 1:200 and developed using HRP Conjugated Rabbit IgG Super Vision Assay Kit (Catalog # SV0002) with DAB (Catalog # AR1027) as the chromogen.

IHC analysis of GRP78/BIP/HSPA5 using anti-GRP78/BIP/HSPA5 antibody (BA2042).
GRP78/BIP/HSPA5 was detected in a paraffin-embedded section of rat cerebellum tissue. The tissue section was incubated with rabbit anti-GRP78/BIP/HSPA5 Antibody (BA2042) at a dilution of 1:200 and developed using HRP Conjugated Rabbit IgG Super Vision Assay Kit (Catalog # SV0002) with DAB (Catalog # AR1027) as the chromogen.

IHC analysis of GRP78/BIP/HSPA5 using anti-GRP78/BIP/HSPA5 antibody (BA2042).
GRP78/BIP/HSPA5 was detected in a paraffin-embedded section of human lung cancer tissue. The tissue section was incubated with rabbit anti-GRP78/BIP/HSPA5 Antibody (BA2042) at a dilution of 1:200 and developed using HRP Conjugated Rabbit IgG Super Vision Assay Kit (Catalog # SV0002) with DAB (Catalog # AR1027) as the chromogen.

ICC analysis of GRP78/BIP/HSPA5 using anti- GRP78/BIP/HSPA5 antibody (BA2042).
GRP78/BIP/HSPA5 was detected in an immunocytochemical section of Hela cells. The section was incubated with rabbit anti-GRP78/BIP/HSPA5 Antibody (BA2042) at a dilution of 1:100. Biotinylated goat anti-rabbit IgG was used as secondary antibody. The section was developed using Strepavidin-Biotin-Complex (SABC)(Catalog # SA1022) with DAB (Catalog # AR1027) as the chromogen.

IHC analysis of GRP78/BIP/HSPA5 using anti-GRP78/BIP/HSPA5 antibody (BA2042).
GRP78/BIP/HSPA5 was detected in frozen section of rat intestine tissue. The tissue section was incubated with rabbit anti-GRP78/BIP/HSPA5 Antibody (BA2042) at a dilution of 1:200 and developed using HRP Conjugated Rabbit IgG Super Vision Assay Kit (Catalog # SV0002) with DAB (Catalog # AR1027) as the chromogen.





