| Western blot (WB): | 1:1000-5000 |
| Immunohistochemistry (IHC): | 1:50-200 |
| Immunocytochemistry/Immunofluorescence (ICC/IF): | 1:50-200 |
| Flow Cytometry (FCM): | 1:20 |

Western blot analysis of anti-beta I Tubulin/TUBB1 antibody (BM3878). The sample well of each lane was loaded with 30 ug of sample under reducing conditions.
Lane 1: human Hela whole cell lysates,
Lane 2: human PC-3 whole cell lysates,
Lane 3: human A549 whole cell lysates,
Lane 4: human MCF-7 whole cell lysates,
Lane 5: rat testis tissue lysates,
Lane 6: mouse testis tissue lysates.
After electrophoresis, proteins were transferred to a membrane. Then the membrane was incubated with rabbit anti-beta I Tubulin/TUBB1 antigen affinity purified monoclonal antibody (BM3878) at a dilution of 1:1000 and probed with a goat anti-rabbit IgG-HRP secondary antibody (Catalog # BA1054). The signal is developed using ECL Plus Western Blotting Substrate (Catalog # AR1197). A specific band was detected for beta I Tubulin/TUBB1 at approximately 50 kDa. The expected band size for beta I Tubulin/TUBB1 is at 50 kDa.

IHC analysis of beta I Tubulin/TUBB1 using anti-beta I Tubulin/TUBB1 antibody (BM3878) .
beta I Tubulin/TUBB1 was detected in a paraffin-embedded section of human clear cell renal cell carcinoma tissue. The tissue section was incubated with rabbit anti-beta I Tubulin/TUBB1 Antibody (BM3878) at a dilution of 1:200 and developed using HRP Conjugated Rabbit IgG Super Vision Assay Kit (Catalog # SV0002) with DAB (Catalog # AR1027) as the chromogen.

IHC analysis of beta I Tubulin/TUBB1 using anti-beta I Tubulin/TUBB1 antibody (BM3878) .
beta I Tubulin/TUBB1 was detected in a paraffin-embedded section of human clear cell renal cell carcinoma tissue. The tissue section was incubated with rabbit anti-beta I Tubulin/TUBB1 Antibody (BM3878) at a dilution of 1:200 and developed using HRP Conjugated Rabbit IgG Super Vision Assay Kit (Catalog # SV0002) with DAB (Catalog # AR1027) as the chromogen.

IHC analysis of beta I Tubulin/TUBB1 using anti-beta I Tubulin/TUBB1 antibody (BM3878) .
beta I Tubulin/TUBB1 was detected in a paraffin-embedded section of human liver cancer tissue. The tissue section was incubated with rabbit anti-beta I Tubulin/TUBB1 Antibody (BM3878) at a dilution of 1:200 and developed using HRP Conjugated Rabbit IgG Super Vision Assay Kit (Catalog # SV0002) with DAB (Catalog # AR1027) as the chromogen.

IHC analysis of beta I Tubulin/TUBB1 using anti-beta I Tubulin/TUBB1 antibody (BM3878) .
beta I Tubulin/TUBB1 was detected in a paraffin-embedded section of human liver cancer tissue. The tissue section was incubated with rabbit anti-beta I Tubulin/TUBB1 Antibody (BM3878) at a dilution of 1:200 and developed using HRP Conjugated Rabbit IgG Super Vision Assay Kit (Catalog # SV0002) with DAB (Catalog # AR1027) as the chromogen.

IHC analysis of beta I Tubulin/TUBB1 using anti-beta I Tubulin/TUBB1 antibody (BM3878) .
beta I Tubulin/TUBB1 was detected in a paraffin-embedded section of human ovarian cancer tissue. The tissue section was incubated with rabbit anti-beta I Tubulin/TUBB1 Antibody (BM3878) at a dilution of 1:200 and developed using HRP Conjugated Rabbit IgG Super Vision Assay Kit (Catalog # SV0002) with DAB (Catalog # AR1027) as the chromogen.

IHC analysis of beta I Tubulin/TUBB1 using anti-beta I Tubulin/TUBB1 antibody (BM3878) .
beta I Tubulin/TUBB1 was detected in a paraffin-embedded section of human ovarian cancer tissue. The tissue section was incubated with rabbit anti-beta I Tubulin/TUBB1 Antibody (BM3878) at a dilution of 1:200 and developed using HRP Conjugated Rabbit IgG Super Vision Assay Kit (Catalog # SV0002) with DAB (Catalog # AR1027) as the chromogen.

IHC analysis of beta I Tubulin/TUBB1 using anti-beta I Tubulin/TUBB1 antibody (BM3878) .
beta I Tubulin/TUBB1 was detected in a paraffin-embedded section of human placenta tissue. The tissue section was incubated with rabbit anti-beta I Tubulin/TUBB1 Antibody (BM3878) at a dilution of 1:200 and developed using HRP Conjugated Rabbit IgG Super Vision Assay Kit (Catalog # SV0002) with DAB (Catalog # AR1027) as the chromogen.

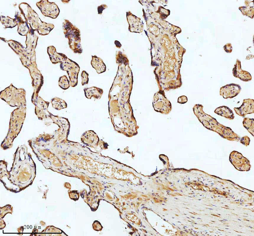
IHC analysis of beta I Tubulin/TUBB1 using anti-beta I Tubulin/TUBB1 antibody (BM3878) .
beta I Tubulin/TUBB1 was detected in a paraffin-embedded section of human placenta tissue. The tissue section was incubated with rabbit anti-beta I Tubulin/TUBB1 Antibody (BM3878) at a dilution of 1:200 and developed using HRP Conjugated Rabbit IgG Super Vision Assay Kit (Catalog # SV0002) with DAB (Catalog # AR1027) as the chromogen.

IHC analysis of beta I Tubulin/TUBB1 using anti-beta I Tubulin/TUBB1 antibody (BM3878) .
beta I Tubulin/TUBB1 was detected in a paraffin-embedded section of human rectum adenocarcinoma tissue. The tissue section was incubated with rabbit anti-beta I Tubulin/TUBB1 Antibody (BM3878) at a dilution of 1:200 and developed using HRP Conjugated Rabbit IgG Super Vision Assay Kit (Catalog # SV0002) with DAB (Catalog # AR1027) as the chromogen.

IHC analysis of beta I Tubulin/TUBB1 using anti-beta I Tubulin/TUBB1 antibody (BM3878) .
beta I Tubulin/TUBB1 was detected in a paraffin-embedded section of human rectum adenocarcinoma tissue. The tissue section was incubated with rabbit anti-beta I Tubulin/TUBB1 Antibody (BM3878) at a dilution of 1:200 and developed using HRP Conjugated Rabbit IgG Super Vision Assay Kit (Catalog # SV0002) with DAB (Catalog # AR1027) as the chromogen.

IHC analysis of beta I Tubulin/TUBB1 using anti-beta I Tubulin/TUBB1 antibody (BM3878) .
beta I Tubulin/TUBB1 was detected in a paraffin-embedded section of human thyroid papillary carcinoma tissue. The tissue section was incubated with rabbit anti-beta I Tubulin/TUBB1 Antibody (BM3878) at a dilution of 1:200 and developed using HRP Conjugated Rabbit IgG Super Vision Assay Kit (Catalog # SV0002) with DAB (Catalog # AR1027) as the chromogen.

IHC analysis of beta I Tubulin/TUBB1 using anti-beta I Tubulin/TUBB1 antibody (BM3878) .
beta I Tubulin/TUBB1 was detected in a paraffin-embedded section of human thyroid papillary carcinoma tissue. The tissue section was incubated with rabbit anti-beta I Tubulin/TUBB1 Antibody (BM3878) at a dilution of 1:200 and developed using HRP Conjugated Rabbit IgG Super Vision Assay Kit (Catalog # SV0002) with DAB (Catalog # AR1027) as the chromogen.

Western blot analysis of anti-beta I Tubulin/TUBB1 antibody (BM3878). The sample well of each lane was loaded with 30 ug of sample under reducing conditions.
Lane 1: human Hela whole cell lysates,
Lane 2: human PC-3 whole cell lysates,
Lane 3: human A549 whole cell lysates,
Lane 4: human MCF-7 whole cell lysates,
Lane 5: rat testis tissue lysates,
Lane 6: mouse testis tissue lysates.
After electrophoresis, proteins were transferred to a membrane. Then the membrane was incubated with rabbit anti-beta I Tubulin/TUBB1 antigen affinity purified monoclonal antibody (BM3878) at a dilution of 1:1000 and probed with a goat anti-rabbit IgG-HRP secondary antibody (Catalog # BA1054). The signal is developed using ECL Plus Western Blotting Substrate (Catalog # AR1197). A specific band was detected for beta I Tubulin/TUBB1 at approximately 50 kDa. The expected band size for beta I Tubulin/TUBB1 is at 50 kDa.

IHC analysis of beta I Tubulin/TUBB1 using anti-beta I Tubulin/TUBB1 antibody (BM3878) .
beta I Tubulin/TUBB1 was detected in a paraffin-embedded section of human clear cell renal cell carcinoma tissue. The tissue section was incubated with rabbit anti-beta I Tubulin/TUBB1 Antibody (BM3878) at a dilution of 1:200 and developed using HRP Conjugated Rabbit IgG Super Vision Assay Kit (Catalog # SV0002) with DAB (Catalog # AR1027) as the chromogen.

IHC analysis of beta I Tubulin/TUBB1 using anti-beta I Tubulin/TUBB1 antibody (BM3878) .
beta I Tubulin/TUBB1 was detected in a paraffin-embedded section of human clear cell renal cell carcinoma tissue. The tissue section was incubated with rabbit anti-beta I Tubulin/TUBB1 Antibody (BM3878) at a dilution of 1:200 and developed using HRP Conjugated Rabbit IgG Super Vision Assay Kit (Catalog # SV0002) with DAB (Catalog # AR1027) as the chromogen.

IHC analysis of beta I Tubulin/TUBB1 using anti-beta I Tubulin/TUBB1 antibody (BM3878) .
beta I Tubulin/TUBB1 was detected in a paraffin-embedded section of human liver cancer tissue. The tissue section was incubated with rabbit anti-beta I Tubulin/TUBB1 Antibody (BM3878) at a dilution of 1:200 and developed using HRP Conjugated Rabbit IgG Super Vision Assay Kit (Catalog # SV0002) with DAB (Catalog # AR1027) as the chromogen.

IHC analysis of beta I Tubulin/TUBB1 using anti-beta I Tubulin/TUBB1 antibody (BM3878) .
beta I Tubulin/TUBB1 was detected in a paraffin-embedded section of human liver cancer tissue. The tissue section was incubated with rabbit anti-beta I Tubulin/TUBB1 Antibody (BM3878) at a dilution of 1:200 and developed using HRP Conjugated Rabbit IgG Super Vision Assay Kit (Catalog # SV0002) with DAB (Catalog # AR1027) as the chromogen.

IHC analysis of beta I Tubulin/TUBB1 using anti-beta I Tubulin/TUBB1 antibody (BM3878) .
beta I Tubulin/TUBB1 was detected in a paraffin-embedded section of human ovarian cancer tissue. The tissue section was incubated with rabbit anti-beta I Tubulin/TUBB1 Antibody (BM3878) at a dilution of 1:200 and developed using HRP Conjugated Rabbit IgG Super Vision Assay Kit (Catalog # SV0002) with DAB (Catalog # AR1027) as the chromogen.

IHC analysis of beta I Tubulin/TUBB1 using anti-beta I Tubulin/TUBB1 antibody (BM3878) .
beta I Tubulin/TUBB1 was detected in a paraffin-embedded section of human ovarian cancer tissue. The tissue section was incubated with rabbit anti-beta I Tubulin/TUBB1 Antibody (BM3878) at a dilution of 1:200 and developed using HRP Conjugated Rabbit IgG Super Vision Assay Kit (Catalog # SV0002) with DAB (Catalog # AR1027) as the chromogen.

IHC analysis of beta I Tubulin/TUBB1 using anti-beta I Tubulin/TUBB1 antibody (BM3878) .
beta I Tubulin/TUBB1 was detected in a paraffin-embedded section of human placenta tissue. The tissue section was incubated with rabbit anti-beta I Tubulin/TUBB1 Antibody (BM3878) at a dilution of 1:200 and developed using HRP Conjugated Rabbit IgG Super Vision Assay Kit (Catalog # SV0002) with DAB (Catalog # AR1027) as the chromogen.

IHC analysis of beta I Tubulin/TUBB1 using anti-beta I Tubulin/TUBB1 antibody (BM3878) .
beta I Tubulin/TUBB1 was detected in a paraffin-embedded section of human placenta tissue. The tissue section was incubated with rabbit anti-beta I Tubulin/TUBB1 Antibody (BM3878) at a dilution of 1:200 and developed using HRP Conjugated Rabbit IgG Super Vision Assay Kit (Catalog # SV0002) with DAB (Catalog # AR1027) as the chromogen.

IHC analysis of beta I Tubulin/TUBB1 using anti-beta I Tubulin/TUBB1 antibody (BM3878) .
beta I Tubulin/TUBB1 was detected in a paraffin-embedded section of human rectum adenocarcinoma tissue. The tissue section was incubated with rabbit anti-beta I Tubulin/TUBB1 Antibody (BM3878) at a dilution of 1:200 and developed using HRP Conjugated Rabbit IgG Super Vision Assay Kit (Catalog # SV0002) with DAB (Catalog # AR1027) as the chromogen.

IHC analysis of beta I Tubulin/TUBB1 using anti-beta I Tubulin/TUBB1 antibody (BM3878) .
beta I Tubulin/TUBB1 was detected in a paraffin-embedded section of human rectum adenocarcinoma tissue. The tissue section was incubated with rabbit anti-beta I Tubulin/TUBB1 Antibody (BM3878) at a dilution of 1:200 and developed using HRP Conjugated Rabbit IgG Super Vision Assay Kit (Catalog # SV0002) with DAB (Catalog # AR1027) as the chromogen.

IHC analysis of beta I Tubulin/TUBB1 using anti-beta I Tubulin/TUBB1 antibody (BM3878) .
beta I Tubulin/TUBB1 was detected in a paraffin-embedded section of human thyroid papillary carcinoma tissue. The tissue section was incubated with rabbit anti-beta I Tubulin/TUBB1 Antibody (BM3878) at a dilution of 1:200 and developed using HRP Conjugated Rabbit IgG Super Vision Assay Kit (Catalog # SV0002) with DAB (Catalog # AR1027) as the chromogen.

IHC analysis of beta I Tubulin/TUBB1 using anti-beta I Tubulin/TUBB1 antibody (BM3878) .
beta I Tubulin/TUBB1 was detected in a paraffin-embedded section of human thyroid papillary carcinoma tissue. The tissue section was incubated with rabbit anti-beta I Tubulin/TUBB1 Antibody (BM3878) at a dilution of 1:200 and developed using HRP Conjugated Rabbit IgG Super Vision Assay Kit (Catalog # SV0002) with DAB (Catalog # AR1027) as the chromogen.
















