| Western blot (WB): | 1:500-2000 |
| Immunohistochemistry (IHC): | 1:50-200 |
| ImmunoPrecipitation (IP): | 1:20 |
| Flow Cytometry (FCM): | 1:20 |

Western blot analysis of anti-CaMKII Alpha/CAMK2A antibody (BM5046). The sample well of each lane was loaded with 30 ug of sample under reducing conditions.
Lane 1: rat Hippocampus tissue lysates,
Lane 2: rat brain tissue lysates,
Lane 3: rat C6 whole cell lysates,
Lane 4: mouse brain tissue lysates.
After electrophoresis, proteins were transferred to a membrane. Then the membrane was incubated with rabbit anti-CaMKII Alpha/CAMK2A antigen affinity purified monoclonal antibody (BM5046) at a dilution of 1:1000 and probed with a goat anti-rabbit IgG-HRP secondary antibody (Catalog # BA1054). The signal is developed using ECL Plus Western Blotting Substrate (Catalog # AR1197). A specific band was detected for CaMKII Alpha/CAMK2A at approximately 54 kDa. The expected band size for CaMKII Alpha/CAMK2A is at 54 kDa.

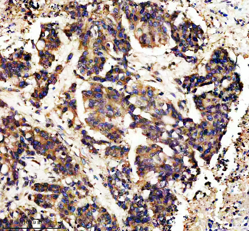
IHC analysis of CAMK2A using anti-CAMK2A antibody (BM5046).
CAMK2A was detected in a paraffin-embedded section of human colon cancer tissue. The tissue section was incubated with rabbit anti-CAMK2A Antibody (BM5046) at a dilution of 1:200 and developed using HRP Conjugated Rabbit IgG Super Vision Assay Kit (Catalog # SV0002) with DAB (Catalog # AR1027) as the chromogen.

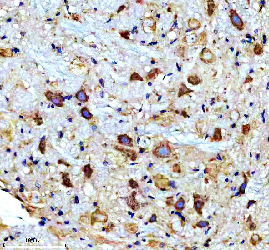
IHC analysis of CAMK2A using anti-CAMK2A antibody (BM5046).
CAMK2A was detected in a paraffin-embedded section of rat brain tissue. The tissue section was incubated with rabbit anti-CAMK2A Antibody (BM5046) at a dilution of 1:200 and developed using HRP Conjugated Rabbit IgG Super Vision Assay Kit (Catalog # SV0002) with DAB (Catalog # AR1027) as the chromogen.

Western blot analysis of anti-CaMKII Alpha/CAMK2A antibody (BM5046). The sample well of each lane was loaded with 30 ug of sample under reducing conditions.
Lane 1: rat Hippocampus tissue lysates,
Lane 2: rat brain tissue lysates,
Lane 3: rat C6 whole cell lysates,
Lane 4: mouse brain tissue lysates.
After electrophoresis, proteins were transferred to a membrane. Then the membrane was incubated with rabbit anti-CaMKII Alpha/CAMK2A antigen affinity purified monoclonal antibody (BM5046) at a dilution of 1:1000 and probed with a goat anti-rabbit IgG-HRP secondary antibody (Catalog # BA1054). The signal is developed using ECL Plus Western Blotting Substrate (Catalog # AR1197). A specific band was detected for CaMKII Alpha/CAMK2A at approximately 54 kDa. The expected band size for CaMKII Alpha/CAMK2A is at 54 kDa.

IHC analysis of CAMK2A using anti-CAMK2A antibody (BM5046).
CAMK2A was detected in a paraffin-embedded section of human colon cancer tissue. The tissue section was incubated with rabbit anti-CAMK2A Antibody (BM5046) at a dilution of 1:200 and developed using HRP Conjugated Rabbit IgG Super Vision Assay Kit (Catalog # SV0002) with DAB (Catalog # AR1027) as the chromogen.

IHC analysis of CAMK2A using anti-CAMK2A antibody (BM5046).
CAMK2A was detected in a paraffin-embedded section of rat brain tissue. The tissue section was incubated with rabbit anti-CAMK2A Antibody (BM5046) at a dilution of 1:200 and developed using HRP Conjugated Rabbit IgG Super Vision Assay Kit (Catalog # SV0002) with DAB (Catalog # AR1027) as the chromogen.






