| Western blot (WB): | 1:500-2000 |
| Immunohistochemistry (IHC): | 1:50-200 |
| Immunocytochemistry/Immunofluorescence (ICC/IF): | 1:50-200 |
| Flow Cytometry (FCM): | 1:50 |

Western blot analysis of anti-Ubiquitin/UBB antibody (BM4359). The sample well of each lane was loaded with 30 ug of sample under reducing conditions.
Lane 1: human MCF-7 whole cell lysates,
Lane 2: human U251 whole cell lysates,
Lane 3: human A549 whole cell lysates,
Lane 4: human Caco-2 whole cell lysates,
Lane 5: rat testis tissue lysates,
Lane 6: rat brain tissue lysates,
Lane 7: mouse testis tissue lysates,
Lane 8: mouse brain tissue lysates.
After electrophoresis, proteins were transferred to a membrane. Then the membrane was incubated with rabbit anti-Ubiquitin/UBB antigen affinity purified monoclonal antibody (BM4359) at a dilution of 1:1000 and probed with a goat anti-rabbit IgG-HRP secondary antibody (Catalog # BA1054). The signal is developed using ECL Plus Western Blotting Substrate (Catalog # AR1197). A specific band was detected for Ubiquitin/UBB at approximately 10 kDa. The expected band size for Ubiquitin/UBB is at 26 kDa.

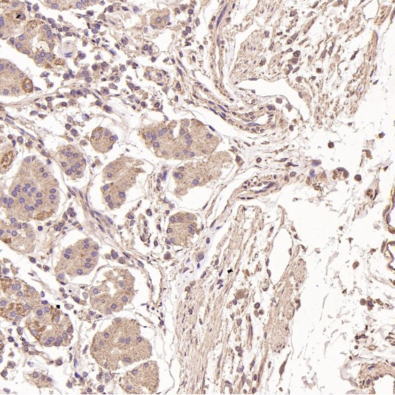
Immunohistochemical analysis of paraffin-embedded Human stomach, using the Antibody.

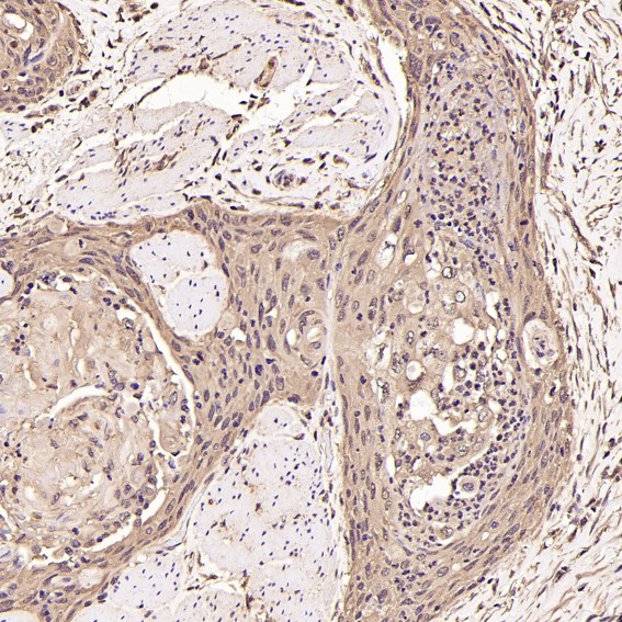
Immunohistochemical analysis of paraffin-embedded Human esophageal carcinoma, using the Antibody.

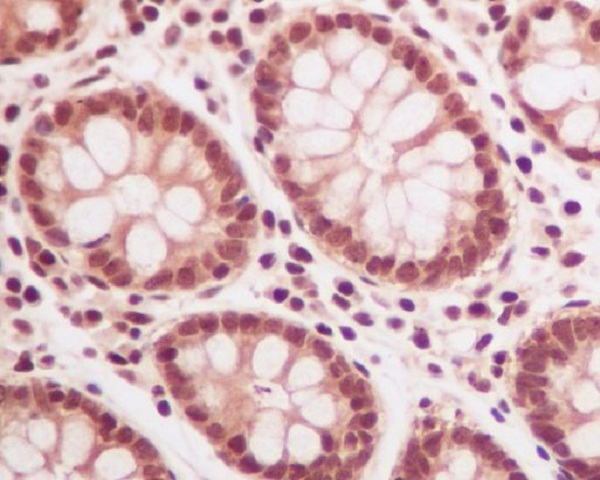
Immunohistochemical analysis of paraffin-embedded human colon, using Ubiquitin Antibody.

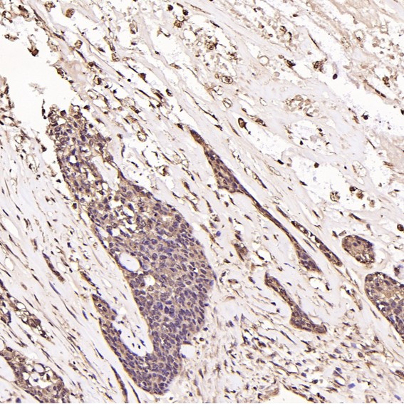
Immunohistochemical analysis of paraffin-embedded Human breast cancer, using the Antibody.

Immunofluorescent analysis of Raji cells, using Ubiquitin Antibody .

Western blot analysis of anti-Ubiquitin/UBB antibody (BM4359). The sample well of each lane was loaded with 30 ug of sample under reducing conditions.
Lane 1: human MCF-7 whole cell lysates,
Lane 2: human U251 whole cell lysates,
Lane 3: human A549 whole cell lysates,
Lane 4: human Caco-2 whole cell lysates,
Lane 5: rat testis tissue lysates,
Lane 6: rat brain tissue lysates,
Lane 7: mouse testis tissue lysates,
Lane 8: mouse brain tissue lysates.
After electrophoresis, proteins were transferred to a membrane. Then the membrane was incubated with rabbit anti-Ubiquitin/UBB antigen affinity purified monoclonal antibody (BM4359) at a dilution of 1:1000 and probed with a goat anti-rabbit IgG-HRP secondary antibody (Catalog # BA1054). The signal is developed using ECL Plus Western Blotting Substrate (Catalog # AR1197). A specific band was detected for Ubiquitin/UBB at approximately 10 kDa. The expected band size for Ubiquitin/UBB is at 26 kDa.

Immunohistochemical analysis of paraffin-embedded Human stomach, using the Antibody.

Immunohistochemical analysis of paraffin-embedded Human esophageal carcinoma, using the Antibody.

Immunohistochemical analysis of paraffin-embedded human colon, using Ubiquitin Antibody.

Immunohistochemical analysis of paraffin-embedded Human breast cancer, using the Antibody.

Immunofluorescent analysis of Raji cells, using Ubiquitin Antibody .







