| Western blot (WB): | 1:500-2000 |
| Immunohistochemistry (IHC): | 1:50-200 |
| Immunocytochemistry/Immunofluorescence (ICC/IF): | 1:50-200 |
| ImmunoPrecipitation (IP): | 1:20 |
| Flow Cytometry (FCM): | 1:20 |

Western blot analysis of E2F1 using anti-E2F1 antibody (BM4848). The sample well of each lane was loaded with 30 ug of sample under reducing conditions.
Lane 1: human Hela whole cell lysates,
Lane 2: human HepG2 whole cell lysates,
Lane 3: human U2OS whole cell lysates,
Lane 4: rat brain tissue lysates,
Lane 5: rat PC-12 whole cell lysates,
Lane 6: mouse brain tissue lysates,
Lane 7: mouse NIH/3T3 whole cell lysates.
After electrophoresis, proteins were transferred to a membrane. Then the membrane was incubated with rabbit anti-E2F1 antigen affinity purified monoclonal antibody (BM4848) at a dilution of 1:1000 and probed with a goat anti-rabbit IgG-HRP secondary antibody (Catalog # BA1054). The signal is developed using ECL Plus Western Blotting Substrate (Catalog # AR1197). A specific band was detected for E2F1 at approximately 65-70 kDa. The expected band size for E2F1 is at 47 kDa.

IHC analysis of E2F1 using anti-E2F1 antibody (BM4848).
E2F1 was detected in a paraffin-embedded section of human colon adenocarcinoma tissue. The tissue section was incubated with rabbit anti-E2F1 Antibody (BM4848) at a dilution of 1:200 and developed using HRP Conjugated Rabbit IgG Super Vision Assay Kit (Catalog # SV0002) with DAB (Catalog # AR1027) as the chromogen.

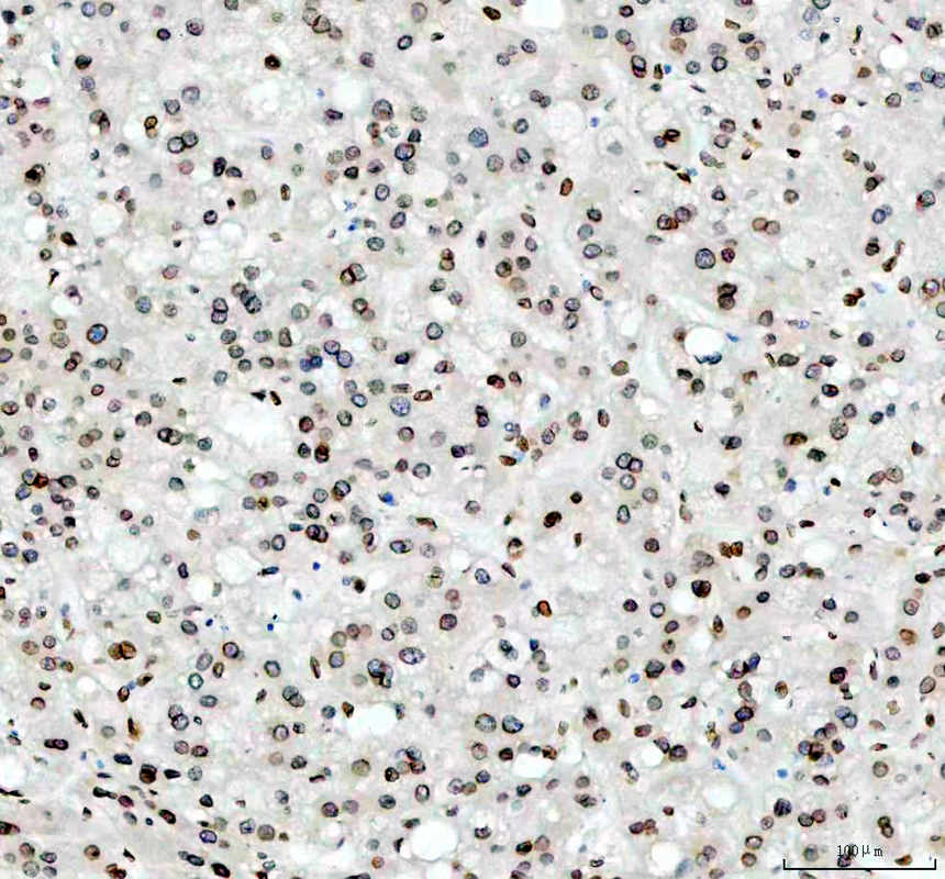
IHC analysis of E2F1 using anti-E2F1 antibody (BM4848).
E2F1 was detected in a paraffin-embedded section of human spleen tissue. The tissue section was incubated with rabbit anti-E2F1 Antibody (BM4848) at a dilution of 1:200 and developed using HRP Conjugated Rabbit IgG Super Vision Assay Kit (Catalog # SV0002) with DAB (Catalog # AR1027) as the chromogen.

IHC analysis of E2F1 using anti-E2F1 antibody (BM4848).
E2F1 was detected in a paraffin-embedded section of human breast cancer tissue. The tissue section was incubated with rabbit anti-E2F1 Antibody (BM4848) at a dilution of 1:200 and developed using HRP Conjugated Rabbit IgG Super Vision Assay Kit (Catalog # SV0002) with DAB (Catalog # AR1027) as the chromogen.

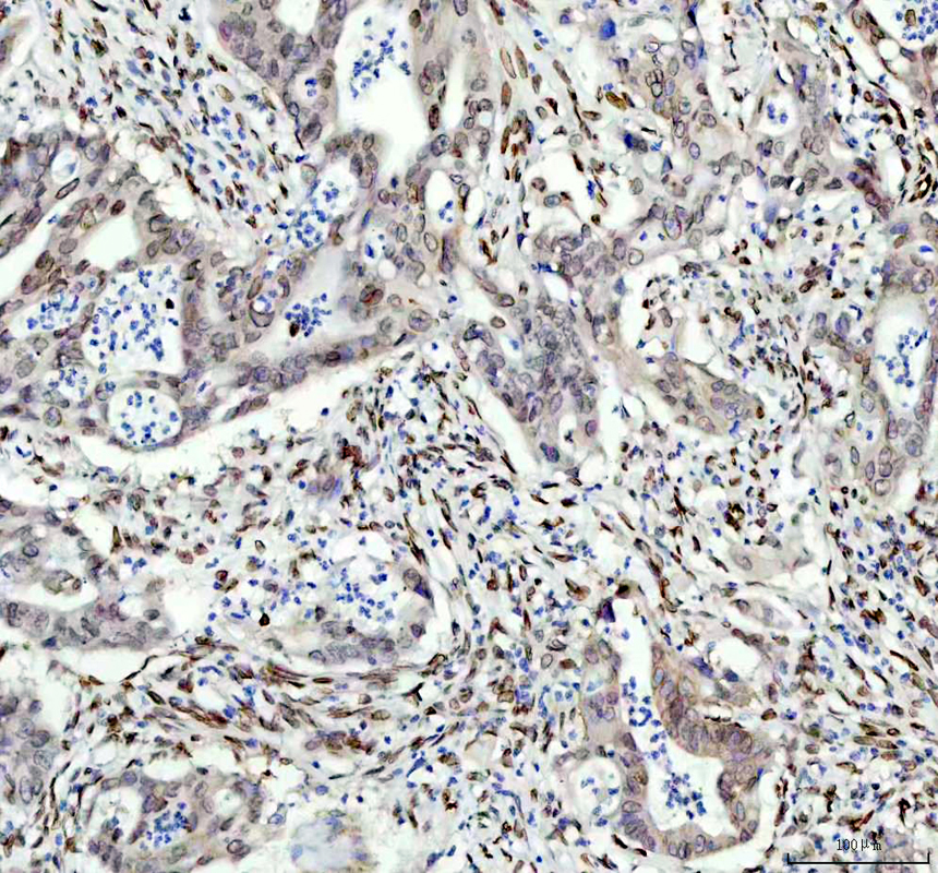
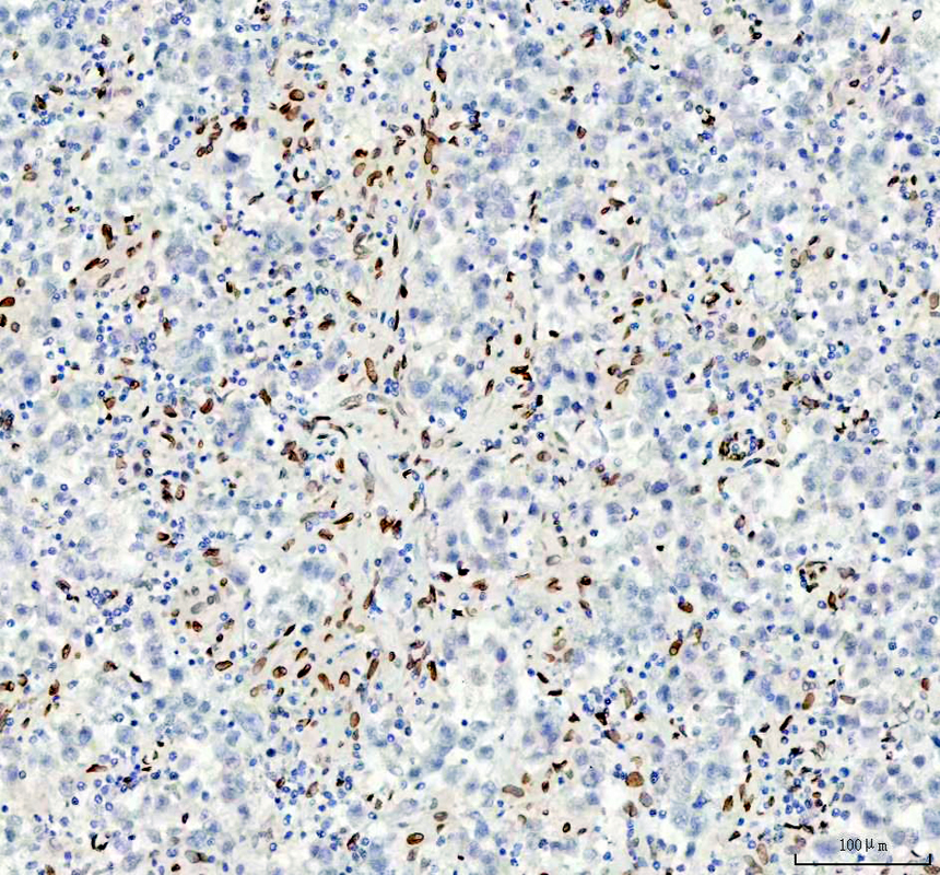
IHC analysis of E2F1 using anti-E2F1 antibody (BM4848).
E2F1 was detected in a paraffin-embedded section of human liver cancer tissue. The tissue section was incubated with rabbit anti-E2F1 Antibody (BM4848) at a dilution of 1:200 and developed using HRP Conjugated Rabbit IgG Super Vision Assay Kit (Catalog # SV0002) with DAB (Catalog # AR1027) as the chromogen.

IHC analysis of E2F1 using anti-E2F1 antibody (BM4848).
E2F1 was detected in a paraffin-embedded section of human lungcancer tissue. The tissue section was incubated with rabbit anti-E2F1 Antibody (BM4848) at a dilution of 1:200 and developed using HRP Conjugated Rabbit IgG Super Vision Assay Kit (Catalog # SV0002) with DAB (Catalog # AR1027) as the chromogen.

IHC analysis of E2F1 using anti-E2F1 antibody (BM4848).
E2F1 was detected in a paraffin-embedded section of human placenta tissue. The tissue section was incubated with rabbit anti-E2F1 Antibody (BM4848) at a dilution of 1:200 and developed using HRP Conjugated Rabbit IgG Super Vision Assay Kit (Catalog # SV0002) with DAB (Catalog # AR1027) as the chromogen.

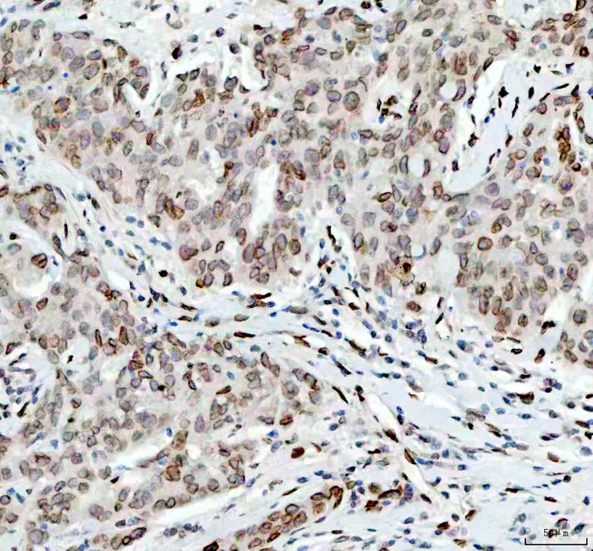
IHC analysis of E2F1 using anti-E2F1 antibody (BM4848).
E2F1 was detected in a paraffin-embedded section of human testis cancer tissue. The tissue section was incubated with rabbit anti-E2F1 Antibody (BM4848) at a dilution of 1:200 and developed using HRP Conjugated Rabbit IgG Super Vision Assay Kit (Catalog # SV0002) with DAB (Catalog # AR1027) as the chromogen.

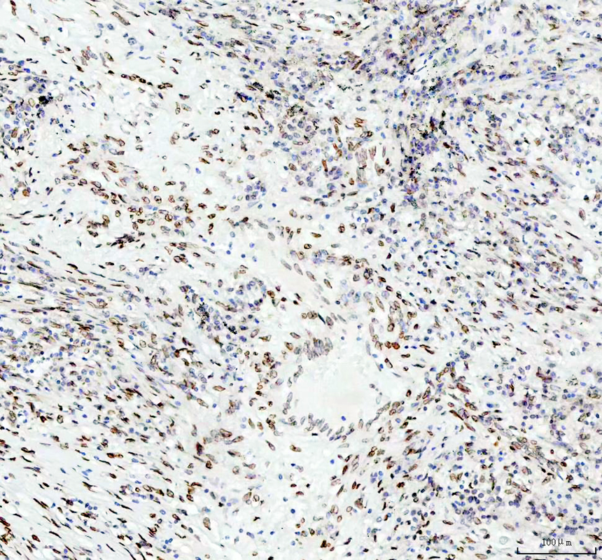
IHC analysis of E2F1 using anti-E2F1 antibody (BM4848).
E2F1 was detected in a paraffin-embedded section of human thyroid papillary carcinoma tissue. The tissue section was incubated with rabbit anti-E2F1 Antibody (BM4848) at a dilution of 1:200 and developed using HRP Conjugated Rabbit IgG Super Vision Assay Kit (Catalog # SV0002) with DAB (Catalog # AR1027) as the chromogen.

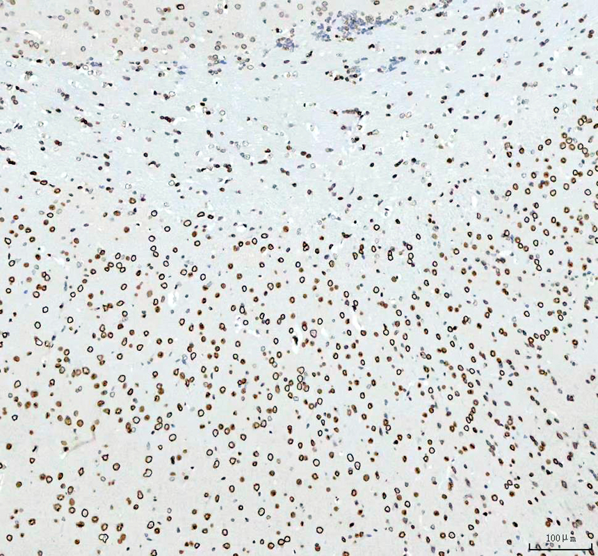
IHC analysis of E2F1 using anti-E2F1 antibody (BM4848).
E2F1 was detected in a paraffin-embedded section of mouse brain tissue. The tissue section was incubated with rabbit anti-E2F1 Antibody (BM4848) at a dilution of 1:200 and developed using HRP Conjugated Rabbit IgG Super Vision Assay Kit (Catalog # SV0002) with DAB (Catalog # AR1027) as the chromogen.

IHC analysis of E2F1 using anti-E2F1 antibody (BM4848).
E2F1 was detected in a paraffin-embedded section of rat brain tissue. The tissue section was incubated with rabbit anti-E2F1 Antibody (BM4848) at a dilution of 1:200 and developed using HRP Conjugated Rabbit IgG Super Vision Assay Kit (Catalog # SV0002) with DAB (Catalog # AR1027) as the chromogen.

Immunofluorescent analysis using the Antibody.

Immunofluorescent analysis using the Antibody.

Immunofluorescent analysis of HeLa cells, using E2F1 Antibody.

Western blot analysis of E2F1 using anti-E2F1 antibody (BM4848). The sample well of each lane was loaded with 30 ug of sample under reducing conditions.
Lane 1: human Hela whole cell lysates,
Lane 2: human HepG2 whole cell lysates,
Lane 3: human U2OS whole cell lysates,
Lane 4: rat brain tissue lysates,
Lane 5: rat PC-12 whole cell lysates,
Lane 6: mouse brain tissue lysates,
Lane 7: mouse NIH/3T3 whole cell lysates.
After electrophoresis, proteins were transferred to a membrane. Then the membrane was incubated with rabbit anti-E2F1 antigen affinity purified monoclonal antibody (BM4848) at a dilution of 1:1000 and probed with a goat anti-rabbit IgG-HRP secondary antibody (Catalog # BA1054). The signal is developed using ECL Plus Western Blotting Substrate (Catalog # AR1197). A specific band was detected for E2F1 at approximately 65-70 kDa. The expected band size for E2F1 is at 47 kDa.

IHC analysis of E2F1 using anti-E2F1 antibody (BM4848).
E2F1 was detected in a paraffin-embedded section of human colon adenocarcinoma tissue. The tissue section was incubated with rabbit anti-E2F1 Antibody (BM4848) at a dilution of 1:200 and developed using HRP Conjugated Rabbit IgG Super Vision Assay Kit (Catalog # SV0002) with DAB (Catalog # AR1027) as the chromogen.

IHC analysis of E2F1 using anti-E2F1 antibody (BM4848).
E2F1 was detected in a paraffin-embedded section of human spleen tissue. The tissue section was incubated with rabbit anti-E2F1 Antibody (BM4848) at a dilution of 1:200 and developed using HRP Conjugated Rabbit IgG Super Vision Assay Kit (Catalog # SV0002) with DAB (Catalog # AR1027) as the chromogen.

IHC analysis of E2F1 using anti-E2F1 antibody (BM4848).
E2F1 was detected in a paraffin-embedded section of human breast cancer tissue. The tissue section was incubated with rabbit anti-E2F1 Antibody (BM4848) at a dilution of 1:200 and developed using HRP Conjugated Rabbit IgG Super Vision Assay Kit (Catalog # SV0002) with DAB (Catalog # AR1027) as the chromogen.

IHC analysis of E2F1 using anti-E2F1 antibody (BM4848).
E2F1 was detected in a paraffin-embedded section of human liver cancer tissue. The tissue section was incubated with rabbit anti-E2F1 Antibody (BM4848) at a dilution of 1:200 and developed using HRP Conjugated Rabbit IgG Super Vision Assay Kit (Catalog # SV0002) with DAB (Catalog # AR1027) as the chromogen.

IHC analysis of E2F1 using anti-E2F1 antibody (BM4848).
E2F1 was detected in a paraffin-embedded section of human lungcancer tissue. The tissue section was incubated with rabbit anti-E2F1 Antibody (BM4848) at a dilution of 1:200 and developed using HRP Conjugated Rabbit IgG Super Vision Assay Kit (Catalog # SV0002) with DAB (Catalog # AR1027) as the chromogen.

IHC analysis of E2F1 using anti-E2F1 antibody (BM4848).
E2F1 was detected in a paraffin-embedded section of human placenta tissue. The tissue section was incubated with rabbit anti-E2F1 Antibody (BM4848) at a dilution of 1:200 and developed using HRP Conjugated Rabbit IgG Super Vision Assay Kit (Catalog # SV0002) with DAB (Catalog # AR1027) as the chromogen.

IHC analysis of E2F1 using anti-E2F1 antibody (BM4848).
E2F1 was detected in a paraffin-embedded section of human testis cancer tissue. The tissue section was incubated with rabbit anti-E2F1 Antibody (BM4848) at a dilution of 1:200 and developed using HRP Conjugated Rabbit IgG Super Vision Assay Kit (Catalog # SV0002) with DAB (Catalog # AR1027) as the chromogen.

IHC analysis of E2F1 using anti-E2F1 antibody (BM4848).
E2F1 was detected in a paraffin-embedded section of human thyroid papillary carcinoma tissue. The tissue section was incubated with rabbit anti-E2F1 Antibody (BM4848) at a dilution of 1:200 and developed using HRP Conjugated Rabbit IgG Super Vision Assay Kit (Catalog # SV0002) with DAB (Catalog # AR1027) as the chromogen.

IHC analysis of E2F1 using anti-E2F1 antibody (BM4848).
E2F1 was detected in a paraffin-embedded section of mouse brain tissue. The tissue section was incubated with rabbit anti-E2F1 Antibody (BM4848) at a dilution of 1:200 and developed using HRP Conjugated Rabbit IgG Super Vision Assay Kit (Catalog # SV0002) with DAB (Catalog # AR1027) as the chromogen.

IHC analysis of E2F1 using anti-E2F1 antibody (BM4848).
E2F1 was detected in a paraffin-embedded section of rat brain tissue. The tissue section was incubated with rabbit anti-E2F1 Antibody (BM4848) at a dilution of 1:200 and developed using HRP Conjugated Rabbit IgG Super Vision Assay Kit (Catalog # SV0002) with DAB (Catalog # AR1027) as the chromogen.

Immunofluorescent analysis using the Antibody.

Immunofluorescent analysis using the Antibody.

Immunofluorescent analysis of HeLa cells, using E2F1 Antibody.

















