| Western blot (WB): | 1:500-2000 |
| Immunohistochemistry (IHC): | 1:50-200 |
| Immunocytochemistry/Immunofluorescence (ICC/IF): | 1:50-200 |
| ImmunoPrecipitation (IP): | 1:20 |
| Flow Cytometry (FCM): | 1:20 |

Western blot analysis of anti-Lamin B2/LMNB2 antibody (BM5380). The sample well of each lane was loaded with 30 ug of sample under reducing conditions.
Lane 1: human Hacat whole cell lysates,
Lane 2: human A431 whole cell lysates,
Lane 3: human RT4 whole cell lysates,
Lane 4: human U251 whole cell lysates,
Lane 5: rat C6 whole cell lysates,
Lane 6: rat PC-12 whole cell lysates,
Lane 7: mouse Neuro-2a whole cell lysates,
Lane 8: mouse SP2/0 whole cell lysates.
After electrophoresis, proteins were transferred to a membrane. Then the membrane was incubated with rabbit anti-Lamin B2/LMNB2 antigen affinity purified monoclonal antibody (BM5380) at a dilution of 1:1000 and probed with a goat anti-rabbit IgG-HRP secondary antibody (Catalog # BA1054). The signal is developed using ECL Plus Western Blotting Substrate (Catalog # AR1197). A specific band was detected for Lamin B2/LMNB2 at approximately 72 kDa. The expected band size for Lamin B2/LMNB2 is at 70 kDa.

IHC analysis of Lamin B2/LMNB2 using anti-Lamin B2/LMNB2 antibody (BM5380) .
Lamin B2/LMNB2 was detected in a paraffin-embedded section of human breast cancer tissue. The tissue section was incubated with rabbit anti-Lamin B2/LMNB2 Antibody (BM5380) at a dilution of 1:200 and developed using HRP Conjugated Rabbit IgG Super Vision Assay Kit (Catalog # SV0002) with DAB (Catalog # AR1027) as the chromogen.

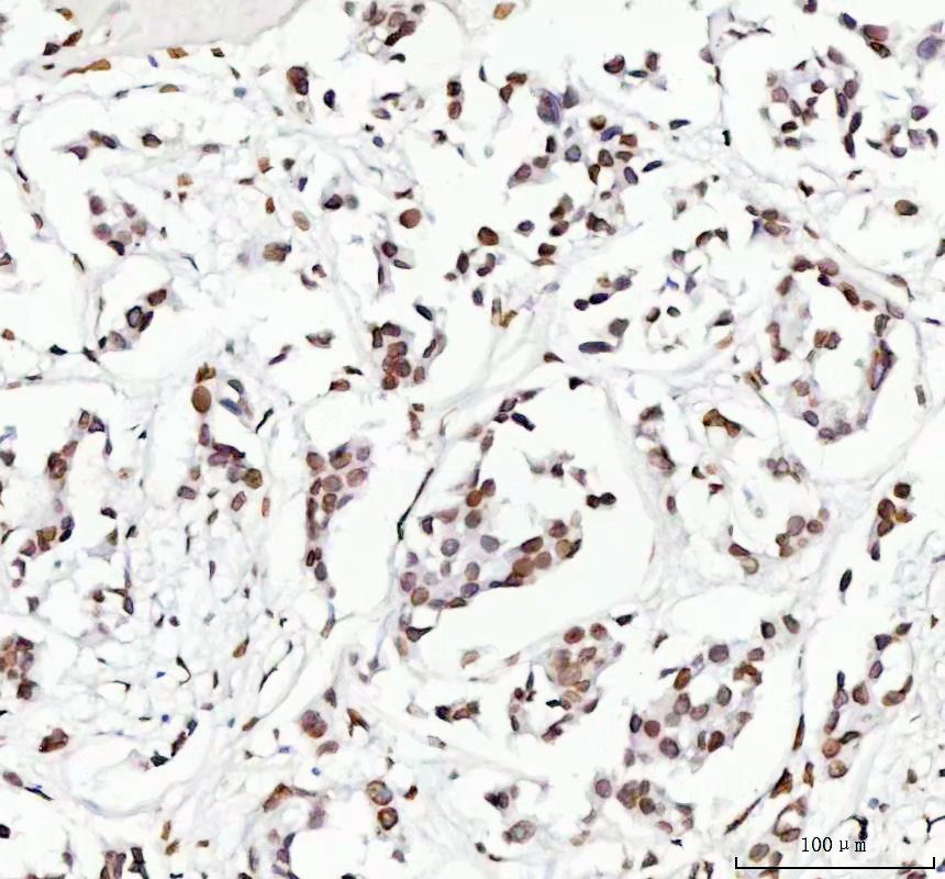
IHC analysis of Lamin B2/LMNB2 using anti-Lamin B2/LMNB2 antibody (BM5380) .
Lamin B2/LMNB2 was detected in a paraffin-embedded section of human colorectal adenocarcinoma tissue. The tissue section was incubated with rabbit anti-Lamin B2/LMNB2 Antibody (BM5380) at a dilution of 1:200 and developed using HRP Conjugated Rabbit IgG Super Vision Assay Kit (Catalog # SV0002) with DAB (Catalog # AR1027) as the chromogen.

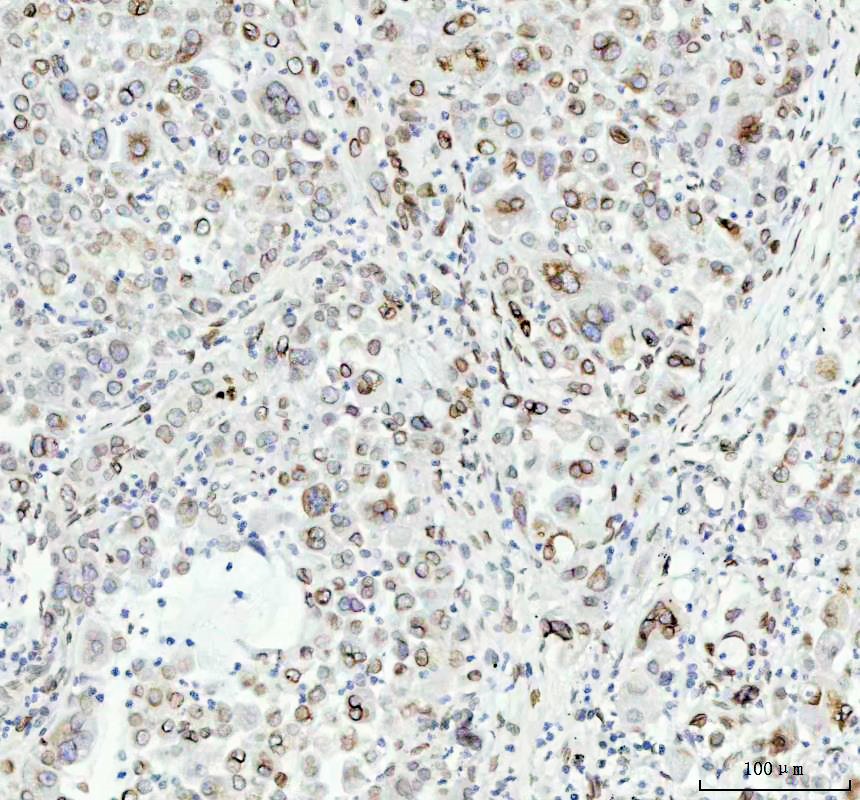
IHC analysis of Lamin B2/LMNB2 using anti-Lamin B2/LMNB2 antibody (BM5380) .
Lamin B2/LMNB2 was detected in a paraffin-embedded section of human lung cancer tissue. The tissue section was incubated with rabbit anti-Lamin B2/LMNB2 Antibody (BM5380) at a dilution of 1:200 and developed using HRP Conjugated Rabbit IgG Super Vision Assay Kit (Catalog # SV0002) with DAB (Catalog # AR1027) as the chromogen.

IHC analysis of Lamin B2/LMNB2 using anti-Lamin B2/LMNB2 antibody (BM5380) .
Lamin B2/LMNB2 was detected in a paraffin-embedded section of human placenta tissue. The tissue section was incubated with rabbit anti-Lamin B2/LMNB2 Antibody (BM5380) at a dilution of 1:200 and developed using HRP Conjugated Rabbit IgG Super Vision Assay Kit (Catalog # SV0002) with DAB (Catalog # AR1027) as the chromogen.

IHC analysis of Lamin B2/LMNB2 using anti-Lamin B2/LMNB2 antibody (BM5380) .
Lamin B2/LMNB2 was detected in a paraffin-embedded section of human spleen tissue. The tissue section was incubated with rabbit anti-Lamin B2/LMNB2 Antibody (BM5380) at a dilution of 1:200 and developed using HRP Conjugated Rabbit IgG Super Vision Assay Kit (Catalog # SV0002) with DAB (Catalog # AR1027) as the chromogen.

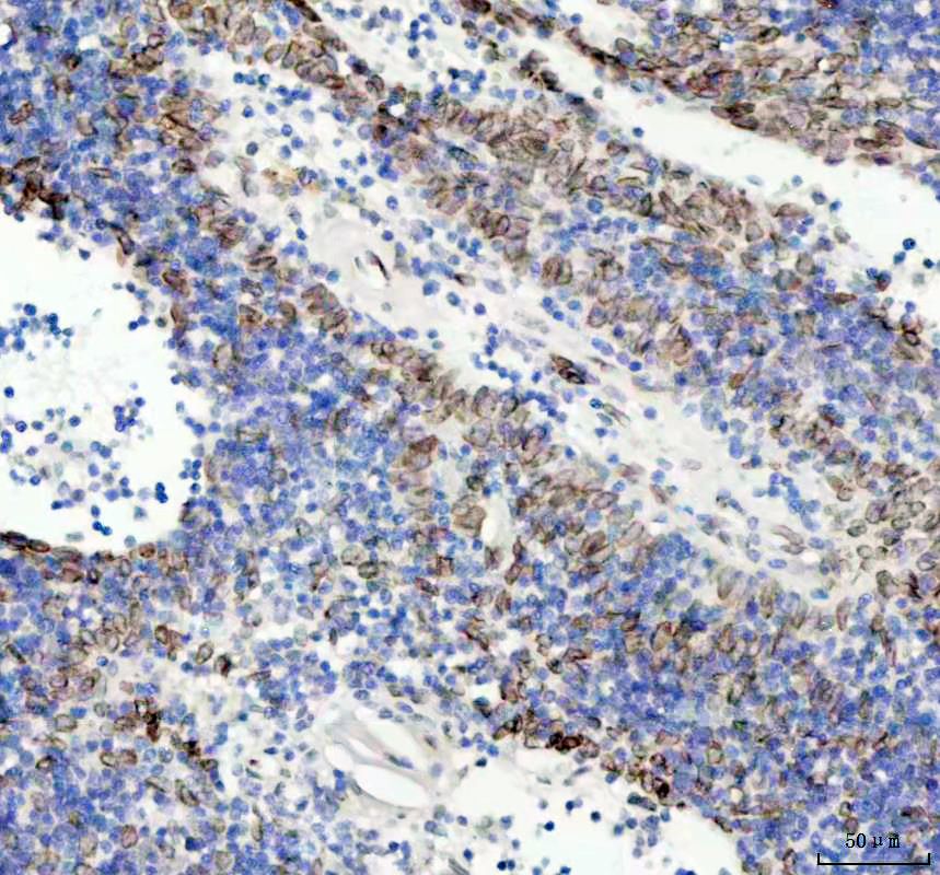
IHC analysis of Lamin B2/LMNB2 using anti-Lamin B2/LMNB2 antibody (BM5380) .
Lamin B2/LMNB2 was detected in a paraffin-embedded section of rat brain tissue. The tissue section was incubated with rabbit anti-Lamin B2/LMNB2 Antibody (BM5380) at a dilution of 1:200 and developed using HRP Conjugated Rabbit IgG Super Vision Assay Kit (Catalog # SV0002) with DAB (Catalog # AR1027) as the chromogen.

IHC analysis of Lamin B2/LMNB2 using anti-Lamin B2/LMNB2 antibody (BM5380) .
Lamin B2/LMNB2 was detected in a paraffin-embedded section of mouse brain tissue. The tissue section was incubated with rabbit anti-Lamin B2/LMNB2 Antibody (BM5380) at a dilution of 1:200 and developed using HRP Conjugated Rabbit IgG Super Vision Assay Kit (Catalog # SV0002) with DAB (Catalog # AR1027) as the chromogen.

Western blot analysis of anti-Lamin B2/LMNB2 antibody (BM5380). The sample well of each lane was loaded with 30 ug of sample under reducing conditions.
Lane 1: human Hacat whole cell lysates,
Lane 2: human A431 whole cell lysates,
Lane 3: human RT4 whole cell lysates,
Lane 4: human U251 whole cell lysates,
Lane 5: rat C6 whole cell lysates,
Lane 6: rat PC-12 whole cell lysates,
Lane 7: mouse Neuro-2a whole cell lysates,
Lane 8: mouse SP2/0 whole cell lysates.
After electrophoresis, proteins were transferred to a membrane. Then the membrane was incubated with rabbit anti-Lamin B2/LMNB2 antigen affinity purified monoclonal antibody (BM5380) at a dilution of 1:1000 and probed with a goat anti-rabbit IgG-HRP secondary antibody (Catalog # BA1054). The signal is developed using ECL Plus Western Blotting Substrate (Catalog # AR1197). A specific band was detected for Lamin B2/LMNB2 at approximately 72 kDa. The expected band size for Lamin B2/LMNB2 is at 70 kDa.

IHC analysis of Lamin B2/LMNB2 using anti-Lamin B2/LMNB2 antibody (BM5380) .
Lamin B2/LMNB2 was detected in a paraffin-embedded section of human breast cancer tissue. The tissue section was incubated with rabbit anti-Lamin B2/LMNB2 Antibody (BM5380) at a dilution of 1:200 and developed using HRP Conjugated Rabbit IgG Super Vision Assay Kit (Catalog # SV0002) with DAB (Catalog # AR1027) as the chromogen.

IHC analysis of Lamin B2/LMNB2 using anti-Lamin B2/LMNB2 antibody (BM5380) .
Lamin B2/LMNB2 was detected in a paraffin-embedded section of human colorectal adenocarcinoma tissue. The tissue section was incubated with rabbit anti-Lamin B2/LMNB2 Antibody (BM5380) at a dilution of 1:200 and developed using HRP Conjugated Rabbit IgG Super Vision Assay Kit (Catalog # SV0002) with DAB (Catalog # AR1027) as the chromogen.

IHC analysis of Lamin B2/LMNB2 using anti-Lamin B2/LMNB2 antibody (BM5380) .
Lamin B2/LMNB2 was detected in a paraffin-embedded section of human lung cancer tissue. The tissue section was incubated with rabbit anti-Lamin B2/LMNB2 Antibody (BM5380) at a dilution of 1:200 and developed using HRP Conjugated Rabbit IgG Super Vision Assay Kit (Catalog # SV0002) with DAB (Catalog # AR1027) as the chromogen.

IHC analysis of Lamin B2/LMNB2 using anti-Lamin B2/LMNB2 antibody (BM5380) .
Lamin B2/LMNB2 was detected in a paraffin-embedded section of human placenta tissue. The tissue section was incubated with rabbit anti-Lamin B2/LMNB2 Antibody (BM5380) at a dilution of 1:200 and developed using HRP Conjugated Rabbit IgG Super Vision Assay Kit (Catalog # SV0002) with DAB (Catalog # AR1027) as the chromogen.

IHC analysis of Lamin B2/LMNB2 using anti-Lamin B2/LMNB2 antibody (BM5380) .
Lamin B2/LMNB2 was detected in a paraffin-embedded section of human spleen tissue. The tissue section was incubated with rabbit anti-Lamin B2/LMNB2 Antibody (BM5380) at a dilution of 1:200 and developed using HRP Conjugated Rabbit IgG Super Vision Assay Kit (Catalog # SV0002) with DAB (Catalog # AR1027) as the chromogen.

IHC analysis of Lamin B2/LMNB2 using anti-Lamin B2/LMNB2 antibody (BM5380) .
Lamin B2/LMNB2 was detected in a paraffin-embedded section of rat brain tissue. The tissue section was incubated with rabbit anti-Lamin B2/LMNB2 Antibody (BM5380) at a dilution of 1:200 and developed using HRP Conjugated Rabbit IgG Super Vision Assay Kit (Catalog # SV0002) with DAB (Catalog # AR1027) as the chromogen.

IHC analysis of Lamin B2/LMNB2 using anti-Lamin B2/LMNB2 antibody (BM5380) .
Lamin B2/LMNB2 was detected in a paraffin-embedded section of mouse brain tissue. The tissue section was incubated with rabbit anti-Lamin B2/LMNB2 Antibody (BM5380) at a dilution of 1:200 and developed using HRP Conjugated Rabbit IgG Super Vision Assay Kit (Catalog # SV0002) with DAB (Catalog # AR1027) as the chromogen.













