| Western blot (WB): | 1:500-2000 |
| Immunohistochemistry (IHC): | 1:50-400 |
| Immunocytochemistry/Immunofluorescence (ICC/IF): | 1:50-400 |
| (Boiling the paraffin sections in 10mM citrate buffer,pH6.0,or PH8.0 EDTA repair liquid for 20 mins is required for the staining of formalin/paraffin sections.) Optimal working dilutions must be determined by end user. | |

Western blot analysis of AIF/AIFM1 using anti-AIF/AIFM1 antibody (BA3715). The sample well of each lane was loaded with 30 ug of sample under reducing conditions.
Lane 1: human MCF-7 whole cell lysates,
Lane 2: human K562 whole cell lysates,
Lane 3: human A549 whole cell lysates,
Lane 4: human HepG2 whole cell lysates,
Lane 5: rat kidney tissue lysates,
Lane 6: rat spleen tissue lysates,
Lane 7: mouse kidney tissue lysates,
Lane 8: mouse spleen tissue lysates.
After electrophoresis, proteins were transferred to a membrane. Then the membrane was incubated with rabbit anti-AIF/AIFM1 antigen affinity purified polyclonal antibody (BA3715) at a dilution of 1:1000 and probed with a goat anti-rabbit IgG-HRP secondary antibody (Catalog # BA1054). The signal is developed using ECL Plus Western Blotting Substrate (Catalog # AR1197). A specific band was detected for AIF/AIFM1 at approximately 67 kDa. The expected band size for AIF/AIFM1 is at 67 kDa.

IHC analysis of AIF/AIFM1 using anti-AIF/AIFM1 antibody (BA3715) .
AIF/AIFM1 was detected in a paraffin-embedded section of human lung cancer tissue. The tissue section was incubated with rabbit anti-AIF/AIFM1 Antibody (BA3715) at a dilution of 1:200 and developed using HRP Conjugated Rabbit IgG Super Vision Assay Kit (Catalog # SV0002) with DAB (Catalog # AR1027) as the chromogen.

IHC analysis of AIF/AIFM1 using anti-AIF/AIFM1 antibody (BA3715) .
AIF/AIFM1 was detected in a paraffin-embedded section of rat cardiac muscle tissue. The tissue section was incubated with rabbit anti-AIF/AIFM1 Antibody (BA3715) at a dilution of 1:200 and developed using HRP Conjugated Rabbit IgG Super Vision Assay Kit (Catalog # SV0002) with DAB (Catalog # AR1027) as the chromogen.

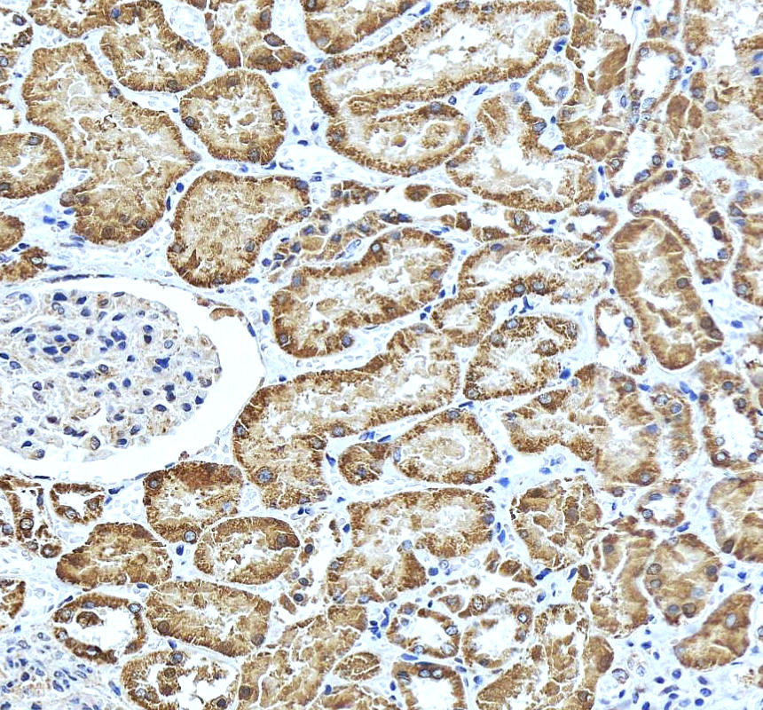
IHC analysis of AIF/AIFM1 using anti-AIF/AIFM1 antibody (BA3715).
AIF/AIFM1 was detected in a paraffin-embedded section of human kidney tissue. The tissue section was incubated with rabbit anti-AIF/AIFM1 Antibody (BA3715) at a dilution of 1:200 and developed using HRP Conjugated Rabbit IgG Super Vision Assay Kit (Catalog # SV0002) with DAB (Catalog # AR1027) as the chromogen.

ICC/IF analysis of AIF/AIFM1 using anti-AIF/AIFM1 antibody (BA3715).
AIF/AIFM1 was detected in an immunocytochemical section of MCF-7 cells. The section was incubated with rabbit anti-AIF/AIFM1 Antibody (BA3715) at a dilution of 1:100. Fluoro488 Conjugated Goat Anti-Rabbit IgG (Green) (Catalog # BA1127) was used as secondary antibody. The section was counterstained with DAPI (Catalog # AR1176) (Blue).

Western blot analysis of AIF/AIFM1 using anti-AIF/AIFM1 antibody (BA3715). The sample well of each lane was loaded with 30 ug of sample under reducing conditions.
Lane 1: human MCF-7 whole cell lysates,
Lane 2: human K562 whole cell lysates,
Lane 3: human A549 whole cell lysates,
Lane 4: human HepG2 whole cell lysates,
Lane 5: rat kidney tissue lysates,
Lane 6: rat spleen tissue lysates,
Lane 7: mouse kidney tissue lysates,
Lane 8: mouse spleen tissue lysates.
After electrophoresis, proteins were transferred to a membrane. Then the membrane was incubated with rabbit anti-AIF/AIFM1 antigen affinity purified polyclonal antibody (BA3715) at a dilution of 1:1000 and probed with a goat anti-rabbit IgG-HRP secondary antibody (Catalog # BA1054). The signal is developed using ECL Plus Western Blotting Substrate (Catalog # AR1197). A specific band was detected for AIF/AIFM1 at approximately 67 kDa. The expected band size for AIF/AIFM1 is at 67 kDa.

IHC analysis of AIF/AIFM1 using anti-AIF/AIFM1 antibody (BA3715) .
AIF/AIFM1 was detected in a paraffin-embedded section of human lung cancer tissue. The tissue section was incubated with rabbit anti-AIF/AIFM1 Antibody (BA3715) at a dilution of 1:200 and developed using HRP Conjugated Rabbit IgG Super Vision Assay Kit (Catalog # SV0002) with DAB (Catalog # AR1027) as the chromogen.

IHC analysis of AIF/AIFM1 using anti-AIF/AIFM1 antibody (BA3715) .
AIF/AIFM1 was detected in a paraffin-embedded section of rat cardiac muscle tissue. The tissue section was incubated with rabbit anti-AIF/AIFM1 Antibody (BA3715) at a dilution of 1:200 and developed using HRP Conjugated Rabbit IgG Super Vision Assay Kit (Catalog # SV0002) with DAB (Catalog # AR1027) as the chromogen.

IHC analysis of AIF/AIFM1 using anti-AIF/AIFM1 antibody (BA3715).
AIF/AIFM1 was detected in a paraffin-embedded section of human kidney tissue. The tissue section was incubated with rabbit anti-AIF/AIFM1 Antibody (BA3715) at a dilution of 1:200 and developed using HRP Conjugated Rabbit IgG Super Vision Assay Kit (Catalog # SV0002) with DAB (Catalog # AR1027) as the chromogen.

ICC/IF analysis of AIF/AIFM1 using anti-AIF/AIFM1 antibody (BA3715).
AIF/AIFM1 was detected in an immunocytochemical section of MCF-7 cells. The section was incubated with rabbit anti-AIF/AIFM1 Antibody (BA3715) at a dilution of 1:100. Fluoro488 Conjugated Goat Anti-Rabbit IgG (Green) (Catalog # BA1127) was used as secondary antibody. The section was counterstained with DAPI (Catalog # AR1176) (Blue).




