| Western blot (WB): | 1:500-2000 |
| Immunohistochemistry (IHC): | 1:50-200 |
| Immunocytochemistry/Immunofluorescence (ICC/IF): | 1:50-200 |
| ImmunoPrecipitation (IP): | 1:20 |

Western blot analysis of anti-PKC Alpha/PRKCA antibody (BM4896). The sample well of each lane was loaded with 30 ug of sample under reducing conditions.
Lane 1: human Jurkat whole cell lysates,
Lane 2: human A549 whole cell lysates,
Lane 3: human U2OS whole cell lysates,
Lane 4: human Hela whole cell lysates,
Lane 5: rat thymus tissue lysates,
Lane 6: rat kidney tissue lysates,
Lane 7: mouse heart tissue lysates,
Lane 8: mouse kidney tissue lysates.
After electrophoresis, proteins were transferred to a membrane. Then the membrane was incubated with rabbit anti-PKC Alpha/PRKCA antigen affinity purified monoclonal antibody (BM4896) at a dilution of 1:1000 and probed with a goat anti-rabbit IgG-HRP secondary antibody (Catalog # BA1054). The signal is developed using ECL Plus Western Blotting Substrate (Catalog # AR1197). A specific band was detected for PKC Alpha/PRKCA at approximately 77 kDa. The expected band size for PKC Alpha/PRKCA is at 77 kDa.

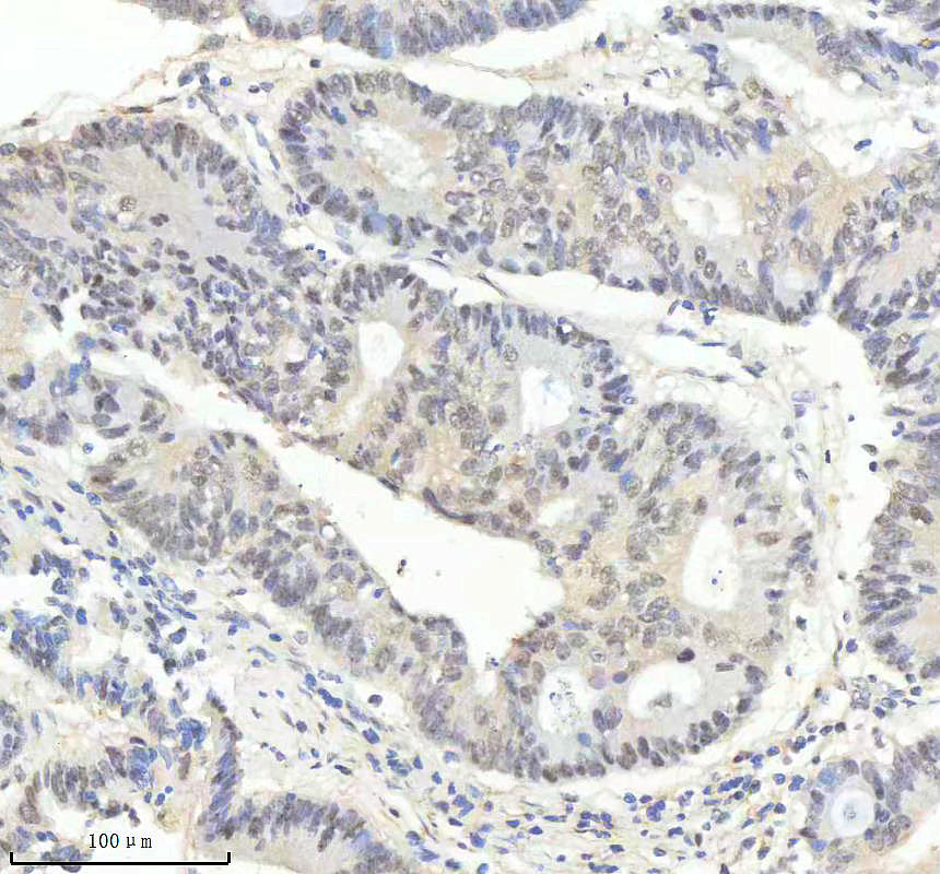
IHC analysis of P-PRKCA using anti-P-PRKCA antibody (BM4896).
P-PRKCA was detected in a paraffin-embedded section of human colon cancer tissue. The tissue section was incubated with rabbit anti-P-PRKCA Antibody (BM4896) at a dilution of 1:200 and developed using HRP Conjugated Rabbit IgG Super Vision Assay Kit (Catalog # SV0002) with DAB (Catalog # AR1027) as the chromogen.

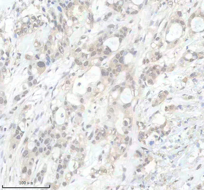
IHC analysis of P-PRKCA using anti-P-PRKCA antibody (BM4896).
P-PRKCA was detected in a paraffin-embedded section of human pancreas cancer tissue. The tissue section was incubated with rabbit anti-P-PRKCA Antibody (BM4896) at a dilution of 1:200 and developed using HRP Conjugated Rabbit IgG Super Vision Assay Kit (Catalog # SV0002) with DAB (Catalog # AR1027) as the chromogen.

Western blot analysis of anti-PKC Alpha/PRKCA antibody (BM4896). The sample well of each lane was loaded with 30 ug of sample under reducing conditions.
Lane 1: human Jurkat whole cell lysates,
Lane 2: human A549 whole cell lysates,
Lane 3: human U2OS whole cell lysates,
Lane 4: human Hela whole cell lysates,
Lane 5: rat thymus tissue lysates,
Lane 6: rat kidney tissue lysates,
Lane 7: mouse heart tissue lysates,
Lane 8: mouse kidney tissue lysates.
After electrophoresis, proteins were transferred to a membrane. Then the membrane was incubated with rabbit anti-PKC Alpha/PRKCA antigen affinity purified monoclonal antibody (BM4896) at a dilution of 1:1000 and probed with a goat anti-rabbit IgG-HRP secondary antibody (Catalog # BA1054). The signal is developed using ECL Plus Western Blotting Substrate (Catalog # AR1197). A specific band was detected for PKC Alpha/PRKCA at approximately 77 kDa. The expected band size for PKC Alpha/PRKCA is at 77 kDa.

IHC analysis of P-PRKCA using anti-P-PRKCA antibody (BM4896).
P-PRKCA was detected in a paraffin-embedded section of human colon cancer tissue. The tissue section was incubated with rabbit anti-P-PRKCA Antibody (BM4896) at a dilution of 1:200 and developed using HRP Conjugated Rabbit IgG Super Vision Assay Kit (Catalog # SV0002) with DAB (Catalog # AR1027) as the chromogen.

IHC analysis of P-PRKCA using anti-P-PRKCA antibody (BM4896).
P-PRKCA was detected in a paraffin-embedded section of human pancreas cancer tissue. The tissue section was incubated with rabbit anti-P-PRKCA Antibody (BM4896) at a dilution of 1:200 and developed using HRP Conjugated Rabbit IgG Super Vision Assay Kit (Catalog # SV0002) with DAB (Catalog # AR1027) as the chromogen.






