| Immunohistochemistry (IHC): | 1:50-400 |
| (Boiling the paraffin sections in 10mM citrate buffer,pH6.0,or PH8.0 EDTA repair liquid for 20 mins is required for the staining of formalin/paraffin sections.) Optimal working dilutions must be determined by end user. | |

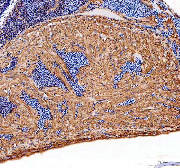
IHC analysis of dusp4 using anti-dusp4 antibody (DZ41233) .
dusp4 was detected in a paraffin-embedded section of zebrafish heart tissue. The tissue section was incubated with rabbit anti-dusp4 Antibody (DZ41233) at a dilution of 1:200 and developed using HRP Conjugated Rabbit IgG Super Vision Assay Kit (Catalog # SV0002) with DAB (Catalog # AR1027) as the chromogen.

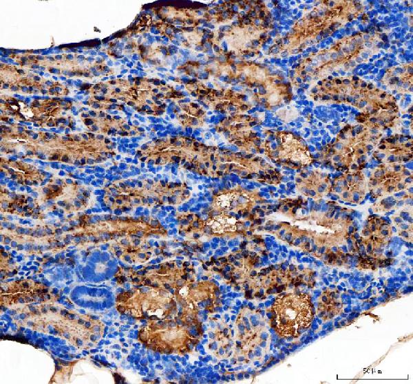
IHC analysis of dusp4 using anti-dusp4 antibody (DZ41233) .
dusp4 was detected in a paraffin-embedded section of zebrafish kidney tissue. The tissue section was incubated with rabbit anti-dusp4 Antibody (DZ41233) at a dilution of 1:200 and developed using HRP Conjugated Rabbit IgG Super Vision Assay Kit (Catalog # SV0002) with DAB (Catalog # AR1027) as the chromogen.

IHC analysis of dusp4 using anti-dusp4 antibody (DZ41233) .
dusp4 was detected in a paraffin-embedded section of zebrafish heart tissue. The tissue section was incubated with rabbit anti-dusp4 Antibody (DZ41233) at a dilution of 1:200 and developed using HRP Conjugated Rabbit IgG Super Vision Assay Kit (Catalog # SV0002) with DAB (Catalog # AR1027) as the chromogen.

IHC analysis of dusp4 using anti-dusp4 antibody (DZ41233) .
dusp4 was detected in a paraffin-embedded section of zebrafish kidney tissue. The tissue section was incubated with rabbit anti-dusp4 Antibody (DZ41233) at a dilution of 1:200 and developed using HRP Conjugated Rabbit IgG Super Vision Assay Kit (Catalog # SV0002) with DAB (Catalog # AR1027) as the chromogen.

