| Western blot (WB): | 1:500-2000 |
| Immunohistochemistry (IHC): | 1:50-200 |
| Immunocytochemistry/Immunofluorescence (ICC/IF): | 1:50-200 |

Western blot analysis of anti-AQP1 antibody (BM5035). The sample well of each lane was loaded with 30 ug of sample under reducing conditions.
Lane 1: rat kidney tissue lysates,
Lane 2: rat lung tissue lysates,
Lane 3: mouse kidney tissue lysates,
Lane 4: mouse lung tissue lysates.
After electrophoresis, proteins were transferred to a membrane. Then the membrane was incubated with rabbit anti-AQP1 antigen affinity purified monoclonal antibody (BM5035) at a dilution of 1:1000 and probed with a goat anti-rabbit IgG-HRP secondary antibody (Catalog # BA1054). The signal is developed using ECL Plus Western Blotting Substrate (Catalog # AR1197). A specific band was detected for AQP1 at approximately 25 kDa. The expected band size for AQP1 is at 25 kDa.

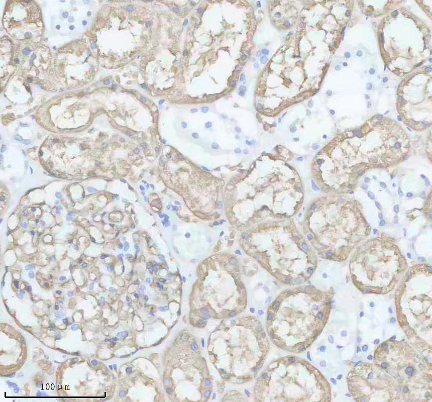
IHC analysis of AQP1 using anti-AQP1 antibody (BM5035).
AQP1 was detected in a paraffin-embedded section of human kidney tissue. The tissue section was incubated with rabbit anti-AQP1 Antibody (BM5035) at a dilution of 1:200 and developed using HRP Conjugated Rabbit IgG Super Vision Assay Kit (Catalog # SV0002) with DAB (Catalog # AR1027) as the chromogen.

IHC analysis of AQP1 using anti-AQP1 antibody (BM5035).
AQP1 was detected in a paraffin-embedded section of mouse lung tissue. The tissue section was incubated with rabbit anti-AQP1 Antibody (BM5035) at a dilution of 1:200 and developed using HRP Conjugated Rabbit IgG Super Vision Assay Kit (Catalog # SV0002) with DAB (Catalog # AR1027) as the chromogen.

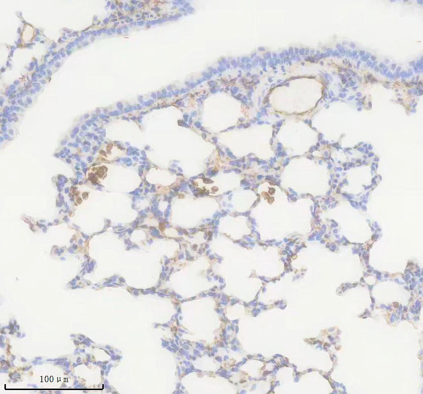
IHC analysis of AQP1 using anti-AQP1 antibody (BM5035).
AQP1 was detected in a paraffin-embedded section of rat lung tissue. The tissue section was incubated with rabbit anti-AQP1 Antibody (BM5035) at a dilution of 1:200 and developed using HRP Conjugated Rabbit IgG Super Vision Assay Kit (Catalog # SV0002) with DAB (Catalog # AR1027) as the chromogen.

Western blot analysis of anti-AQP1 antibody (BM5035). The sample well of each lane was loaded with 30 ug of sample under reducing conditions.
Lane 1: rat kidney tissue lysates,
Lane 2: rat lung tissue lysates,
Lane 3: mouse kidney tissue lysates,
Lane 4: mouse lung tissue lysates.
After electrophoresis, proteins were transferred to a membrane. Then the membrane was incubated with rabbit anti-AQP1 antigen affinity purified monoclonal antibody (BM5035) at a dilution of 1:1000 and probed with a goat anti-rabbit IgG-HRP secondary antibody (Catalog # BA1054). The signal is developed using ECL Plus Western Blotting Substrate (Catalog # AR1197). A specific band was detected for AQP1 at approximately 25 kDa. The expected band size for AQP1 is at 25 kDa.

IHC analysis of AQP1 using anti-AQP1 antibody (BM5035).
AQP1 was detected in a paraffin-embedded section of human kidney tissue. The tissue section was incubated with rabbit anti-AQP1 Antibody (BM5035) at a dilution of 1:200 and developed using HRP Conjugated Rabbit IgG Super Vision Assay Kit (Catalog # SV0002) with DAB (Catalog # AR1027) as the chromogen.

IHC analysis of AQP1 using anti-AQP1 antibody (BM5035).
AQP1 was detected in a paraffin-embedded section of mouse lung tissue. The tissue section was incubated with rabbit anti-AQP1 Antibody (BM5035) at a dilution of 1:200 and developed using HRP Conjugated Rabbit IgG Super Vision Assay Kit (Catalog # SV0002) with DAB (Catalog # AR1027) as the chromogen.

IHC analysis of AQP1 using anti-AQP1 antibody (BM5035).
AQP1 was detected in a paraffin-embedded section of rat lung tissue. The tissue section was incubated with rabbit anti-AQP1 Antibody (BM5035) at a dilution of 1:200 and developed using HRP Conjugated Rabbit IgG Super Vision Assay Kit (Catalog # SV0002) with DAB (Catalog # AR1027) as the chromogen.





