| Western blot (WB): | 1:500-2000 |
| ImmunoPrecipitation (IP): | 1:20 |
| Flow Cytometry (FCM): | 1:20 |

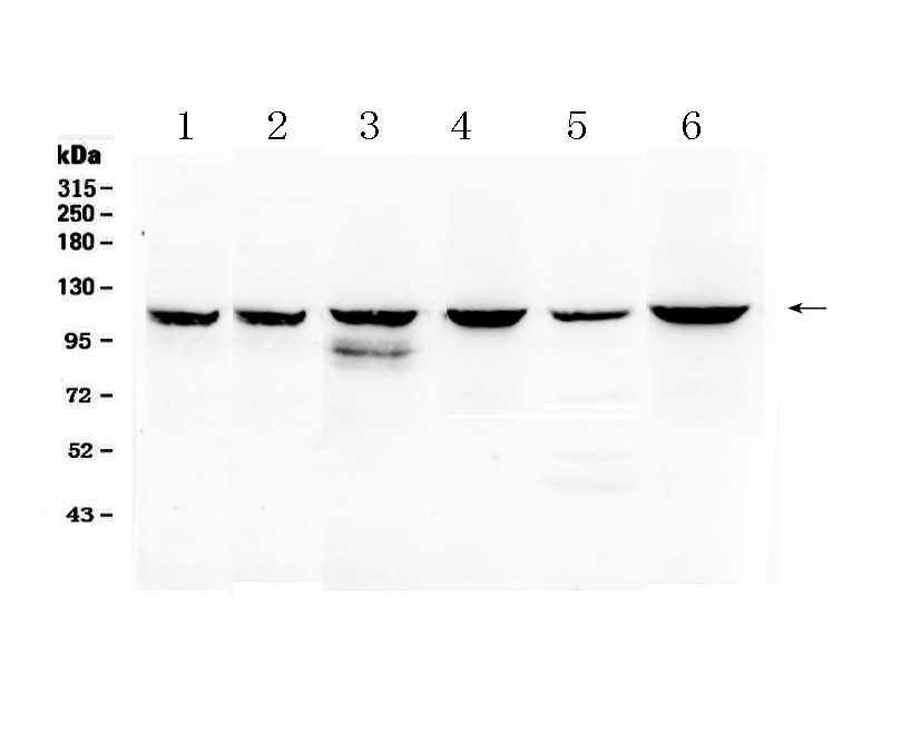
Western blot analysis of anti-PI3 Kinase p110 Beta/PIK3CB antibody (BM4459). The sample well of each lane was loaded with 30 ug of sample under reducing conditions.
Lane 1: human Hela whole cell lysates,
Lane 2: human Jurkat whole cell lysates,
Lane 3: human HepG2 whole cell lysates,
Lane 4: human MCF-7 whole cell lysates,
Lane 5: human HEL whole cell lysates,
Lane 6: human K562 whole cell lysates.
After electrophoresis, proteins were transferred to a membrane. Then the membrane was incubated with rabbit anti-PI3 Kinase p110 Beta/PIK3CB antigen affinity purified monoclonal antibody (BM4459) at a dilution of 1:1000 and probed with a goat anti-rabbit IgG-HRP secondary antibody (Catalog # BA1054). The signal is developed using ECL Plus Western Blotting Substrate (Catalog # AR1197). A specific band was detected for PI3 Kinase p110 Beta/PIK3CB at approximately 110 kDa. The expected band size for PI3 Kinase p110 Beta/PIK3CB is at 123 kDa.

Western blot analysis of anti-PI3 Kinase p110 Beta/PIK3CB antibody (BM4459). The sample well of each lane was loaded with 30 ug of sample under reducing conditions.
Lane 1: human Hela whole cell lysates,
Lane 2: human Jurkat whole cell lysates,
Lane 3: human HepG2 whole cell lysates,
Lane 4: human MCF-7 whole cell lysates,
Lane 5: human HEL whole cell lysates,
Lane 6: human K562 whole cell lysates.
After electrophoresis, proteins were transferred to a membrane. Then the membrane was incubated with rabbit anti-PI3 Kinase p110 Beta/PIK3CB antigen affinity purified monoclonal antibody (BM4459) at a dilution of 1:1000 and probed with a goat anti-rabbit IgG-HRP secondary antibody (Catalog # BA1054). The signal is developed using ECL Plus Western Blotting Substrate (Catalog # AR1197). A specific band was detected for PI3 Kinase p110 Beta/PIK3CB at approximately 110 kDa. The expected band size for PI3 Kinase p110 Beta/PIK3CB is at 123 kDa.




