| Western blot (WB): | 1:500-2000 |
| Immunohistochemistry (IHC): | 1:50-200 |
| Immunocytochemistry/Immunofluorescence (ICC/IF): | 1:50-200 |
| ImmunoPrecipitation (IP): | 1:20 |

Western blot analysis of anti-NFKBIB antibody (BM4514). The sample well of each lane was loaded with 30 ug of sample under reducing conditions.
Lane 1: human Jurkat whole cell lysates,
Lane 2: human Hela whole cell lysates,
Lane 3: human MCF-7 whole cell lysates,
Lane 4: human A549 whole cell lysates.
After electrophoresis, proteins were transferred to a membrane. Then the membrane was incubated with rabbit anti-NFKBIB antigen affinity purified monoclonal antibody (BM4514) at a dilution of 1:1000 and probed with a goat anti-rabbit IgG-HRP secondary antibody (Catalog # BA1054). The signal is developed using ECL Plus Western Blotting Substrate (Catalog # AR1197). A specific band was detected for NFKBIB at approximately 48 kDa. The expected band size for NFKBIB is at 38 kDa.

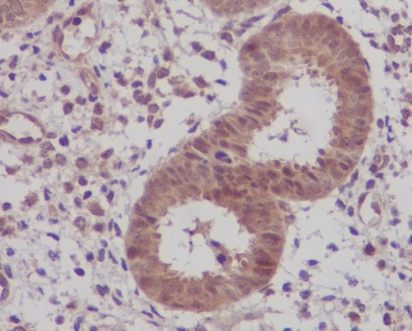
Immunohistochemical analysis of paraffin-embedded human uterus, using IKB beta Antibody.

Western blot analysis of anti-NFKBIB antibody (BM4514). The sample well of each lane was loaded with 30 ug of sample under reducing conditions.
Lane 1: human Jurkat whole cell lysates,
Lane 2: human Hela whole cell lysates,
Lane 3: human MCF-7 whole cell lysates,
Lane 4: human A549 whole cell lysates.
After electrophoresis, proteins were transferred to a membrane. Then the membrane was incubated with rabbit anti-NFKBIB antigen affinity purified monoclonal antibody (BM4514) at a dilution of 1:1000 and probed with a goat anti-rabbit IgG-HRP secondary antibody (Catalog # BA1054). The signal is developed using ECL Plus Western Blotting Substrate (Catalog # AR1197). A specific band was detected for NFKBIB at approximately 48 kDa. The expected band size for NFKBIB is at 38 kDa.

Immunohistochemical analysis of paraffin-embedded human uterus, using IKB beta Antibody.





